
了解树突状表皮T淋巴细胞(DETC)对小鼠创缘表皮细胞增殖和凋亡的影响及其在创面愈合中的作用。
选取无特殊病原体(SPF)级野生型C57BL/6健康8~12周龄雄性小鼠28只、SPF级8~12周龄T淋巴细胞受体δ敲除(TCR δ-/-)雄性小鼠60只用于如下实验。(1)采用随机数字表法取8只野生型小鼠分离表皮细胞、原代培养DETC,并于培养即刻及培养15、30 d行DETC形态学观察和采用流式细胞仪检测纯度。(2)采用随机数字表法取5只野生型小鼠、5只TCR δ-/-小鼠,分别设为野生型对照组、TCR δ-/-组,每只小鼠背部制作直径6 mm圆形全层皮肤缺损创面。观察伤后即刻及伤后2、4、6、8、10 d创面愈合情况、计算剩余创面面积百分比。(3)同实验(2)取小鼠,分组并制作全层皮肤缺损模型。伤后3 d取创缘组织进行苏木精-伊红染色,检测新生上皮长度。(4)同实验(2)取小鼠,分组并制作全层皮肤缺损模型。伤后3 d取创缘表皮组织,采用蛋白质印迹法检测增殖细胞核抗原(PCNA)的表达,评估表皮细胞增殖情况。(5)同实验(2)取小鼠,分组并制作全层皮肤缺损模型。伤后3 d取创缘的表皮组织消化成单细胞悬液,采用流式细胞仪检测细胞凋亡情况。(6)取40只TCR δ-/-小鼠,同前行实验(2)~(5)检测,并采用随机数字表法分为TCR δ-/-对照组和TCR δ-/-+DETC组,每个实验每组5只小鼠。其中小鼠背部同前造成全层皮肤缺损,TCR δ-/-+DETC组小鼠伤后即刻于创缘多点注射1×105个DETC(溶解于100 μL磷酸盐缓冲液,纯度超过90%),TCR δ-/-对照组小鼠同法注射等体积磷酸盐缓冲液。对数据行重复测量方差分析、t检验及Bonferroni校正。
(1)随着培养时间的延长,DETC树突状突起的数量逐渐增多。培养即刻,4.67%的细胞是T淋巴细胞,这部分T淋巴细胞中94.10%为DETC。培养15 d时DETC纯度达18.50%,培养30 d时DETC纯度达98.70%。(2)伤后即刻,TCR δ-/-组、野生型对照组小鼠的创面情况相似;TCR δ-/-组小鼠伤后2~10 d的创面愈合速度慢于野生型对照组。与野生型对照组小鼠比较,TCR δ-/-组小鼠伤后2、4、6、8、10 d剩余创面面积百分比均明显升高(t=3.492、4.425、4.170、4.780、7.318, P<0.01)。(3)TCR δ-/-组小鼠伤后3 d创缘新生上皮长度为(359±15)μm,明显短于野生型对照组的(462±26)μm(t=3.462,P<0.01)。(4)TCR δ-/-对照组小鼠伤后即刻的创面情况与TCR δ-/-+DETC组相似;TCR δ-/-+DETC组小鼠伤后2~10 d的创面愈合速度明显快于TCR δ-/-对照组。与TCR δ-/-对照组比较,TCR δ-/-+DETC组小鼠伤后2、4、6、8、10 d剩余创面面积百分比明显降低(t=2.308、3.725、2.698、3.707、6.093, P<0.05或P<0.01)。(5)TCR δ-/-+DETC组小鼠伤后3 d创缘新生上皮长度为(465±31)μm,明显长于TCR δ-/-对照组的(375±21)μm(t=2.390,P<0.05)。(6)伤后3 d,TCR δ-/-组小鼠创缘表皮细胞的PCNA表达量为1.25±0.04,明显低于野生型对照组的2.01±0.09(t=7.415,P<0.01)。(7)伤后3 d,TCR δ-/-+DETC组小鼠创缘表皮细胞的PCNA表达量为1.62±0.08,明显高于TCR δ-/-对照组的1.05±0.14(t=3.561,P<0.05)。(8)伤后3 d,TCR δ-/-组小鼠创缘表皮细胞凋亡率为(16.1±1.4)%,明显高于野生型对照组的(8.1±0.6)%(t=5.363,P<0.01)。(9)伤后3 d,TCR δ-/-+DETC组小鼠创缘的表皮细胞凋亡率为(11.4±1.0)%,明显低于TCR δ-/-对照组的(15.4±1.4)%(t=2.377,P<0.05)。
