
版权归中华医学会所有。
未经授权,不得转载、摘编本刊文章,不得使用本刊的版式设计。
除非特别声明,本刊刊出的所有文章不代表中华医学会和本刊编委会的观点。
良性复发性肝内胆汁淤积症(benign,recurrent intrahepatic cholestasis,BRIC)是一种常染色体隐性遗传疾病。1959年Summerskill和Walsh[1]最早描述了这种疾病。直到1994年在3个患者中发现18号染色体上有相同的基因发生变异,才发现BRIC可能是遗传性疾病[2]。1998年确认了染色体18q21上ATP8B1基因突变与此病相关[3]。目前已知的与BRIC发病相关的基因包括ATP8B1基因和ABCB11基因[4]。
BRIC患者通常在儿童期或青少年期就出现疾病发作,部分患者可能推迟到中年才发作。每次发作持续2~24周不等,发作间期通常在数周到数年不等,发作间期患者没有任何症状,肝脏生物化学指标完全正常[4]。
BRIC是近年来逐渐被大家认识的一个疾病,但是目前国内的报道较少,部分临床医师对于此病的认识不足,容易造成漏诊、误诊。因此本文总结了我院诊治的BRIC患者的临床特点,以提高临床医生对此少见疾病的认识。
回顾性分析2000年1月至2017年1月就诊于首都医科大学附属北京友谊医院肝病中心的BRIC患者。观察患者的一般情况及临床表现:性别、发病年龄、确诊年龄、饮酒史、用药史、家族史;乏力、皮肤瘙痒、发热等症状。生物化学指标:丙氨酸氨基转氨酶(alanine aminotransferase,ALT)、天冬氨酸氨基转氨酶(aspartate aminotransferase,AST)、碱性磷酸酶(alkaline phosphatase,ALP)、γ-谷氨酰转移酶(γ-glutamyl transferase,GGT)、总胆红素(total bilirubin,TBil)、直接胆红素(direct bilirubin,DBil)、间接胆红素、总胆汁酸、白蛋白等。组织学表现及基因检测。
5例患者中男性3例,女性2例。首次发病时的平均年龄为23岁,诊断时的平均年龄为36岁。其中1例患者2次发作均在春季,2例患者发作时有劳累及感染的诱因,2例患者发作时无明显的诱因。所有患者发作时均表现为黄疸及严重的皮肤瘙痒,瘙痒夜间更重。查体可见皮肤抓痕。发作间期无临床症状。发作的平均次数为7.6次,最多者高达16次,发作频率为1~2年1次,每次持续1~10个月不等。1例患者第一次发作即就诊于我院,仅给予熊去氧胆酸治疗。其余患者在外院曾接受激素、血浆置换及经内镜逆行性胰胆管造影术等治疗,见表1。

5例良性复发性肝内胆汁淤积症患者的临床特点
5例良性复发性肝内胆汁淤积症患者的临床特点
| 病例编号 | 发病年龄(岁) | 诊断年龄(岁) | 性别 | 次数 | 持续时间(月) | 诱发因素 | 曾接受的治疗 |
|---|---|---|---|---|---|---|---|
| 1 | 26 | 29 | 男 | 2 | 3~6 | 春季 | 血浆置换激素+UDCA |
| 2 | 26 | 30 | 女 | 2 | 6~8 | 劳累 | UDCA |
| 3 | 23 | 46 | 女 | 16 | 1~3 | 感染、劳累 | 激素+UDCA |
| 4 | 15 | 36 | 男 | 9 | 1~6 | 无 | 激素+UDCA血浆置换 |
| 5 | 25 | 40 | 男 | 9 | 1~10 | 无 | 激素+UDCA+血浆置换+ERCP |
