
Caroli病是一种以非阻塞性肝内胆管扩张为特征的罕见先天性疾病。大多认为是常染色体隐性遗传病,但许多病例无法追寻典型的遗传家族史。Caroli病包括两种类型,简单型(称为Caroli病)和以先天性肝纤维化和/或多囊肾病为特征的Caroli综合征。认为PKHD1基因是Caroli病、Caroli综合征的致病基因。
版权归中华医学会所有。
未经授权,不得转载、摘编本刊文章,不得使用本刊的版式设计。
除非特别声明,本刊刊出的所有文章不代表中华医学会和本刊编委会的观点。
Caroli病(CD)是一种以非阻塞性肝内胆管扩张为特征的罕见先天性疾病,普通人群患病率为百万分之一[1]。大多认为是常染色体隐性遗传病,但许多病例无法追寻典型的遗传家族史。Caroli病包括两种类型,简单型(称为CD)和以先天性肝纤维化和/或多囊肾病为特征的Caroli综合征。PKHD1基因被认为是CD、Caroli综合征的致病基因[2]。下面介绍本院病理确诊的1例症状、影像不典型的CD。
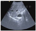
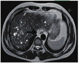
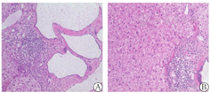
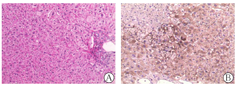
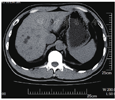
患者43岁,男性,既往有"慢性乙型肝炎HBsAg、抗-HBs、抗-HBe阳性"15年,丙氨酸转氨酶(ALT)、天冬氨酸转氨酶(AST)正常,家族史无特殊。2013年9月11日因反复右上腹不适于本院首诊,门诊腹部B超示:弥漫性肝损害,考虑纤维化至肝硬化阶段,肝脏多发性囊性占位病变,考虑肝囊肿,肝内偶见斑片状高回声区,性质待查(图1)。HBV DNA 8.33×104 IU/ml,住院CT增强示肝内多发囊肿(图2)。肝活组织病理学检查提示(2013.09.18):慢性乙型病毒性肝炎轻度,G0+S1(图3);天狼猩红染色:部分汇管区扩大,有芒状纤维形成;免疫组织化学结果:HBsA(+++),浆型,片状分布;HBcAg(-);HCVAg(-)。住院期间开始服用恩替卡韦抗病毒治疗。2015年11月16日再次因右上腹不适就诊,腹部查体无特殊,门诊检查:HBV DNA < 100 IU/ml,腹部B超+声脉冲辐射力成像技术显示:肝脏多发囊肿,肝脏实质回声明显增粗;考虑肝脏纤维化(S2~S3)。住院后在CT引导下行肝穿刺病理学检查:慢性乙型病毒性肝炎轻度,G0+S1;肝组织部分汇管区见多个囊性扩张胆管,考虑为先天性肝内胆管扩张[(Caroli病,CD) 图4]。两次住院期间,大小便及血常规、肝肾功能、电解质、血脂、凝血功能、肝纤四项(III型前胶原、IV型胶原、层黏连蛋白、透明质酸)、甲胎蛋白、自身免疫性肝病谱(抗单链DNA、抗线粒体2型抗体、抗sp100、抗肝肾微粒体1型抗体、抗gp210、抗肝细胞溶质抗原1型抗体、抗可溶性肝抗原抗体)、铜蓝蛋白、抗核抗体谱(抗双链DNA抗体、抗核小体抗体、抗组蛋白抗体、抗Sm抗体、抗SnRNP抗体、抗核糖体P蛋白抗体、抗SS抗原A抗体、抗SS抗原B抗体、抗着丝粒抗体、抗DNA拓扑异构酶抗体、抗组氨酰RNA合成酶抗体)、心肌酶、抗-HCV、甲状腺功能及胸片均未见明显异常。出院后患者未诉腹部不适,长期服用恩替卡韦抗病毒至今,多次复查肝功能均正常,HBV DNA < 100 IU/ml,腹部B超大致同前。2019年5月8日上腹MRI( 图5)显示:肝内见弥漫分布大型T1WI低信号、T2WI高信号影,增强无强化,考虑肝内多发囊性病变(胆管错构瘤?CD?);左肾见一直径约10 mm类圆形T2WI高信号影,增强无强化,考虑肾囊肿;建议完善磁共振胰胆管成像(MRCP)。2020年1月20日MRCP(图6)显示:(1)肝内多发异常信号灶,考虑CD可能,建议必要时活组织检查;(2)左肾囊肿可能。






注:A:HE染色,肝小叶结构完整,肝板排列较整齐,肝小叶内少数点、灶状坏死,肝细胞普遍肿胀,部分呈气球样变,未见淤胆及胆栓,汇管区见少量淋巴细胞浸润 HE×100;B:HBsAg免疫组织化学结果DAB×100






注:A:肝内见多发T2WI高信号影,大小不等,大者长径约23 nm,部分簇状分布,形似"满天星";B:左肾类圆形T2WI高信号影
CD是一种由纤毛功能障碍引起的先天发育畸形疾病。纤毛功能障碍引起先天性导管板畸形,最终导致肝内胆管的囊状和非阻塞性节段性扩张,可涉及到所有的肝内胆管,或者只涉及肝脏的一部分,通常是左叶或左叶的某一部分。虽然在出生时就出现导管畸形,但患者通常到青春期或成年都无症状[3]。本例患者成年后开始出现症状。