DETC可通过促进小鼠创缘表皮细胞的增殖、抑制其凋亡,参与创面愈合过程。
版权归中华医学会所有。
未经授权,不得转载、摘编本刊文章,不得使用本刊的版式设计。
除非特别声明,本刊刊出的所有文章不代表中华医学会和本刊编委会的观点。
皮肤是人体最表层的屏障,在对抗外界细菌感染的过程中发挥着重要作用,同时皮肤也是外伤时最容易受损的器官,皮肤的损伤和修复是机体损伤修复的重要组成部分。表皮细胞主要由KC组成,同时还有少量的树突状表皮T淋巴细胞(dendritic epidermal T cell, DETC)和朗格汉斯细胞[1,2]。表皮细胞的增殖和凋亡平衡、功能正常与否是皮肤稳态的组成部分[3,4]。表达γδT淋巴细胞受体的T淋巴细胞称为γδT淋巴细胞[5,6]。γδT淋巴细胞主要分布在皮肤、肺、肠道等部位,参与了非主要组织相容性复合体限制性抗原识别过程,因此在机体免疫应答过程中得以更快被激活发挥作用[7,8,9,10]。γδT淋巴细胞在肿瘤免疫[9,11]、创面愈合[12,13,14]等过程中发挥的重要作用也越来越受到关注。DETC是表皮内定居的主要γδT淋巴细胞,表面标志物为Vγ3Vδ1,它也是皮肤损伤的主要响应T淋巴细胞,在对抗外界细菌感染和伤口愈合过程中发挥重要作用[15]。在生理情况下,皮肤组织通过表皮基底幼稚细胞的增殖分化以及KC的脱落来维持自我更新[16]。在创面修复过程中,表皮内的KC大量增殖和迁移至创面,从而在创面愈合过程中发挥重要作用[17,18,19],在此过程中DETC能否通过影响表皮细胞的增殖和凋亡进而参与创面愈合有待阐明。笔者拟通过本研究探讨DETC对小鼠创缘表皮细胞增殖和凋亡的调节作用,以及其对创面愈合的影响。
无特殊病原体(SPF)级野生型C57BL/6健康8~12周龄雄性小鼠28只、SPF级8~12周龄T淋巴细胞受体δ敲除(TCR δ-/-)雄性小鼠60只均由陆军军医大学实验动物中心提供,许可证号:SYXK(渝)2012-0010,小鼠均不处于换毛周期。中性蛋白酶Ⅱ购自日本Roche公司,5 g/L胰酶、胎牛血清以及RPMI 1640培养基均购自美国HyClone公司,吲哚美辛和刀豆蛋白A购自美国Sigma公司,小鼠淋巴细胞分离液(Lympholyte-M)购自加拿大Cedarlane公司,大鼠抗小鼠CD16/32单克隆抗体购自美国eBioscience公司,Alexa-Flour 488标记的大鼠抗小鼠CD3单克隆抗体购自美国Biolegend公司,亮紫421标记的叙利亚仓鼠抗小鼠Vγ3单克隆抗体购自美国BD Biosciences公司,藻红蛋白标记的亚美尼亚仓鼠抗小鼠γδT淋巴细胞受体单克隆抗体购自加拿大STEMCELL公司,凋亡检测试剂盒购自上海碧云天生物技术有限公司,蛋白提取试剂盒购自南京凯基生物公司,二辛丁酸蛋白测定试剂盒购自美国Thermo Scientific公司,牛血清白蛋白(BSA)购自上海Biosharp公司,聚偏氟乙烯(PVDF)膜购自美国Millipore公司,山羊抗兔IgG多克隆抗体和兔抗小鼠GAPDH单克隆抗体购自天津三箭生物公司,兔抗小鼠增殖细胞核抗原(PCNA)单克隆抗体购自美国Abcam公司,化学发光液购自重庆葆光生物公司。ChemiDoc XRS型化学发光成像分析仪购自美国Bio-Rad公司,Attune NxT型流式细胞仪购自美国Life Technologies公司,光学显微镜、倒置相差显微镜购自日本Olympus公司,离心机购自美国Beckman公司,细胞照相机及动物照相机购自日本Canon公司。
