
建立高效的人肠三叶因子(ITF)重组表达及纯化策略,观察重组人ITF(rhITF)对烧伤小鼠肠黏膜损伤与修复的作用并探讨其机制。
采用实验研究方法。采用新型酵母表达载体pGAPZαA和酵母菌X33重组表达ITF,并通过金属螯合亲和层析与阴、阳离子交换层析法纯化蛋白,行非还原十二烷基硫酸钠-聚丙烯酰胺凝胶电泳(SDS-PAGE)及蛋白质印迹法鉴定rhITF。rhITF与胃蛋白酶溶液、胰蛋白酶溶液按体积比1∶1混合,分别作用0.5、1.0、1.5、2.0 h和1.0、2.0、4.0 h后行非还原SDS-PAGE,分析rhITF的稳定性。按随机数字表法将105只6~8周龄BALB/c雄性小鼠分为假伤组(30只)、单纯烧伤组(45只)、烧伤+rhITF组(30只)。将单纯烧伤组和烧伤+rhITF组小鼠背部造成30%体表总面积Ⅲ度烧伤,假伤组小鼠模拟致假伤,烧伤+rhITF组小鼠伤后灌胃1 mg/kg rhITF,其余2组小鼠伤后给予等量生理盐水。伤后24 h,取15只单纯烧伤组小鼠,制备烧伤血清,用于细胞实验。伤后3、5、7 d,每组各取10只小鼠处死后取小肠组织,苏木精-伊红染色观察肠黏膜病理变化,分光光度法和酶联免疫吸附测定法测定肠组织二胺氧化酶(DAO)及乳酸脱氢酶(LDH)活性。取3批人结直肠腺癌HT-29细胞,分为阴性对照组、25 μg/mL rhITF组、50 μg/mL rhITF组(样本数为3),正常对照组、烧伤血清组、烧伤血清+rhITF组(样本数为3),CK869抑制剂组、CK666抑制剂组和溶剂对照组(样本数为2),分别进行相应处理,Transwell实验观察培养12 h后细胞移行。另取2批HT-29细胞,每批细胞均分为正常对照组、烧伤血清组和烧伤血清+rhITF组(样本数均为6),培养24 h后,蛋白质印迹法检测细胞腺苷酸活化蛋白激酶(AMPK)、磷酸化AMPK(p-AMPK)、Ras相关C3肉毒杆菌毒素底物1(Rac1)及肌动蛋白相关蛋白2/3(Arp2/3)复合亚基1B(ARPC1B)蛋白表达,活化磁珠下拉实验检测细胞Rac1活性。对数据行析因设计方差分析、单因素方差分析、SNK检验。
每升发酵液获得rhITF 82.35 mg,蛋白纯度高达98%,且具有良好的抗原特异性。rhITF在胃蛋白酶和胰蛋白酶溶液中较稳定,与胰蛋白酶溶液作用2.0 h后仍有45%残余,与胃蛋白酶溶液作用4.0 h后仍有90%残余。假伤组小鼠伤后各时间点肠黏膜未见充血、水肿,单纯烧伤组小鼠伤后各时间点肠黏膜主要病理表现为充血、水肿、糜烂及出血。烧伤+rhITF组小鼠伤后3、5 d肠黏膜主要以充血、水肿为主,伤后7 d肠黏膜水肿和充血减轻。与单纯烧伤组比较,假伤组、烧伤+rhITF组小鼠伤后3、5、7 d肠组织DAO和LDH活性显著升高(P<0.05或P<0.01)。培养12 h后,25 μg/mL rhITF组细胞移行数为(58±12)个,显著多于阴性对照组的(16±5)个(P<0.01),显著少于50 μg/mL rhITF组的(123±9)个(P<0.05)。培养12 h后,烧伤血清组细胞移行数为(60±13)个,显著少于正常对照组的(143±11)个和烧伤血清+rhITF组的(138±8)个(P<0.05)。培养12 h后,溶剂对照组细胞移行数为(155±9)个,明显多于CK666抑制剂组的(33±5)个、CK869抑制剂组的(28±5)个(P<0.01)。培养24 h后,烧伤血清组细胞AMPK、Rac1蛋白表达量与正常对照组、烧伤血清+rhITF组相近(P>0.05),p-AMPK蛋白表达量明显高于正常对照组、烧伤血清+rhITF组(P<0.05或P<0.01),ARPC1B蛋白表达量明显低于正常对照组、烧伤血清+rhITF组(P<0.05)。培养24 h后,烧伤血清组细胞Rac1活性明显低于正常对照组、烧伤血清+rhITF组(P<0.05或P<0.01)。
