
探讨敲除abaR基因对鲍氏不动杆菌生长代谢和生物膜形成的影响。
应用同源重组方法敲除鲍氏不动杆菌ATCC 17978(野生株)abaR基因,获得ATCC 17978abaR敲除株(ATCC 17978/ΔabaR::Kn),通过PCR电泳和测序验证。应用酶标仪测定鲍氏不动杆菌野生株和敲除株培养18 h内的生长曲线,同时应用结晶紫染色法分别于培养8、24、48 h,测定生物膜形成能力,结果均以吸光度值表示,每个时间点样本数为3。对数据进行析因设计方差分析、单因素方差分析、t检验、LSD检验。
(1)打靶片段ΔabaR::Kn的PCR产物大小为3 029 bp。ATCC 17978野生株成功敲除abaR基因后获得ATCC 17978敲除株(ATCC 17978/ΔabaR::Kn),敲除株PCR产物大小3 300 bp,说明abaR基因被成功敲除。(2)培养2、3、4 h,鲍氏不动杆菌野生株吸光度值稍高于敲除株;培养5~18 h,鲍氏不动杆菌野生株和敲除株各时间点吸光度值相近。(3)培养8、24 h,鲍氏不动杆菌野生株生物膜形成能力(0.644±0.066、0.574±0.184)与敲除株(0.559±0.008、0.394±0.030)相近(t=2.209、1.167,P>0.05);培养48 h,鲍氏不动杆菌野生株生物膜形成能力(1.157±0.259)明显强于鲍氏不动杆菌敲除株(0.576±0.026,t=3.865,P<0.05)。鲍氏不动杆菌野生株培养48 h的生物膜形成能力明显强于培养8、24 h(P<0.05),鲍氏不动杆菌敲除株培养24 h的生物膜形成能力明显弱于培养8、48 h(P<0.05)。
利用同源重组方案,可成功敲除鲍氏不动杆菌ATCC 17978 abaR基因,获得鲍氏不动杆菌敲除株ATCC 17978/ΔabaR::Kn。敲除abaR基因后,鲍氏不动杆菌自身的生长代谢不受影响,但其生物膜形成能力明显减弱。
版权归中华医学会所有。
未经授权,不得转载、摘编本刊文章,不得使用本刊的版式设计。
除非特别声明,本刊刊出的所有文章不代表中华医学会和本刊编委会的观点。
细菌群体感应系统是细菌之间通过信号交流感应细菌群体密度进而协调细菌群体生物学行为的重要方式[1]。在鲍氏不动杆菌中,abaI/abaR家族是群体感应系统的重要组成部分,但迄今相关研究报道较少。笔者课题组先前研究得出abaR基因影响鲍氏不动杆菌生物膜形成及耐药[2],但具体机制尚不清楚。本研究通过abaR基因敲除模型构建工作,进一步探讨abaR基因在鲍氏不动杆菌群体感应系统中的作用。
标准菌株鲍氏不动杆菌ATCC 17978购自上海三踏生物科技有限公司,质粒pKD4、pUC19、pCVD442及大肠杆菌E.coli β2155由上海交通大学基础医学院免疫与病原微生物教研室提供。
限制性内切酶购自NEB(北京)有限公司,DNA marker购自宝生物工程(大连)有限公司,质粒DNA提取试剂盒购自天根生化科技(北京)有限公司。ELX800型全自动酶标仪购自美国BioTek公司,PCR仪购自美国ABI公司,电泳仪及凝胶成像仪购自上海天能科技有限公司。