选取8只野生型C57BL/6小鼠,采用10 g/L戊巴比妥钠腹腔注射麻醉小鼠,待其停止活动后,剃去小鼠背部毛发并行脱毛处理;体积分数75%乙醇浸泡小鼠背部3 min灭菌。断颈处死小鼠,取小鼠背部全层皮肤,采用纱布和镊子取下皮下组织。将全层皮肤剪成1 cm×1 cm的小块平铺在平皿中,向其中加入5 g/L中性蛋白酶Ⅱ至皮片漂浮,4 ℃消化过夜,采用眼科镊小心分离表皮。
将分离好的表皮集中在一起,用眼科剪剪碎,5 g/L胰蛋白酶37 ℃消化15 min,含体积分数10%胎牛血清的RPMI 1640培养基终止消化,反复吹打,细胞滤网(孔径40 μm)过滤获得小鼠的表皮细胞悬液。采用小鼠淋巴细胞分离液进行密度梯度离心纯化DETC。步骤如下:RPMI 1640培养基重新悬浮细胞,调整细胞密度为1×106个/mL。向培养基中加入2 μg/mL刀豆蛋白A和2 μg/mL吲哚美辛,将细胞接种于48孔板,每孔500 μL,于37 ℃恒温培养箱培养,每隔4天进行半换液1次,培养20 d后加入0.5 μg/mL刀豆蛋白A再刺激。培养即刻及培养15、30 d于400倍倒置相差显微镜下行形态学观察。
将培养的DETC用细胞计数板计数,取出1×106个细胞置入1.5 mL离心管,离心后用200 μL PBS重新悬浮。加入1 μL大鼠抗小鼠CD16/32单克隆抗体,室温孵育20 min,阻断Fc受体;加入1 μL藻红蛋白标记的亚美尼亚仓鼠抗小鼠γδT淋巴细胞受体单克隆抗体、1 μL亮紫421标记的叙利亚仓鼠抗小鼠Vγ3单克隆抗体、1 μL Alexa-Fluor 488标记的大鼠抗小鼠CD3单克隆抗体,室温避光孵育30 min。终止染色,用800 μL PBS重新悬浮,于培养即刻及培养15、30 d用流式细胞仪检测DETC纯度。
采用随机数字表法选取TCR δ-/-小鼠和野生型小鼠各5只,分别设为野生型对照组、TCR δ-/-组,麻醉后背部同前剃毛、脱毛、消毒,打孔器在小鼠背部制作直径6 mm圆形全层皮肤缺损创面,伤后即刻及伤后2、4、6、8、10 d采用照相机记录小鼠创面愈合情况。采用ImageJ软件(美国国立卫生研究院)计算剩余创面面积百分比,剩余创面面积百分比=(伤后即刻创面面积-各时间点创面愈合面积)÷伤后即刻创面面积×100%。
另选取10只TCR δ-/-小鼠,采用随机数字表法分为TCR δ-/-对照组和TCR δ-/-+DETC组,每组5只。2组小鼠背部同前造成全层皮肤缺损创面,TCR δ-/-+DETC组小鼠伤后即刻于创缘多点注射1×105个DETC(溶解于100 μL PBS,纯度超过90%,下同),TCR δ-/-对照组小鼠同法注射等体积PBS。同前于伤后即刻及伤后2、4、6、8、10 d记录小鼠创面愈合情况,并计算剩余创面面积百分比。
采用随机数字表法选取TCR δ-/-小鼠和野生型小鼠各5只,设为野生型对照组、TCR δ-/-组。小鼠背部同1.5造成全层皮肤缺损,伤后3 d将创面皮肤和创缘一起切下,置入40 g/L多聚甲醛固定,切片后行HE染色。400倍光学显微镜下照相后,用ImageJ软件根据标尺测量新生上皮长度。