本研究获得的rhITF具有较高的纯度和超强的稳定性,能耐受极端pH和蛋白酶水解,减轻烧伤小鼠肠黏膜损伤。rhITF能通过抑制AMPK磷酸化维持Rac1-Arp2/3活性,促进肠上皮细胞移行,加速肠黏膜修复。
版权归中华医学会所有。
未经授权,不得转载、摘编本刊文章,不得使用本刊的版式设计。
除非特别声明,本刊刊出的所有文章不代表中华医学会和本刊编委会的观点。
严重烧伤后肠道结构受损、功能障碍是引发肠源性感染、肠源性高代谢、SIRS乃至MODS的重要原因[1]。因此,如何减轻烧伤后肠黏膜损伤,促进黏膜修复是烧伤临床关注的核心问题之一。受损肠黏膜主要依赖细胞增殖和移行完成对损伤部位的修复,以重建肠上皮的完整性。细胞增殖涉及基因转录、翻译及蛋白合成,最终以有丝分裂的方式增加细胞数量,属于肠道的慢速修复机制[2]。相较于细胞增殖,肠道通过细胞移行予以修复的速度要快得多,当肠黏膜损伤发生时,首先启动的是创缘残留上皮的快速移行,迅速使裸露的黏膜表面上皮化,这是肠黏膜的快速修复机制[3]。烧伤后肠黏膜广泛受损,亟待修复,因此如何加快细胞移行以快速修复受损黏膜就显得格外重要。
多种生长因子能促进肠上皮细胞移行,包括EGF、FGF及角质细胞生长因子等,但肠三叶因子(intestinal trefoil factor,ITF)更具特异性。ITF是由肠道杯状细胞分泌的由59个氨基酸组成的小分子多肽,具有稳定肠黏液和促进细胞移行的功能,在维护肠黏膜完整性方面发挥重要作用。ITF特殊的空间结构使其能形成稳定的二聚体,具有耐受消化酶和极端pH的特性,并使其具有成为经消化道途径给药的多肽类药物的潜质。采用真核细胞表达系统合成ITF是保持ITF活性的最佳选择,但制备工艺复杂,产量和纯度不高。本研究拟采用新型的酵母表达载体重组人ITH(rhITF),并改进纯化工艺,以期获得高纯度的具有生物活性的rhITF,在此基础上对其生物活性尤其是促进肠上皮细胞移行的作用及机制进行深入研究,以期为ITF研发及临床应用奠定理论基础。
本实验遵循陆军军医大学和国家有关实验动物管理和使用的相关规定。
重组酵母表达质粒pGAPZαA-ITF由陆军军医大学(第三军医大学)第一附属医院全军烧伤研究所孙勇博士提供,酵母菌株X33购自美国Invitrogen公司。105只6~8周龄健康清洁级雄性BALB/c小鼠,体重20~22 g,购自陆军军医大学动物实验中心,许可证号:SCXK(渝)2017-0002。人结直肠腺癌细胞株HT-29购自美国典型培养物保藏中心。糖蛋白抗生素zeocin,限制性内切酶BspHI购自日本TaKaRa公司,McCoy's5A培养基、胎牛血清购自美国HyClone公司,乳酸脱氢酶(LDH)和二胺氧化酶(DAO)检测试剂盒购自武汉云克隆科技股份有限公司,兔抗人ITF多克隆抗体、兔抗人腺苷酸活化蛋白激酶(AMPK)多克隆抗体、兔抗人磷酸化AMPK(p-AMPK)多克隆抗体、Ras相关C3肉毒杆菌毒素底物1(Rac1)活性检测试剂盒购自美国Sigma公司,兔抗人Rac1多克隆抗体、兔抗人肌动蛋白相关蛋白2/3(Arp2/3)复合亚基1B(ARPC1B)多克隆抗体购自美国Novus公司,兔抗小鼠GAPDH单克隆抗体购自美国Santa Cruz公司,辣根过氧化物酶标记的山羊抗兔IgG多克隆抗体购自北京中杉金桥生物技术有限公司,青霉素、链霉素购自重庆医药集团股份有限公司,全蛋白提取试剂盒购自南京凯基生物科技发展有限公司,化学发光试剂盒、Varioskan Flash型全自动酶标仪、Forma370型二氧化碳培养箱购自赛默飞世尔科技(中国)有限公司,ChemiDoc XRS型凝胶成像仪购自美国Bio-Rad公司,AX10 IMAGER型荧光显微镜购自德国蔡司公司,IX71型光学显微镜购自奥林巴斯(中国)有限公司,SP Sepharose XL型阳离子交换层析介质、Chelating Sepharose FF型金属螯合亲和层析介质、Q Sepharose FF型阴离子交换层析介质、ÄKTA™ pure型层析系统购自美国通用电气公司,DU800型紫外分光光度计/核酸蛋白分析仪购自美国贝克曼库尔特公司。