采用同源重组方法[3,4,5,6,7]敲除abaR基因。用高保真Pfu DNA聚合酶从鲍氏不动杆菌野生株(ATCC 17978)基因组上扩增abaR基因的上、下游同源重组手臂,从质粒pKD4上扩增卡那霉素抗性基因。将abaR基因上、下游同源重组手臂与卡那霉素抗性基因通过融合PCR技术连接,得到完整打靶片段ΔabaR::Kn(上游同源手臂-卡那霉素抗性基因-下游同源手臂),再将其克隆入通用载体pUC19,获得pUC19-ΔabaR::Kn。通过酶切、连接、转化进行打靶片段的亚克隆后将打靶片段转入自杀质粒pCVD442,获得打靶质粒pCVD442-ΔabaR::Kn。应用电转化技术将其转入大肠杆菌E.coli β2155,获得供体菌(β2155/pCVD442-ΔabaR::Kn)。供体菌与鲍氏不动杆菌受体菌(ATCC 17978)进行接合实验,在卡那霉素平板上筛选获得具有卡那霉素抗性的鲍氏不动杆菌克隆,其基因组整合有打靶质粒,称为ATCC 17978/pCVD442-ΔabaR::Kn。在含100 g/L蔗糖的LB平板上筛选获得单克隆,通过PCR技术验证单克隆即为abaR基因被卡那霉素抗性基因取代的敲除株,命名为ATCC 17978/ΔabaR::Kn。其中,由北京擎科生物科技有限公司上海分公司合成引物,由上海欧易生物医学科技有限公司测序。实验所需引物设计序列详见表1。

鲍氏不动杆菌ATCC 17978 abaR基因敲除构建方案中所需基因的PCR引物序列及产物大小
鲍氏不动杆菌ATCC 17978 abaR基因敲除构建方案中所需基因的PCR引物序列及产物大小
| 基因序列名称 | 引物序列(5′→ 3′) | 产物大小(bp) |
|---|---|---|
| abaR上游同源臂 | 上游引物:ATACCCGGGCTAACCATGCTACCTGCTTAAGTAC | 776 |
| 下游引物:TTGCTCTCATTAGACTCCATTCACAGA | ||
| abaR下游同源臂 | 上游引物:CTGTAATGCTAGGGCTTTTGTAGAGAG | 802 |
| 下游引物:ATACCCGGGCTTGATGTTGAACTCGCTCATTC | ||
| 卡那霉素 | 上游引物:TCTGTGAATGGAGTCTAATGAGAGCAAGAGCTGCTTCGAAGTTCCTA | 1 521 |
| 下游引物:CTCTCTACAAAAGCCCTAGCATTACAGCATATGAATATCCTCCTTAGTTCCTATTC | ||
| 成功敲除后鉴定序列 | 上游引物:GCTTCAGTATGTCTAGATTCAACGATAGAGATG | 3 300 |
| 下游引物:TAAACGGTAAGCTGACTGGTACTGC | ||
| pUC18/19 | 上游引物:GTGCTGCAAGGCGATTAAGTT | 200 |
| 下游引物:GCTCGTATGTTGTGTGGAATTG |
将-80 ℃冻存的鲍氏不动杆菌野生株和敲除株以1∶100的比例接种于LB液体培养基中进行过夜复苏培养,并将其浓度调至1×108 CFU/mL,每个菌株3个试管,使用全自动酶标仪于波长600 nm处测定每小时吸光度值直至培养18 h。
将-80 ℃冻存的鲍氏不动杆菌野生株和敲除株以1∶100的比例接种于LB液体培养基中进行过占位夜复苏培养,并将其浓度调至1×108 CFU/mL。将上述菌液依次加至96孔板中,每个菌株9孔,每孔200 μL。分别于培养8、24、48 h取3孔,每孔每次加入200 μL PBS洗涤,共洗涤3次;加入100 μL甲醇固定15 min后去除、晾干;加入2 g/L的结晶紫染液200 μL染色20 min后应用PBS冲洗3次、晾干;加入体积分数33%冰醋酸200 μL溶解、振荡5 min后使用全自动酶标仪在波长590 nm处测定吸光度值。
生物膜形成能力为计量资料,采用SPSS 22.0统计软件进行分析,数据符合正态分布,以