另选取10只TCR δ-/-小鼠,采用随机数字表法分为TCR δ-/-对照组和TCR δ-/-+DETC组,每组5只,处理同1.5对应组别。伤后3 d,同前切取组织固定、切片、HE染色、测量新生上皮长度。
采用随机数字表法选取5只野生型小鼠、5只TCR δ-/-小鼠,分别设为野生型对照组、TCR δ-/-组,小鼠背部同1.5造成全层皮肤缺损。伤后3 d取创缘和创面的表皮组织,在液氮中研磨成粉末,随后将粉末放在含1 μg/mL蛋白酶抑制剂、5 μg/mL苯甲基磺酰氟、10 μg/mL磷酸酶抑制剂的裂解缓冲液(试剂均来自蛋白提取试剂盒)中,4 ℃低速涡旋20 min,14 000 ×g离心15 min,采用二辛丁酸法测量蛋白浓度。每个样本取30 μg,行十二烷基硫酸钠-聚丙烯酰胺凝胶电泳后转移至PVDF膜,然后采用30 g/L BSA室温封闭PVDF膜2 h,加入一抗兔抗小鼠PCNA单克隆抗体(稀释比为1∶1 000)、兔抗小鼠GAPDH单克隆抗体(稀释比为1∶1 000)4 ℃孵育过夜,加入二抗山羊抗兔IgG多克隆抗体(稀释比为1∶5 000)室温作用1 h,化学发光液曝光,以PCNA与GAPDH(内参照)的比值表示PCNA的表达,评估表皮细胞增殖情况。
另选取10只TCR δ-/-小鼠,采用随机数字表法分为TCR δ-/-对照组和TCR δ-/-+DETC组,每组5只,处理同1.5对应组别。伤后3 d,采用上述蛋白质印迹法检测创缘表皮组织中PCNA表达。
采用随机数字表法选取野生型小鼠和TCR δ-/-小鼠各5只,分别设为野生型对照组、TCR δ-/-组,小鼠背部同1.5造成全层皮肤缺损。伤后3 d取创缘表皮组织消化成单细胞悬液并计数。取1×105个细胞,用100 μL膜联蛋白结合液重新悬浮,加入5 μL异硫氰酸荧光素-膜联蛋白Ⅴ染色液、1 μL碘化丙啶工作液,室温染色15 min,400 μL的膜联蛋白结合液终止染色,流式细胞仪检测表皮细胞凋亡情况。
另选取10只TCR δ-/-小鼠,采用随机数字表法分为TCR δ-/-对照组和TCR δ-/-+DETC组,每组5只,处理同1.5对应组别。伤后3 d,采用流式细胞仪检测创缘表皮细胞凋亡情况。
采用SPSS 19.0统计软件进行分析,计量资料数据均符合正态分布,以
±s表示。总体比较采用重复测量方差分析,两两比较采用t检验并进行Bonferroni校正,P<0.05为差异有统计学意义。
培养即刻,DETC未见树突状突起;随着培养时间的延长,树突状突起的数量逐渐增多,培养30 d的DETC数量明显多于培养15 d时。见图1。培养即刻,4.67%的细胞是T淋巴细胞,这部分T淋巴细胞中94.10%为DETC。随着培养时间延长,DETC的纯度也逐渐升高,培养15 d时纯度达18.50%,培养30 d时纯度达98.70%。见图2。




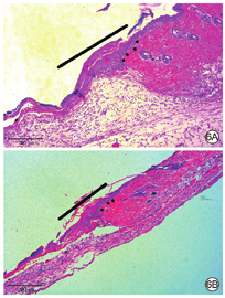
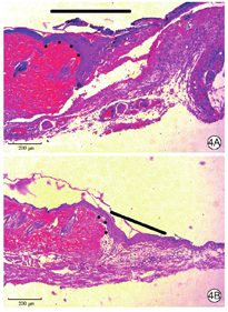
伤后即刻,TCR δ-/-组、野生型对照组小鼠的创面情况相似;TCR δ-/-组小鼠伤后2~10 d的创面愈合速度慢于野生型对照组,以伤后4、8 d明显。与野生型对照组小鼠比较,TCR δ-/-组小鼠伤后2、4、6、8、10 d剩余创面面积百分比均明显升高(P<0.01)。TCR δ-/-组小鼠伤后3 d创面新生上皮长度为(359±15)μm,明显短于野生型对照组的(462±26)μm(t=3.462,P=0.009)。见表1及图3、图4。




注:图中黑色线段表示新生上皮长度