采用BspHI单酶切重组酵母表达质粒pGAPZαA-ITF,线性化后转化酵母菌X33,以质量浓度100 μg/mL的带zeocin抗性的酵母膏胨葡萄糖琼脂平板筛选高拷贝阳性转化子,挑取单个阳性转化子菌落接种到10 mL酵母浸出粉胨葡萄糖培养基中,30 ℃恒温摇床培养18 h,再将菌液接种到2 L 酵母浸出粉胨葡萄糖培养基中,同前培养24~36 h至600 nm波长处的吸光度值达10左右,收集发酵液2 L。
将上述2 L发酵液以12 000×g离心10 min,收集上清液。上清液用纯水稀释至电导率≤4 mS/cm,并用稀乙酸调节pH=4.5,经孔径0.45 μm滤器过滤上清液,将处理后的1 L发酵液上样于已平衡完毕的阳离子交换层析介质,收集蛋白溶液194 mL。将蛋白溶液直接上样于金属螯合亲和层析介质,用淋洗液(50 mmol/L PBS+20 mmol/L咪唑+250 mmol/L氯化钠,pH=7.0)去除大部分杂质后,用洗脱液(20 mmol/L PBS+250 mmol/L咪唑+100 mmol/L氯化钠,pH=8.0)洗脱并收集蛋白峰蛋白溶液47 mL。将收集的蛋白溶液用注射用水稀释至电导率≤4 mS/cm,上样于阴离子交换层析介质,上样完毕后用平衡液(50 mmol/L PBS,pH=8.0)淋洗至基线稳定,然后用洗脱液(50 mmol/L PBS+200 mmol/L氯化钠,pH=7.0)洗脱并收集蛋白溶液45 mL。分别取发酵上清液及上述3步纯化后收集的蛋白溶液,二辛丁酸法测定蛋白浓度后,各取40 μg蛋白,行非还原十二烷基硫酸钠-聚丙烯酰胺凝胶电泳(SDS-PAGE),采用考马斯亮蓝快速染色液染色,凝胶成像仪扫描后,使用仪器自带的Quantity One 4.6.2软件分析蛋白纯度。另取阴离子交换层析后的蛋白40 μg,倍比稀释后,行非还原SDS-PAGE,半干法转膜。采用50 g/L脱脂奶粉溶液室温下封闭2~3 h,加入兔抗人ITF多克隆一抗(稀释比为1∶1 000),4 ℃孵育过夜,用含吐温20的三羟甲基氨基甲烷盐缓冲液(TBST)洗涤5次。再加入辣根过氧化物酶标记的山羊抗兔IgG多克隆二抗(稀释比为1∶5 000),室温孵育1 h。TBST洗涤5次。化学发光、显影,凝胶成像仪行蛋白条带扫描分析。
取1.2.2中纯化鉴定后的rhITF 5 mL,调整质量浓度为500 mg/L,另配制500 mg/L的胃蛋白酶溶液和胰蛋白酶溶液。胰蛋白酶溶液和胃蛋白酶溶液分别与rhITF按体积比1∶1混合,rhITF与胰蛋白酶溶液在37 ℃水浴中作用0.5、1.0、1.5、2.0 h,rhITF与胃蛋白酶溶液在37 ℃水浴中作用1.0、2.0、4.0 h后行非还原SDS-PAGE,采用考马斯亮蓝快速染色液染色,Quantity One 4.6.2软件分析rhITF残余量。
