
分析新型冠状病毒肺炎病例的临床特征,初步探讨不同临床分型与肝功能损伤的关系。
纳入2020年1月23日到2020年2月8日7家新型冠状病毒感染定点医院连续收治的确诊病例。根据国家卫生健康委员会发布的《新型冠状病毒感染的肺炎诊疗方案(试行第五版 修正版)》进行临床分型(轻型、普通型、重型、危重型)。研究数据采用SPSS19.0统计学软件进行分析。定量资料采用中位数(四分位数间距)表示,定性资料采用频数和率表示。两组数据之间的差异性分析采用秩和检验。
纳入了符合标准的32例确诊病例,轻型或普通型28例(87.50%),重型或危重型4例(12.50%)。4例(12.50%)患者合并有1项基础疾病(支气管哮喘、冠心病、恶性肿瘤、慢性肝脏疾病各1例),1例(3.13%)患者同时合并有高血压和恶性肿瘤。实验室检查结果提示:总队列病例的丙氨酸转氨酶(ALT)和天冬氨酸转氨酶(AST)分别为26.98(16.88~46.09)U/L和24.75(18.71~31.79)U/L,白蛋白(Alb)和总胆红素(TBil)分别为39.00 (36.20~44.20) g/L和16.40 (11.34~21.15) μmol/L。轻型或普通型亚组的ALT和AST分别为22.75 (16.31~37.25) U/L和23.63 (18.71~26.50)U/L,其中ALT > 40 U/L有6例(21.00%),AST > 40 U/L有1例(3.60%);Alb和TBil分别为39.70 (36.50~46.10) g/L和15.95 (11.34~20.83) μmol/L。重型或危重型亚组的ALT和AST分别为60.25 (40.88~68.90) U/L和37.00 (20.88~64.45) U/L,其中ALT > 40 U/L有3例(75.00%),AST > 40 U/L有1例(25.00%);Alb和TBil分别为35.75 (28.68~42.00) g/L和20.50 (11.28~25.00) μmol/L。
多中心回顾性研究结果提示新型冠状病毒肺炎合并肝功能损伤在轻型和普通型患者中少见,而在重型和危重型患者中多见。因此,应当加强对重症患者治疗期间的肝功能监测与评估。
版权归中华医学会所有。
未经授权,不得转载、摘编本刊文章,不得使用本刊的版式设计。
除非特别声明,本刊刊出的所有文章不代表中华医学会和本刊编委会的观点。
2019冠状病毒疾病(coronavirus disease 2019,COVID-19)已对全球公共卫生安全构成严重威胁[1,2,3]。Chen等[4]的单中心研究描述了来自武汉金银潭医院99例新型冠状病毒肺炎病例的临床特征,其中43例(43.40%)出现了不同程度的肝功能损伤,1例患者出现严重的血清转氨酶异常。然而,该研究并未分析患者出现肝功能损伤的原因,是新型冠状病毒特性导致,还是药物性肝损伤,或是由肺炎引起的全身性炎症反应所致。同时,研究也未描述对于出现肝功能损伤的患者是否合并有基础肝脏疾病。本项多中心研究(CHESS-COVID-19)旨在回顾性分析新型冠状病毒肺炎病例的临床特征及其肝功能,初步探讨新型冠状病毒肺炎不同临床分型与肝功能损伤的关系。