2组全层皮肤缺损小鼠各时间点剩余创面面积百分比的比较(%,
±s)
2组全层皮肤缺损小鼠各时间点剩余创面面积百分比的比较(%,
±s)
| 组别 | 鼠数(只) | 伤后2 d | 伤后4 d | 伤后6 d | 伤后8 d | 伤后10 d |
|---|---|---|---|---|---|---|
| 野生型对照组 | 5 | 61.8±3.8 | 43.4±3.2 | 21.6±2.6 | 8.4±1.4 | 0.8±0.3 |
| TCR δ-/-组 | 5 | 78.4±2.9 | 65.4±3.8 | 38.6±3.1 | 25.0±3.2 | 12.6±1.5 |
| t值 | 3.492 | 4.425 | 4.170 | 4.780 | 7.318 | |
| P值 | 0.008 | 0.002 | 0.003 | 0.001 | <0.001 |
注:TCR δ-/-为T淋巴细胞受体δ敲除;伤后即刻2组小鼠的剩余创面面积百分比均为100.0%;处理因素主效应,F=21.899, P=0.002;时间因素主效应,F=999.597, P<0.001;两者交互作用,F=11.541, P=0.009
伤后即刻,TCR δ-/-+DETC组、TCR δ-/-对照组小鼠的创面情况相似;TCR δ-/-+DETC组小鼠伤后2~10 d的创面愈合速度快于TCR δ-/-对照组,以伤后4、8 d明显。与TCR δ-/-对照组比较,TCR δ-/-+DETC组小鼠伤后2、4、6、8、10 d剩余创面面积百分比明显降低(P<0.05或P<0.01)。TCR δ-/-+DETC组小鼠伤后3 d创缘新生上皮长度为(465±31)μm,明显长于TCR δ-/-对照组的(375±21)μm(t=2.390,P=0.044)。见表2及图5、图6。




注:图中黑色线段表示新生上皮长度

2组全层皮肤缺损小鼠各时间点剩余创面面积百分比的比较(%,
±s)
2组全层皮肤缺损小鼠各时间点剩余创面面积百分比的比较(%,
±s)
| 组别 | 鼠数(只) | 伤后2 d | 伤后4 d | 伤后6 d | 伤后8 d | 伤后10 d |
|---|---|---|---|---|---|---|
| TCR δ-/-对照组 | 5 | 79.8±2.8 | 70.4±3.7 | 39.4±3.5 | 25.6±3.0 | 14.8±1.7 |
| TCR δ-/-+DETC组 | 5 | 65.8±5.4 | 51.4±3.5 | 25.8±3.6 | 12.0±2.0 | 3.4±0.8 |
| t值 | 2.308 | 3.725 | 2.698 | 3.707 | 6.093 | |
| P值 | 0.049 | 0.006 | 0.027 | 0.006 | <0.001 |
注:TCR δ-/-为T淋巴细胞受体δ敲除,DETC为树突状表皮T淋巴细胞;伤后即刻2组小鼠的剩余创面面积百分比均为100.0%;处理因素主效应,F=12.545, P=0.008;时间因素主效应,F=656.632, P<0.001;两者交互作用,F=5.464, P=0.008
伤后3 d,TCR δ-/-组小鼠创缘表皮细胞PCNA表达量为1.25±0.04,明显低于野生型对照组的2.01±0.09(t=7.415,P=0.002)。见图7。


注:PCNA为增殖细胞核抗原,GAPDH为3-磷酸甘油醛脱氢酶;1.野生型对照组;2.T淋巴细胞受体δ敲除组