取105只小鼠,分笼饲养,在实验开始前标准饮食1周,按随机数字表法(分组方法下同)分为假伤组(30只)、单纯烧伤组(45只)、烧伤+rhITF组(30只)。将3组小鼠左侧下腹部皮肤消毒后,按40 mg/kg腹腔注射10 g/L戊巴比妥钠麻醉,背部30%TBSA剃毛。将单纯烧伤组和烧伤+rhITF组小鼠背部置于90 ℃热水中10 s,造成背部30%TBSAⅢ度烫伤(经病理切片证实,以下称烧伤);将假伤组小鼠背部置于37 ℃温水中10 s致假伤。伤后即刻,3组小鼠均立即腹腔注射乳酸林格液1.5 mL·kg-1·%TBSA-1用于复苏。伤后24 h,取15只单纯烧伤组小鼠,同前麻醉,于右心室采集静脉血0.8~1.0 mL,室温静置15 min,以离心半径4.8 cm、3 000 r/min离心15 min,收集上清液,所有上清液混合后即为烧伤血清,用于1.4.3、1.4.4细胞实验。待小鼠苏醒后,烧伤+rhITF组小鼠灌胃1 mg/kg rhITF,另2组小鼠灌胃等量的生理盐水,每天2次,持续7 d。伤后3、5、7 d,每组各取10只小鼠,颈椎脱臼法处死,迅速切取小肠组织,用于1.3.2~1.3.4检测。
取3组小鼠伤后各时间点的小肠组织,40 g/L多聚甲醛固定,石蜡包埋,切片(厚3~4 μm),HE染色后采用400倍荧光显微镜观察小肠组织病理学变化。
取3组小鼠伤后各时间点的小肠组织50 mg,加入1 mL预冷的PBS匀浆5 min,以离心半径4.8 cm、8 000 r/min离心10 min,收集500 μL上清液,依次加入2 μg/mL辣根过氧化物酶100 μL、500 μg/mL邻联茴香胺100 μL和175 μg/mL尸胺100 μL,充分混合后,在37 ℃下孵育30 min。紫外分光光度计检测436 nm波长处的吸光度值,以此表示DAO活性,操作严格按照试剂盒说明书进行。
取3组小鼠伤后各时间点的小肠组织50 mg,加入1 mL预冷裂解缓冲液匀浆5 min,同1.3.3离心,收集上清液。采用ELISA法检测组织中LDH活性,操作严格按照试剂盒说明书进行。
取人结直肠腺癌细胞株HT-29,于含有体积分数10%胎牛血清、100 μmol/L青霉素、100 μmol/L链霉素的McCoy's5A培养基(以下简称完全培养基)中,于37 ℃、体积分数5%的二氧化碳培养箱中常规培养。当细胞融合率达90%后,弃上清液,PBS洗涤细胞3次,加入2.5 g/L胰蛋白酶1.5 mL进行消化,40倍光学显微镜下观察到细胞滑落,加入培养基终止反应。轻轻吹打细胞使其脱壁并分散,转移至离心管,以离心半径15.8 cm、1 000 r/min离心5 min,弃上清液,重新悬浮细胞沉淀,按细胞浓度5×105个/mL接种于底面积25 cm2的培养瓶。选择折光性好的第2代细胞进行后续实验。
收集对数生长期HT-29细胞,用无血清McCoy's5A培养基稀释,调整细胞悬液浓度为5×105个/mL,接种于9个Transwell细胞培养小室内,每个小室100 μL。将细胞分为阴性对照组、25 μg/mL rhITF组和50 μg/mL rhITF组,每组样本数为3,3组细胞培养板内分别加入600 μL无血清McCoy's5A培养基及含终质量浓度25、50 μg/mL rhITF的无血清McCoy's5A培养基。于37 ℃、体积分数5%二氧化碳培养箱中培养12 h后分别用甲醇固定20 min,1 g/L结晶紫染色15 min,双蒸水洗涤5次后,200倍光学显微镜下任选5个视野计数移行细胞,结果取均值。
另取对数生长期HT-29细胞,同1.4.2处理并接种于9个Transwell细胞培养小室内,分为正常对照组、烧伤血清组、烧伤血清+rhITF组,每组样本数为3,3组细胞培养板内分别加入完全培养基、含体积分数10%烧伤血清McCoy's5A培养基及含体积分数10%烧伤血清和终质量浓度50 μg/mL rhITF的McCoy's5A培养基,同1.4.2观察细胞移行。
另取对数生长期HT-29细胞,同1.4.2调整细胞悬液浓度为5×105个/mL,接种于6个Transwell细胞培养小室内,每个小室100 μL,分为CK869抑制剂组、CK666抑制剂组和溶剂对照组,每组样本数为2。分别加入终物质的量浓度100 μmol/L CK869、CK666及终体积分数1%的二甲基亚砜孵育1 h,同1.4.2处理并观察细胞移行。