研究回顾性收集了7家新型冠状病毒感染定点收治医院(兰州大学第一医院、沈阳市第六人民医院、安康市中心医院、丽水市中心医院、镇江市第三人民医院、保定市人民医院、临夏州人民医院)的新型冠状病毒肺炎确诊病例。纳入标准:(1)新型冠状病毒核酸检测阳性病例;(2)临床资料完整且具有至少2次肝脏生物化学指标检测结果。排除标准:(1)非新型冠状病毒感染确诊病例;(2)临床资料缺失。本回顾性研究经兰州大学第一医院伦理委员会批准(LDYYLL2020-15)。
研究根据国家卫生健康委员会发布的《新型冠状病毒感染的肺炎诊疗方案(试行第五版 修正版)》进行临床分型[1]。轻型:临床症状轻微,影像学未见肺炎表现;普通型:具有发热、呼吸道等症状,影像学可见肺炎表现;重型:符合下列任何1条: (1)呼吸窘迫,呼吸频率≥30次/min;(2)静息状态下,指氧饱和度≤93%;(3)动脉血氧分压/吸氧浓度≤300 mmHg(1 mmHg = 0.133 kPa)。危重型:符合以下情况之一者:(1)出现呼吸衰竭,且需要机械通气;(2)出现休克;(3)合并其他器官功能衰竭需重症加强护理病房(ICU)监护治疗。
研究数据采用SPSS19.0统计学软件进行分析。根据数据特点,定量资料采用中位数(四分位数间距)表示,定性资料采用频数和率表示。两组数据之间的差异性分析采用秩和检验。P < 0.05为差异具有统计学意义。
研究回顾性纳入了7家新型冠状病毒感染定点医院自2020年1月23日至2020年2月8日连续收治,且符合纳排标准的32例确诊病例。其中,22例(68.75%)为输入性病例,10例(31.25%)为2代病例。研究纳入病例的临床特征包括:中位年龄38.50(26.25~45.75)岁,男性患者20例(62.50%),女性患者12例(37.50%)。主要临床表现:发热25例(78.13%),咳嗽22例(68.72%)。4例(12.50%)患者合并有1项基础疾病(支气管哮喘、冠心病、恶性肿瘤、慢性肝脏疾病各1例),1例(3.13%)患者同时合并有高血压和恶性肿瘤。实验室检查提示,白细胞计数、中性粒细胞百分比、淋巴细胞百分比的中位值分别为:4.71×109/L(3.72×109/L~5.77×109/L)、63.80%(58.10%~72.55%)和25.20%(19.33%~33.05%)。13例(40.63%)患者C反应蛋白升高(> 10 mg/L),见表1。

新型冠状病毒肺炎病例的临床特征
新型冠状病毒肺炎病例的临床特征
| 项目 | 总队列(n=32) | |
|---|---|---|
| 年龄 (岁) | 38.5(26.25~45.75) | |
| 性别 [例(%)] | ||
| 男 | 20(62.50) | |
| 女 | 12(37.50) | |
| 症状 [例(%)] | ||
| 发热 | 25(78.13) | |
| 咳嗽 | 22(68.72) | |
| 合并症 [例(%)] | ||
| 高血压 | 1(3.13) | |
| 支气管哮喘 | 1(3.13) | |
| 冠心病 | 1(3.13) | |
| 恶性肿瘤 | 2(6.25) | |
| 慢性肝脏疾病 | 1(3.13) | |
| 实验室指标 | ||
| 白细胞计数(×109/L) | 4.71(3.72~5.77) | |
| 中性粒细胞计数(×109/L) | 3.29(2.17~4.06) | |
| 中性粒细胞百分比(%) | 63.8(58.10~72.55) | |