±s表示,组间总体比较行析因设计方差分析,组间同一时间点比较行t检验,组内总体比较行单因素方差分析,组内各时间点比较行LSD检验(软件自动略去该统计量值),P<0.05为差异有统计学意义。
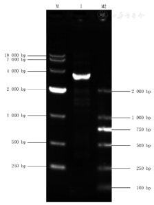
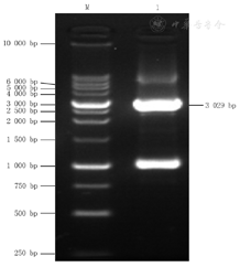
根据表1提供引物序列,打靶片段ΔabaR::Kn的PCR产物大小为3 029 bp,见图1。鲍氏不动杆菌敲除株PCR产物大小为3 300 bp,说明abaR基因已成功被抗性基因卡那霉素所取代,abaR基因敲除成功。见图2。


注:M.marker;1.打靶序列ΔabaR::Kn(上游同源重组臂-卡那霉素抗性基因编码序列-下游同源重组臂),长度3 029 bp


注:M.DL10000 marker;M2.DL2000 marker;1.ATCC 17978 abaR基因敲除成功后引物,长度3 300 bp
培养2、3、4 h,鲍氏不动杆菌野生株吸光度值稍高于敲除株。培养4 h后,鲍氏不动杆菌野生株和敲除株均进入指数生长期。培养5~18 h,鲍氏不动杆菌野生株和敲除株各时间点吸光度值相差不大;2株均在培养14 h后进入平台期。见图3。


注:图中各时间点样本数为3,数据以均数表示
培养8、24 h,鲍氏不动杆菌野生株和敲除株生物膜形成能力相近(P>0.05);培养48 h,鲍氏不动杆菌野生株生物膜形成能力明显强于鲍氏不动杆菌敲除株(P<0.05)。鲍氏不动杆菌野生株培养48 h的生物膜形成能力明显强于培养8、24 h(P<0.05),而鲍氏不动杆菌敲除株培养24 h的生物膜形成能力明显弱于培养8、48 h(P<0.05)。见表2。

鲍氏不动杆菌野生株及敲除株培养各时间点生物膜形成能力比较(
±s)
鲍氏不动杆菌野生株及敲除株培养各时间点生物膜形成能力比较(
±s)
| 菌株名称 | 样本数 | 培养8 h | 培养24 h | 培养48 h | F值 | P值 |
|---|---|---|---|---|---|---|
| 鲍氏不动杆菌野生株(ATCC 17978) | 3 | 0.644±0.066a | 0.574±0.184a | 1.157±0.259 | 8.651 | 0.017 |
| 鲍氏不动杆菌敲除株(ATCC 17978/ ΔabaR::Kn) | 3 | 0.559±0.008b | 0.394±0.030 | 0.576±0.026b | 55.105 | <0.001 |
| t值 | 2.209 | 1.167 | 3.865 | |||
| P值 | 0.092 | 0.170 | 0.018 |
注:处理因素主效应,F=20.065,P<0.01;时间因素主效应,F=12.906,P<0.01;两者交互作用,F=5.833,P=0.020;F值、P值为各菌株内各时间点总体比较所得;与各菌株内培养48 h比较,aP<0.05;与各菌株内培养24 h比较,bP<0.05
鲍氏不动杆菌逐渐成为院内感染的主要流行菌种之一,其易耐药的特性使得泛耐药菌株的检出率明显高于其他细菌,而生物膜形成是其致病与耐药的重要因素之一[8]。在鲍氏不动杆菌中,由abaI/abaR介导参与的群体感应系统与其生物膜形成、细菌游走等行为密切相关,且abaR是目前唯一已知的鲍氏不动杆菌信号系统中的LuxR型信号分占位子受体[9]。笔者课题组前期研究表明,鲍氏不动杆菌abaR参与生物膜形成。基于此,本研究进行了abaR基因敲除模型的构建工作。