CD可分为两种临床类型:(1)简单或孤立型:少见,特征是肝内胆管囊性扩张,而无明显肝脏异常表现;(2)Caroli综合征:更常见,其与先天性肝纤维化、门静脉高压和多囊肾病相关[4]。简单型CD通常限于一个左叶,而Caroli综合征通常涉及整个肝脏。该病例为具有弥漫性肝脏受累的Caroli综合征,但没有门静脉高压或多囊肾病的证据。
CD好发于儿童或青少年,常见于亚洲人后裔。CD主要表现为间歇性腹痛、肝肿大、复发性胆管炎和石块形成,大多数患者在30岁以前出现。CD并发症主要是由于胆汁淤滞导致的胆管炎、石块(主要是胆红素)、黄疸及肾功能不全和肝脓肿。部分患者表现为急性肾功能不全的caroli病,伴发多囊肾病。上述病例中,患者主要表现为反复右上腹不适,无明显并发症表现,症状不典型。
CD的诊断依赖于成像证实肝内胆管与胆道连续性的囊性扩张。超声可见肝内胆管呈囊样或串珠样扩张,囊肿沿肝内胆管走向分布,囊肿之间可见正常胆管声像。CT表现为肝内多发的类圆形或形态不一样低密度影,增强扫描可见囊内强化的小圆点影,称为"中心点"征,是CD的CT特征性表现[5]。MRCP对于确定肝内囊性扩张胆管是否与胆道系统相通具有重要意义[6]。MRCP表现为多发性肝内胆管囊状扩张,T1WI呈低信号影,T2WI呈高信号,增强扫描有部分强化[7]。该患者未见胆囊结石、典型的"中心点征"及增强CT强化,但MRCP显示多发异常信号灶,部分与小胆管密切相关,考虑Caroli病。
肝活组织检查是诊断CD的金标准,通常表现为纤维间隔内含有形态各异的胆管,可伴有典型的肝内胆管发育畸形或交通性海绵状胆管扩张[7]。目前认为位于人染色体6P12.2的PKHD1基因突变与CD有关。PKHD1基因编码一种在肾脏中表达的"纤维蛋白原",该蛋白同样可在胆管细胞中发现。该患者PKHD1基因检测结果未发现变异,但检出SEC63:NM_007214.4:c.184C > T(p.Arg62Trp)变异。查阅文献,该基因变异多与多囊性肝病2型(OMIM:617004)相关,鲜见该变异引起CD的相关报道。
该病应与多囊肝病(PLD)鉴别,PLD是罕见的常染色体显性遗传病,通常肝内弥漫性分布的囊肿数量大于20个。PLD可以单独发生,也可以继发于多囊肾病。目前已发现9个PLD相关的突变基因,包括SEC63,15%的患者发生突变。该患者基因检测发现多囊肝病突变基因,结合患者Caroli病的超声、CT表现不典型,但经病理、MRI及多学科专家会诊,我们仍诊断该患者为Caroli病,并对该患者进行持续随访。该病还应与von Meyenburg综合征鉴别,von Meyenburg综合征罕见,通常无症状,不引起肝功能异常,与CD不同,MRCP显示不与胆道系统相通[8]。其他应鉴别的疾病包括:原发性硬化性胆管炎、成人ABCB4 /MDR3缺乏症、胆管乳头状瘤病。
保守治疗只能改善症状,并不能根治且容易复发。CD的有效治疗方法是根据分布范围手术切除[9]。经治疗后,该患者目前症状缓解,暂无需手术。若发展成终末期肝病,最终应考虑肝移植。
据报道,约7%的CD患者最终发展为恶性肿瘤,其发生风险是正常肝胆管人群的100倍[4]。病例中患者发病年龄早,同时合并慢性乙型肝炎,虽无门静脉高压或多囊肾病的依据,但已出现纤维化,应警惕门静脉高压、恶性肿瘤发生风险,需定期随访。
该病例合并乙型肝炎,反复右上腹不适,无急性胰腺炎、胆囊炎、多囊肾等表现,症状不典型,容易误诊为慢性乙型肝炎引起的右上腹不适;其次该患者影像学表现不典型,未见胆囊结石、典型的"中心点征"及增强CT强化,但有过类似的增强CT无强化的病例报导。患者多次超声均提示肝多发囊肿,数量繁多,且部分囊肿周边有高密度点状信号,为Caroli病可能,最终经病理证实部分汇管区见多个囊性扩张胆管,MRCP再次验证部分小病灶与小胆管密切相关,考虑诊断CD。
通过该病例,我们得出以下经验:(1)虽然CD是罕见的先天性疾病,但对于临床表现为非特异性腹痛、反复胆道感染、黄疸或不明原因的慢性胆汁淤积、门静脉高压、脾功能亢进等症状者应考虑到CD的可能。(2)随着腹部超声普及,肝囊肿发现率逐渐上升。据报道,美国肝囊肿的流行率高达15%~18%[10],对于超声提示多发肝囊肿伴肝内胆管扩张、肝纤维化者,需考虑CD可能。(3)CD患者起病早,早期可无明显症状,也可表现为非特异性症状,如反复上腹痛、发热等,容易漏诊、误诊。(4)CD诊断主要依靠临床表现、影像学检查,同时需要与多种疾病鉴别,外科手术及内镜下治疗是有效的治疗方式。(5)基因检测是一种新型的诊断方法,对CD的诊断及预防具有重要的意义。
所有作者均声明不存在利益冲突





