| 淋巴细胞计数(×109/L) | 1.17(0.87~1.35) | |
| 淋巴细胞百分比(%) | 25.2(19.33~33.05) | |
| C反应蛋白 [例(%)] | 13(40.63) | |
研究纳入病例按照《新型冠状病毒感染的肺炎诊疗方案(试行第五版 修正版)》规范接受了抗病毒治疗(如洛匹那韦/利托那韦),必要时联合抗菌药物治疗。对肝功能指标检测结果如下:丙氨酸转氨酶(ALT)和天冬氨酸转氨酶(AST)分别为26.98(16.88~46.09)U/L和24.75(18.71~31.79)U/L,白蛋白(Alb)和总胆红素(TBil)分别为39.00 (36.20~44.20) g/L和16.40 (11.34~ 21.15) μmol/L。根据临床分型标准,研究纳入轻型或普通型28例(87.50%),重型或危重型4例(12.50%)。轻型或普通型亚组的ALT和AST分别为22.75 (16.31~37.25) U/L和23.63 (18.71~26.50) U/L,其中ALT > 40 U/L有6例(21.00%),AST > 40 U/L有1例(3.60%);Alb和TBil分别为39.70 (36.50~46.10) g/L和15.95 (11.34~20.83) μmol/L。重型或危重型亚组的ALT和AST分别为60.25 (40.88~68.90) U/L和37.00 (20.88~64.45) U/L,其中ALT > 40 U/L有3例(75.00%),AST > 40 U/L有1例(25.00%);Alb和TBil分别为35.75 (28.68~ 42.00)g/L和20.50(11.28~25.00)μmol/L,见 表2。

新型冠状病毒肺炎临床分型与肝功能的关系
新型冠状病毒肺炎临床分型与肝功能的关系
| 组别 | 丙氨酸转氨酶(U/L) | 天冬氨酸转氨酶(U/L) | 白蛋白(g/L) | 总胆红素(μmol/L) |
|---|---|---|---|---|
| 轻型或普通型(n=28) | 22.75 (16.31~37.25) | 23.63 (18.71~26.50) | 39.70 (36.50~46.10) | 15.95 (11.34~20.83) |
| 重型或危重型(n=4) | 60.25 (40.88~68.90) | 37.00 (20.88~64.45) | 35.75 (28.68~42.00) | 20.50 (11.28~25.00) |
| 总队列 (n=32) | 26.98 (16.88~46.09) | 24.75 (18.71~31.79) | 39.00 (36.20~44.20) | 16.40 (11.34~21.15) |
| P值 | 0.004a | 0.124a | 0.219a | 0.347a |
注:a:重型或危重型与轻型或普通型比较
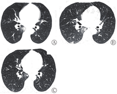
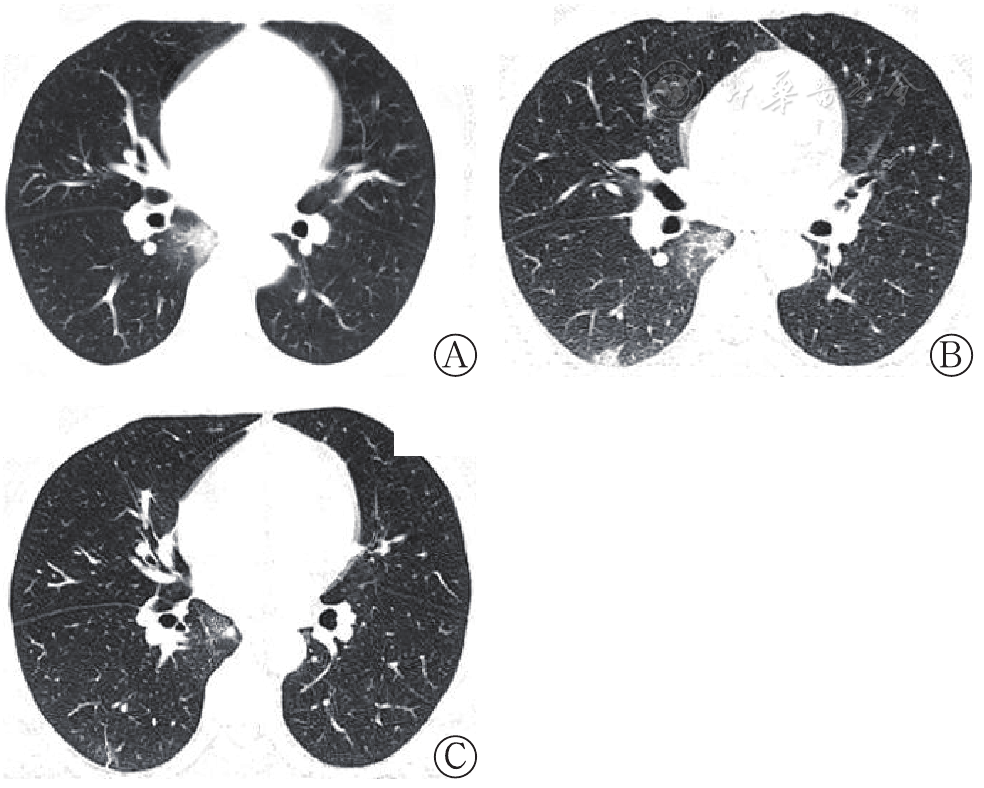