鲍氏不动杆菌标准菌株ATCC 17978生物学信息明确,abaR(A1S_0111)位于abaI(A1S_0109)基因下游1 255 bp处,长约717 bp。故本研究以ATCC 17978为野生株,利用同源重组原理进行基因敲除。
敲除构建的第一步为体外构建替代abaR基因的打靶片段,替代基因需具备特殊标记属性以便于实验筛选验证。参考已有文献及初期实验筛选,本研究最终选取质粒pKD4上的卡那霉素抗性基因为abaR替代片段。为减少打靶片段突变,融合PCR技术中应用高保真Pfu DNA聚合酶,打靶序列验证后借助于通用质粒pUC19进行打靶片段克隆。借助于自杀质粒pCVD442[5]无法在鲍氏不动杆菌稳定复制表达、随鲍氏不动杆菌传代扩增致pCVD442丢失的特性,以pCVD442作为打靶片段载体,电转入供体菌大肠杆菌β2155菌株,通过筛选平板获得含有打靶载体的供体菌株β2155/pCVD442-ΔabaR::Kn,通过接合实验完成打靶载体从供体菌株到受体菌株ATCC 17978的转移。实验过程中,面临假阳性克隆问题。pCVD442除抗性标记基因外,同时存在营养缺陷型基因sacB;sacB表达后可以催化蔗糖水解,其产物对微生物具有致死作用。因此,携带pCVD442的供体菌在含有蔗糖的培养基上无法生长。本研究同时应用抗性平板及富含蔗糖平板进行筛选避免了假阳性克隆发生,最终获得阳性克隆即为abaR敲除株ATCC 17978/ΔabaR::Kn,后期PCR电泳产物及测序结果均表明abaR基因成功敲除。
为进一步深入了解abaR功能,笔者课题组进行了敲除abaR基因后的生长曲线和生物膜形成能力的比较。随着细菌数量的增多和培养环境中营养物质的消耗以及细菌代谢产物的增加,细菌的生长一般经历迟缓期、指数生长期、平台期和衰退期;鲍氏不动杆菌生长曲线显示,其多在培养至16 h左右时进入平台期[10]。本研究结果显示,鲍氏不动杆菌ATCC 17978体外培养4 h后进入指数生长期,培养14 h时进入平台期。abaR基因敲除后,其敲除株进入指数生长期后变化趋势与野生株相差不大,与部分学者报道结果相一致[4]。此结果,进一步验证了群体感应系统的靶向研究对削弱病原微生物的致病性及耐药性具有重要意义。
abaR作为鲍氏不动杆菌信号分子受体,与信号分子结合后协调包括生物膜形成在内的细菌群体生物学行为[11,12]。笔者课题组前期研究表明,鲍氏不动杆菌体外培养至48 h时可形成成熟生物膜[13];N-庚酰-L-高丝氨酸内酯(C7-HSL)作为信号分子受体拮抗剂,抑制生物膜形成,抑制程度与C7-HSL浓度相关[2],间接验证abaR参与生物膜形成。本研究结果表明,abaR基因敲除后,在培养48 h时,其生物膜形成能力明显弱于野生株。同时,值得关注的是,abaR基因敲除后,其在培养48 h的生物膜形成能力较培养8 h无明显改变;而野生株,在培养48 h的生物膜形成能力明显强于培养8、24 h,此结果与笔者的前期实验结果一致。鉴于结果2.2基因部分已排除了生物膜形成差异由菌株自身生长代谢缺陷所致可能,由此,笔者推断,abaR基因敲除后,信号分子失去结合受体、无法启动转录功能进而导致下游与生物膜形成相关的基因表达受阻,阻遏生物膜形成,这一结果直接验证了abaR基因是生物膜形成的重要环节。
综上所述,abaR基因敲除后对鲍氏不动杆菌自身生长代谢无明显影响,但因其自身失去转录调节功能致下游靶向基因表达受阻、阻遏生物膜形成。因此,笔者课题组后续研究将借助于基因蛋白组学平台,进一步探究、挖掘abaR基因调控机制,进而寻求潜在生物膜消除方案、提升抗感染治疗效果,减少细菌耐药发生。
所有作者均声明不存在利益冲突





