另取对数生长期HT-29细胞,以每孔5×105个接种于2个6孔板中,同1.4.3分组及处理,每组2孔,培养24 h后分成2批。取第1批细胞吸弃培养液,加入2 mL 4 ℃预冷的PBS清洗,重复以上操作3次。加入预冷裂解缓冲液,刮下细胞,转入离心管中,4 ℃摇床剧烈振荡10 min。于4 ℃下,以离心半径4.8 cm、14 000 r/min离心15 min,取上清液,为总蛋白提取物,使用二辛丁酸法对蛋白进行定量。取20 μg总蛋白,行SDS-PAGE,采用半干法转膜,用50 g/L脱脂奶粉溶液室温下封闭2~3 h,加入兔抗人AMPK多克隆一抗(稀释比为1∶1 000)、兔抗人p-AMPK多克隆一抗(稀释比为1∶1 000)、兔抗人ARPC1B多克隆一抗(稀释比为1∶1 000)、兔抗人Rac1多克隆一抗(稀释比为1∶1 000)、兔抗小鼠GAPDH单克隆一抗(稀释比为1∶5 000),4 ℃孵育过夜,用TBST洗涤5次,再加入辣根过氧化物酶标记的山羊抗兔IgG多克隆二抗(稀释比为1∶5 000),室温孵育1 h。TBST洗涤5次,化学发光、显影,凝胶成像仪行蛋白条带灰度扫描分析。使用Quantity One 4.6.2软件分析各蛋白的灰度值,结果以目的蛋白和GAPDH灰度值比值表示。本实验重复3次,结果取均值。
取另一批细胞,采用Rac1活化磁珠下拉检测Rac1活性,加入预冷的裂解/洗涤缓冲液500 μL后,刮下细胞,细胞裂解物约550 μL转入1.5 mL离心管中。每0.5 毫升细胞裂解物添加10 μL Rac1检测试剂,于4 ℃孵育45 min。将离心管放在磁力架上,使磁珠沉淀,收集磁珠并洗涤。将磁珠重新悬浮于2倍稀释的还原样品缓冲液中,煮沸5 min。行SDS-PAGE,采用半干法转膜,用50 g/L脱脂奶粉溶液室温下封闭2~3 h,加入兔抗人Rac1多克隆一抗(稀释比为1∶1 000)、兔抗小鼠GAPDH单克隆一抗(稀释比为1∶5 000),4 ℃孵育过夜,用TBST洗涤5次,加入辣根过氧化物酶标记的山羊抗兔IgG多克隆二抗(稀释比为1∶5 000),室温孵育1 h。TBST洗涤5次,化学发光、显影,凝胶成像仪行蛋白条带灰度扫描分析。使用Quantity One 4.6.2软件分析活性Rac1蛋白的灰度值,结果以Rac1与三磷酸鸟苷复合物(GTP-Rac1)和GAPDH灰度值比值表示,本实验重复3次,结果取均值。
采用SPSS 17.0统计软件进行分析,计量资料数据均符合正态分布,以表示,组间总体比较行析因设计方差分析、单因素方差分析,组间两两比较行SNK检验(软件自动略去该统计量值)。P<0.05为差异有统计学意义。
经二辛丁酸法测定及Quantity One软件分析,经3步纯化后每升发酵液获得rhITF 82.35 mg,蛋白纯度高达98%。经蛋白质印迹法鉴定证实,分子量为14×103的目的蛋白具有ITF抗原特异性。见图1。


注:ITF为肠三叶因子,rhITF为重组人ITF
rhITF在胃蛋白酶和胰蛋白酶溶液中较稳定,相同体积的rhITF和胰蛋白酶溶液作用0.5~2.0 h,rhITF残余量逐渐下降,2.0 h后仍有45%残余。相同体积的rhITF和胃蛋白酶溶液作用1.0~4.0 h,rhITF残余量逐渐下降,4.0 h后仍有90%残余。rhITF具有蛋白酶消化抗性和酸碱稳定性,是少数可以通过胃肠途径给药的多肽药物。见图2。


注:rhITF为重组人肠三叶因子
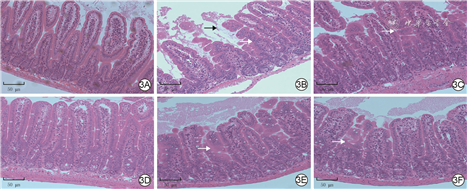
假伤组小鼠伤后各时间点肠黏膜未见充血、水肿。单纯烧伤组小鼠伤后3、5 d肠黏膜受损严重,主要病理表现为肠黏膜充血、水肿、出血,肠上细胞空泡变性,肠绒毛萎缩,肠绒毛高度明显降低,隐窝深度变浅;伤后7 d以肠黏膜充血和水肿为主,未见空泡状萎缩及出血。烧伤+rhITF组小鼠伤后3、5 d肠黏膜主要以充血、水肿为主,肠绒毛高度和隐窝深度维持在正常水平;伤后7 d肠黏膜水肿和充血减轻。见图3。