注:UDCA:熊去氧胆酸;ERCP:经内镜逆行性胰胆管造影术
5例患者发作时均表现为直接胆红素及总胆汁酸的显著升高,部分患者伴有转氨酶及碱性磷酸酶的轻度升高(表2)。在随访过程中患者胆红素水平达到高峰后逐渐下降直至回复正常。此外,5例患者均进行了乙型肝炎血清病毒学标志物、丙型肝炎抗体、铜蓝蛋白、转铁蛋白饱和度、铁蛋白、抗核抗体、抗中性粒细胞胞浆抗体、抗线粒体抗体检测,均无异常。

良性复发性肝内胆汁淤积症患者发作期生物化学指标
良性复发性肝内胆汁淤积症患者发作期生物化学指标
| 病例编号 | ALT(U/L) | AST(U/L) | ALP(U/L) | GGT(U/L) | 总胆红素(μmol/L) | 直接胆红素(μmol/L) | 总胆汁酸(μmol/L) | 白蛋白(g/L) | 胆碱酯酶(kU/L) |
|---|---|---|---|---|---|---|---|---|---|
| 1 | 53 | 37 | 151 | 12 | 293.67 | 202.10 | 240.3 | 34.3 | 6.10 |
| 2 | 40 | 102 | 135 | 20 | 347.63 | 229.76 | 415.5 | 32.8 | 3.02 |
| 3 | 56 | 42 | 148 | 14 | 372.23 | 230.25 | 186.0 | 32.4 | 5.23 |
| 4 | 28 | 52 | 203 | 107 | 325.75 | 216.37 | 167.8 | 37.3 | 6.33 |
| 5 | 60 | 33 | 131 | 55 | 293.00 | 182.00 | 113.0 | 35.3 | 5.52 |
注:ALT:丙氨酸氨基转氨酶;AST:天冬氨酸氨基转氨酶;ALP:碱性磷酸酶;GGT:γ-谷氨酰转移酶
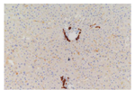
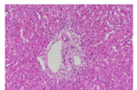
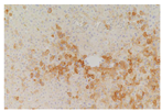
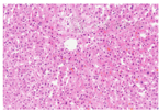
5例患者中有3例于我院进行了肝活组织病理学检查,患者编号分别为1、2和4。其中第1例患者肝穿刺活组织学检查为疾病的第1次发作,第2例患者为疾病的第2次发作,第4例患者为疾病的第9次发作。3例患者的病理学均提示肝脏小叶结构清晰,肝小叶内未见坏死灶;汇管区无明显扩大和明显炎症。仅仅表现为小叶中心毛细胆管淤胆(图1,图2,图3,图4)。其余2例患者就诊于我院时,已有多次典型的发作性黄疸,发作间期无任何症状,在治疗随访的过程中胆红素逐渐恢复正常,因此未行肝活组织病理学检查。








5例患者入院后均进行了磁共振胰胆管造影(magnetic resonance cholangiopancreatography,MRCP)检查,MRCP无肝内外胆管扩张、狭窄等异常表现。
BRIC是一种常染色体隐性遗传性疾病,通常在幼年发病。确诊年龄为18个月至59岁之间,男女发病率没有差别[5,6]。其主要临床表现为黄疸和严重的皮肤瘙痒。常以瘙痒为首发症状,约2~4周后出现黄疸。BRIC患者血清胆红素以结合胆红素形式存在,峰值高于正常值10倍。而ALT和AST水平正常或轻微升高。反应胆汁淤积的生物化学指标ALP和GGT,通常会出现ALP的升高,而GGT则正常。此外可有胆汁酸的明显升高,以及血沉的增快[7,8]。胆汁淤积可因急性感染而诱发,并有季节性,12月份和春季往往是发病的高峰期。胆汁淤积的发作可持续2至24个月(通常3个月),无症状期最长可达30年[9]。