研究纳入病例中26例(81.25%)接受了胸部X线计算机断层摄影术(CT)检查。1例41岁男性新型冠状病毒肺炎确诊病例,入院CT结果提示:右肺下叶后基底段胸膜下磨玻璃样结节与实变混合病灶(图1A);6 d后复查提示病灶进展,表现为面积增大且部位增多(图1B);经积极的支持治疗和抗病毒治疗,13 d后复查CT提示病灶基本吸收,残留少许条索灶(图1C)。其余病例均提示较为典型的新型冠状病毒肺炎影像学表现[5]:两肺多发斑片状磨玻璃阴影、实变影,多沿支气管血管束和胸膜下分布为主,其间可见增粗的血管影,表现为细网格状影,呈"铺路石征" 。也可以表现为极为淡薄的磨玻璃阴影,小血管周围有局限性磨玻璃阴影。


本项多中心研究(CHESS-COVID-19)回顾性分析了我国新型冠状病毒肺炎病例的临床特征,并重点描述了不同临床分型与肝功能的关系。不论在总队列还是两个亚组,AST和Alb中位数均处于正常水平;在总队列和轻型或普通型亚组中,ALT和TBil中位数处于正常水平;但在重型或危重型亚组中,ALT为60.25 (40.88~68.90) U/L,高于正常水平;TBil为20.5 (11.28~25.00) μmol/L,高于正常水平。考虑到重型或危重型亚组病例需长期接受药物治疗,特别是洛匹那韦/利托那韦,其常见不良反应包括了肝功能损伤[6]。因此,中国药学会发布的《新型冠状病毒感染:医院药学工作指导与防控策略专家共识(第一版)》不建议重度肝功能不全患者服用洛匹那韦/利托那韦[6]。此外,重型或危重型患者更易出现细胞因子风暴综合征,可造成血清转氨酶和胆红素的升高。
Chai等[7]通过使用两个独立队列的单细胞RNA-seq数据对健康肝脏组织中血管紧张素转化酶2的细胞类型特异性表达进行了评估,数据显示胆管细胞高特异性表达新型冠状病毒受体血管紧张素转化酶2,其表达水平与肺泡2型细胞相当,而肝细胞的血管紧张素转化酶2表达水平很低[7]。相关研究也报道了新型冠状病毒与急性呼吸系统综合症冠状病毒相同,均是通过受体血管紧张素转化酶2侵入人体细胞[8,9],而此前已有研究结果表明,急性呼吸系统综合征患者也合并有不同程度的肝功能损伤[10]。因此,Chai等[7]指出新型冠状病毒肺炎患者的肝功能损伤可能不是由于病毒与肝细胞直接结合,而是由胆管细胞功能障碍和药物诱导、全身性炎症反应等原因造成。
Wang等[11]发现非ICU组的ALT和AST的中位值分别为23(15~36)U/L、29(21~38)U/L,ICU组的ALT中位值为35(19~57)U/L,均处于正常水平。而ICU组的AST中位值为52(30~70)U/L,但研究并未探讨ICU组AST异常的原因。另一项Huang等[12]的研究结果提示:非ICU组的ALT和AST的中位值分别为27.0(19.5~40.0)U/L、34.0(24.0~40.5)U/L,均处于正常水平;而ICU组的ALT和AST中位值分别为49.0(29.0~115.0)U/L、44.0(30.0~70.0)U/L,均高于正常水平,研究同样未探讨血清转氨酶升高的原因。以上两项单中心研究数据提示,非ICU组的血清转氨酶往往处于正常水平,但重症患者更易出现肝功能损伤。这与本项多中心研究的结论一致。不过,本研究受限于样本量较少、且重症患者比例较低等因素,有待进一步研究验证。
综上所述,本项多中心回顾性研究结果提示新型冠状病毒肺炎合并肝功能损伤在轻型和普通型患者中少见,而在重型和危重型患者中多见。因此,应当加强对重症患者治疗期间的肝功能监测与评估。
向所有奋战在抗疫一线的医务人员致敬!
所有作者均声明不存在利益冲突





