注:黑色箭头示肠上皮细胞空泡变性、肠绒毛萎缩,白色箭头示肠黏膜充血、水肿
与假伤组比较,单纯烧伤组小鼠伤后3、5、7 d肠组织DAO和LDH活性均显著降低(P<0.01);与单纯烧伤组比较,烧伤+rhITF组小鼠伤后3、5、7 d肠组织DAO和LDH活性均显著升高(P<0.05)。见表1。

假伤组及烧伤2组小鼠伤后各时间点小肠组织二胺氧化酶及乳酸脱氢酶活性比较(U/mg,)
假伤组及烧伤2组小鼠伤后各时间点小肠组织二胺氧化酶及乳酸脱氢酶活性比较(U/mg,)
| 组别与时间点 | 鼠数(只) | 二胺氧化酶 | 乳酸脱氢酶 |
|---|---|---|---|
| 假伤组 | 30 | ||
伤后3 d | 60.7±3.4 | 55.1±1.4 | |
伤后5 d | 63.5±1.4 | 75.7±3.8 | |
伤后7 d | 67.5±5.3 | 62.5±4.2 | |
| 单纯烧伤组 | 30 | ||
伤后3 d | 33.7±4.9a | 10.4±1.6a | |
伤后5 d | 34.9±4.1a | 16.3±2.9a | |
伤后7 d | 43.6±3.6a | 14.9±2.6a | |
| 烧伤+重组人肠三叶因子组 | 30 | ||
伤后3 d | 48.6±2.4b | 34.2±4.1b | |
伤后5 d | 51.2±3.3b | 49.0±2.4b | |
伤后7 d | 55.3±4.0b | 47.2±3.2b | |
| F1值 | 95.39 | 131.80 | |
| P1值 | <0.01 | <0.01 | |
| F2值 | 186.90 | 264.50 | |
| P2值 | <0.01 | <0.01 | |
| F3值 | 22.79 | 70.79 | |
| P3值 | <0.01 | <0.01 |
注:各组各时间点鼠数为10只;二胺氧化酶活性及乳酸脱氢酶活性处理因素主效应,F=256.31、92.45,P<0.01;时间因素主效应,F=88.27、169.80,P<0.01;两者交互作用,F=23.64、45.28,P<0.01;F1值、P1值,F2值、P2值,F3值、P3值分别为3组伤后3、5、7 d各指标总体比较所得;与假伤组比较,aP<0.01;与单纯烧伤组比较,bP<0.05
培养12 h后,阴性对照组、25 μg/mL rhITF组、50 μg/mL rhITF组细胞移行数分别为(16±5)、(58±12)、(123±9)个,组间总体比较,差异明显(F=142.69,P<0.01)。培养12 h后,阴性对照组细胞移行数显著少于25 μg/mL rhITF组(P<0.01),50 μg/mL rhITF组细胞移行数显著多于25 μg/mL rhITF组(P<0.05)。见图4。


培养12 h后,正常对照组、烧伤血清组、烧伤血清+rhITF组细胞移行数分别为(143±11)、(60±13)、(138±8)个,组间总体比较,差异明显(F=114.43,P<0.01);烧伤血清组细胞移行数显著少于正常对照组(P<0.05),烧伤血清+rhITF组细胞移行数显著多于烧伤血清组(P<0.05)。见图5。


培养12 h后,CK666抑制剂组、CK869抑制剂组、溶剂对照组细胞移行数分别为(33±5)、(28±5)、(155±9)个,组间总体比较,差异有统计学意义(F=211.35,P<0.01)。培养12 h后,CK666抑制剂组、CK869抑制剂组细胞移行数显著少于溶剂对照组(P<0.01)。见图6。