Tygstrup和Jensen[10]在1969年提出诊断标准包括:(1)发作性的显著黄疸和严重瘙痒,发作间期无任何症状;(2)排除肝内淤积性黄疸的其他危险因素,例如药物或妊娠; (3)发作时生物化学检查符合肝内淤胆,影像学检查提示肝内外胆道系统正常;(4)肝穿刺组织在光镜下可发现胆汁栓。目前尚缺乏预防和限制疾病发作的特异性治疗。熊去氧胆酸、利福平或鼻胆管引流治疗BRIC仍为试验性治疗。发作期间的治疗主要是针对症状的治疗如皮肤瘙痒、维生素吸收障碍等。
本研究中的5例患者均以皮肤巩膜黄染伴皮肤瘙痒为主要临床表现,生物化学指标以直接胆红素显著升高为主要特点。对于高结合胆红素血症的患者,通常需要与下列常见原因进行鉴别:肝细胞性(如病毒性肝炎、药物性肝损害、自身免疫性肝炎、血色病、肝豆状核变性等)、梗阻性胆汁淤积(结石、肿瘤、胆管狭窄等)、非梗阻性胆汁淤积(原发性胆汁性胆管炎、药物性肝损害、遗传性高胆红素血症如Dubin-Johnson综合征、Roter综合征、良性复发性肝内胆汁淤积症、家族性进展性肝内胆汁淤积症等)。
本研究中5例患者通过临床表现及实验室检查除外了病毒性肝炎、自身免疫性肝炎、原发性胆汁性胆管炎、药物性肝损害、酒精性肝病等常见病因。通过影像学检查进一步除外了肝内外胆管梗阻性疾病。病理上仅仅表现为小叶中心毛细胆管淤胆,因此需考虑遗传性高胆红素血症。
常见的导致直接胆红素升高的遗传性疾病包括:Dubin-Johnson综合征、Roter综合征、BRIC。Dubin-Johnson综合征的病理特点为:肝小叶中央静脉周围肝细胞内有大量脂褐素-黑色素复合物沉积;Roter综合征病理上无明显的改变,表现为正常的肝脏组织。BRIC病理学特征为:发作时小叶中心胆汁淤积,在扩张的毛细胆管、肝细胞、或Kupffer细胞内可见胆汁淤积。较少见的病变包括小叶中心局灶性单核细胞浸润伴或不伴有肝细胞变性、坏死;偶有细胆管增生。随着发作缓解,肝脏病理改变逐步恢复正常。我科5例患者中有3例于我院进行了肝活组织病理学检查,其中1例患者虽然经历了9次发作,但其肝组织仅仅表现为小叶中心毛细胆管淤胆,没有肝小叶及汇管区的慢性损伤表现。符合BRIC的病理表现。
BRIC的诊断通常需要病程中有发作和缓解,对于首次发作的患者增加了诊断难度,可通过基因检测协助诊断。我中心目前已经开展了BRIC基因诊断的检测工作,通过基因检测协助外院送诊的多例BRIC患者诊断,由于上述病例非我中心首诊患者,因此未纳入本研究中。我科的5例患者中有1例显示ATP8B1基因有2个杂合突变,提示该患者可能为BRIC1型。BRIC分为1型和2型,是PFIC1和PFIC2的良性形式,主要由ATP8B1和ABCB11错义突变所致[11,12]。
总之,对于BRIC的诊断主要依赖于临床表现、生物化学、影像学及组织学特点。对于高直接胆红素血症的患者,我们首先需要通过病史及实验室检查除外其他可引起胆汁淤积的肝脏疾病(病毒性肝炎、其他慢性肝病、停用可能导致胆汁淤积的药物);其次通过超声、MRCP或者经内镜逆行性胰胆管造影术除外胆管扩张、硬化性胆管炎以及其他病因所致的胆管狭窄。最后,可通过肝活组织病理学检查协助诊断BRIC。而对于初次发作的患者或者临床表现不典型的患者,病理、基因检测及监测病程中有无发作和缓解有助于疾病的诊断。
无