伤后3 d,TCR δ-/-+DETC组小鼠创缘表皮细胞PCNA表达量为1.62±0.08,明显高于TCR δ-/-对照组的1.05±0.14(t=3.561,P=0.024)。见图8。


注:PCNA为增殖细胞核抗原,GAPDH为3-磷酸甘油醛脱氢酶;1.T淋巴细胞受体δ敲除(TCR δ-/-)+树突状表皮T淋巴细胞组;2.TCR δ-/-对照组
伤后3 d,TCR δ-/-组小鼠创缘表皮细胞凋亡率为(16.1±1.4)%,明显高于野生型对照组的(8.1±0.6)%(t=5.363,P=0.001)。见图9。


注:FITC为异硫氰酸荧光素
伤后3 d,TCR δ-/-+DETC组小鼠创缘的表皮细胞凋亡率为(11.4±1.0)%,明显低于TCR δ-/-对照组的(15.4 ±1.4)%(t=2.377,P=0.045)。见图10。


注:FITC为异硫氰酸荧光素
临床中,烧创伤、溃疡等多种形式引发的皮肤损伤非常常见,其中慢性难愈合创面是非常棘手的临床问题[20,21,22,23,24,25]。皮肤创面愈合是一个多种细胞参与的过程,基底层的表皮细胞具有较高的增殖能力,在损伤后可以从创缘迁移至创面,再分裂增殖,最终覆盖损伤区域[26,27,28,29,30]。皮肤组织的γδT淋巴细胞是分布于皮肤的一类重要免疫细胞,在皮肤的创面修复过程中参与炎症产生和再上皮化过程[31,32,33]。DETC主要分布在表皮层,在创面愈合过程中主要通过和损伤表皮细胞的相互作用,分泌多种细胞因子,参与创面愈合[34]。表皮细胞的增殖和凋亡是创面修复的重要组成部分,已知正常皮肤里的DETC能够调节表皮细胞的增殖和凋亡从而维持皮肤稳态[32],但是DETC是否通过影响表皮细胞的增殖和凋亡参与创面愈合过程仍有待研究。为此,笔者使用了TCR δ-/-小鼠构建DETC缺失模型进行相应的实验观察。为了解创面动态、长期的愈合情况,笔者观察了伤后10 d以内的创面愈合情况。同时检测了伤后3 d创缘新生上皮长度、创缘表皮细胞增殖和凋亡情况,了解伤后短时间内创缘细胞的活性。
本研究首先制作野生型小鼠和TCR δ-/-小鼠全层皮肤缺损创面。结果显示,与野生型小鼠比较,TCR δ-/-小鼠创面愈合速度明显减慢,伤后2~10 d剩余创面面积百分比明显升高,伤后3 d创面新生上皮长度缩短,说明在DETC缺失的情况下,创面愈合速度减慢。为了探究DETC缺失导致皮肤创面愈合延迟原因,笔者检测了野生型小鼠和TCR δ-/-小鼠创缘表皮细胞的增殖标志物PCNA表达以及凋亡率。结果显示,DETC缺失的情况下创缘表皮细胞增殖减少且凋亡增加,推测DETC可能是通过影响创缘表皮细胞的增殖和凋亡进而影响创面愈合。
为了进一步印证猜想,笔者在体外分离培养了高纯度的DETC,可见随着培养时间的延长,DETC的纯度逐渐升高且出现了树突状形态。通过向TCR δ-/-小鼠创缘周围注入培养的DETC,结果表明,与TCR δ-/-对照组比较,TCR δ-/-+DETC组小鼠的创面愈合速度加快,剩余创面面积百分比明显降低、新生上皮长度增加,证明DETC在创面损伤修复过程中扮演了重要角色。与此同时,TCR δ-/-+DETC组小鼠创缘表皮细胞的凋亡率明显下降、PCNA表达明显增高,说明外源性给予DETC能够促进创缘表皮细胞的增殖、抑制其凋亡,进而促进创面愈合。
综上所述,在皮肤损伤愈合过程当中,创缘的DETC能够促进创面愈合,主要机制为促进创缘表皮细胞增殖、抑制其凋亡。本研究初步阐明DETC通过影响创缘表皮细胞的增殖和凋亡从而参与到创面愈合过程,为创面愈合研究提供了新方向。
所有作者均声明不存在利益冲突





