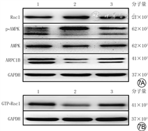
培养24 h后,与正常对照组比较,烧伤血清组细胞AMPK、Rac1蛋白表达量无明显变化(P˃0.05),p-AMPK蛋白表达量显著升高(P<0.01),ARPC1B蛋白表达量显著降低(P<0.05);与烧伤血清组比较,烧伤血清+rhITF组细胞AMPK、Rac1蛋白表达量无明显变化(P>0.05),p-AMPK蛋白表达量显著降低(P<0.05),ARPC1B蛋白表达量显著升高(P<0.05)。培养24 h后,与正常对照组比较,烧伤血清组细胞GTP-Rac1蛋白表达量显著降低(P<0.01),表明烧伤血清组细胞Rac1活性降低;与烧伤血清组比较,烧伤血清+rhITF组细胞GTP-Rac1蛋白表达量显著升高(P<0.05),表明烧伤血清+rhITF组细胞Rac1活性增高。见表2、图7。

3组HT-29细胞培养24 h Rac1-Arp2/3信号通路相关蛋白表达比较()
3组HT-29细胞培养24 h Rac1-Arp2/3信号通路相关蛋白表达比较()
| 组别 | 样本数 | AMPK | p-AMPK | ARPC1B | Rac1 | GTP-Rac1 |
|---|---|---|---|---|---|---|
| 正常对照组 | 6 | 1.000±0.032 | 1.00±0.03 | 1.00±0.04 | 1.00±0.11 | 1.000±0.054 |
| 烧伤血清组 | 6 | 0.962±0.023 | 2.04±0.07a | 0.56±0.03c | 1.17±0.04 | 0.564±0.041a |
| 烧伤血清+重组人肠三叶因子组 | 6 | 1.043±0.021 | 1.51±0.08b | 0.81±0.03b | 1.12±0.03 | 0.831±0.023b |
| F值 | 9.45 | 175.21 | 96.98 | 4.69 | 93.50 | |
| P值 | >0.05 | <0.01 | <0.01 | >0.05 | <0.01 |
注:Rac1为Ras相关C3肉毒杆菌毒素底物1,Arp2/3为肌动蛋白相关蛋白2/3,AMPK为腺苷酸活化蛋白激酶,p-AMPK为磷酸化AMPK,ARPC1B为Arp2/3复合亚基1B,GTP-Rac1为Rac1与三磷酸鸟苷复合物、F值、P值为3组间各指标总体比较所得;与正常对照组比较,aP<0.01,cP<0.05;与烧伤血清组比较,bP<0.05


注:1.正常对照组,2.烧伤血清组,3.烧伤血清+重组人肠三叶因子组;Rac1为Ras相关C3肉毒杆菌毒素底物1,Arp2/3为肌动蛋白相关蛋白2/3,AMPK为腺苷酸活化蛋白激酶,p-AMPK为磷酸化AMPK,ARPC1B为Arp2/3复合亚基1B,GAPDH为3-磷酸甘油醛脱氢酶,GTP-Rac1为Rac1与三磷酸鸟苷复合物
研究表明,严重烧伤可导致小鼠肠黏膜结构明显受损,主要的病理表现为肠黏膜充血、水肿、萎缩,肠绒毛塌陷。与之对应,肠黏膜中一些酶的活性也发生明显改变。文献报道,DAO和LDH在肠组织和血浆中的活性呈负相关[4, 5],正常小鼠肠黏膜中具有较高活性的DAO和LDH,肠黏膜受损时二者释放入血,导致血浆DAO和LDH活性增加,而肠组织中的DAO和LDH活性下降,与本研究结果中单纯烧伤组小鼠伤后各时间点DAO和LDH活性明显低于假伤组相符。ITF作为胃肠道保护因子,在肠道的损伤修复过程中发挥重要作用。本研究结果显示,给予烧伤小鼠1 mg/kg rhITF能显著提高肠黏膜DAO和LDH活性,提示通过改进重组表达和纯化工艺获取的rhITF具有较强的生物活性,能有效减轻烧伤导致的肠道损伤。本课题组前期对ITF减轻肠黏膜损伤的机制已进行了相关研究,观察到ITF能明显改善烧伤小鼠肠道血流灌流情况,并能有效维护肠稳定,减轻烧伤后肠黏膜损伤[6]。本研究通过胃肠道给予rhITF,再次证实ITF具有减轻烧伤后肠黏膜损伤的作用,但其促进受损黏膜修复的机制尚存争议。有文献报道,ITF主要通过促进细胞增殖以修复受损肠黏膜[7]。而最新研究表明,ITF促进肠黏膜修复主要依靠促进细胞移行[8]。本课题组以往的研究证实,促进细胞移行是ITF发挥其生物活性的关键[9],但其促进细胞移行的机制尚不甚清楚,这也是本研究关注的核心问题。本研究结果显示,rhITF通过改变肠上皮细胞形态,增加穿过微孔的细胞数量,从而促进细胞移行,且细胞移行呈现出浓度依赖效应。有文献报道,ITF可以诱导HT-29细胞的β连环蛋白和EGF受体的酪氨酸磷酸化,导致细胞间粘连的破坏,使细胞分离,从而增加HT-29细胞的移行能力[10]。本研究结果表明,烧伤血清组细胞移行数显著少于烧伤血清+rhITF组,表明rhITF能够促进烧伤后肠上皮细胞移行。
细胞伪足形成和尾部回缩是细胞移行的关键步骤,伪足形成依赖细胞黏附和骨架的改变,尤其是肌动蛋白在其中发挥核心作用[11, 12]。新近研究表明,Arp2/3在调控细胞移行中发挥关键作用[13, 14]。本研究结果显示,抑制Arp2/3复合物活性导致细胞移行受阻,说明Arp2/3复合物在调控细胞移行中发挥重要作用。文献报道,Rac1是调控肌动蛋白功能的关键分子,一旦Rac1被激活,可导致其下游蛋白Arp2/3复合物的激活[15, 16]。ARPC1B是组装和维持Arp2/3复合物结构的关键因素,其蛋白合成减少表明Arp2/3复合物活性下降。本研究显示,经烧伤血清处理后细胞内Rac1活性及ARPC1B蛋白表达较正常对照细胞明显降低,而经烧伤血清+50 μg/mL rhITF处理后,二者均明显增加,提示rhITF能调控Rac1-Arp2/3通路促进肠上皮细胞移行,但其机制尚未见报道,本研究团队推测可能与AMPK的参与有关。AMPK能感受细胞能量状态,通过调控细胞代谢影响细胞移行[17, 18],其作用机制为调控肌动蛋白活性,加速细胞骨架重排[19]。另有文献报道,AMPK通过导致其底物PDZ和LIM结构域蛋白5(Pdlim5)的丝氨酸177位点磷酸化,干扰Pdlim5与Rho蛋白结合从而抑制Rac1活性[20]。本研究结果表明,烧伤血清组细胞AMPK磷酸化水平较正常对照组显著增高,导致Rac1活性下降,引起ARPC1B蛋白表达降低,从而干扰细胞移行。烧伤血清+rhITF组细胞AMPK磷酸化水平较烧伤血清组明显降低,导致Rac1活性升高,引起ARPC1B蛋白表达升高,从而促进细胞移行,其机制与ITF改善细胞能量代谢,促进ATP合成有关[6]。本课题组推测细胞内较高的ATP水平可抑制AMPK激活,改善Rac1活性受抑的程度,促进Arp2/3复合物表达,从而加速肠上皮细胞移行,加快受损黏膜修复。
ITF作为一个具有广泛应用前景的药物前体备受关注,为获取高纯度、具有生物活性的ITF,本课题组根据其特点选择了金属螯合亲和及离子交换层析这2种广泛应用于重组蛋白分离的层析方法。以经典的纯化三步曲(快速捕获、中度纯化、精细纯化)将上述层析方法进行合理组合与优化,通过摸索填料种类、缓冲液pH值及洗脱梯度等因素,优化了ITF蛋白纯化条件,最后确定了一个可实现线性放大的生产工艺。本研究结果表明经过3步分离即可获得纯度高达98%的目的蛋白,并观察到该蛋白在胃肠环境中具有很高的稳定性,为后续的药物研发提供了实验依据。
综上,本研究获得的高纯度、高稳定性并具有生物学活性的rhITF能显著减轻小鼠烧伤后肠黏膜屏障受损程度,并能通过抑制AMPK磷酸化,维持Rac1-Arp2/3活性,促进肠上皮细胞移行,加快受损黏膜修复,维护肠道完整性。
所有作者均声明不存在利益冲突





















