
探讨白细胞介素4修饰的金纳米酶颗粒(IL-4-AuNP)对糖尿病小鼠全层皮肤缺损创面愈合的作用及其机制。
采用实验研究方法。改进文献中的方法合成金纳米酶颗粒(AuNP)及IL-4-AuNP,采用透射电子显微镜拍摄2种颗粒形貌并计算其粒径,采用纳米粒度电位仪和粒度分析仪分别检测2种颗粒的表面电位和水合粒径。采用过氧化氢检测试剂盒和超氧阴离子检测试剂盒检测IL-4-AuNP的过氧化氢清除率和超氧阴离子清除率。取小鼠成纤维细胞系3T3细胞,采用随机数字表法(下同)将其分为空白对照组、仅使用过氧化氢处理的单纯过氧化氢组、先使用IL-4-AuNP处理0.5 h再使用过氧化氢处理的过氧化氢+IL-4-AuNP组,培养24 h后,采用免疫荧光法检测细胞活性氧水平,采用细胞计数试剂盒8检测细胞相对存活率。取Raw264.7小鼠巨噬细胞,将其分为空白对照组和用IL-4-AuNP处理的IL-4-AuNP组,培养24 h后,采用免疫荧光法观测细胞中精氨酸酶1(Arg-1)的表达。取12只8~10周龄雄性BALB/c小鼠(小鼠周龄、性别、品系下同),分为IL-4-AuNP组和空白对照组,分别作相应处理。在分组处理第16天,采集小鼠全血分析全血中白细胞计数(WBC)、红细胞计数(RBC)、血红蛋白水平与血小板计数和天冬氨酸转氨酶(AST)、丙氨酸转氨酶(ALT)、尿素与肌酐水平;采用苏木精-伊红(HE)染色观察小鼠心、肝、脾、肺和肾组织的炎症、出血或坏死情况。另取36只鼠,制作糖尿病模型后,在其背部制作全层皮肤缺损创面,将创面分为空白对照组、单纯AuNP组和IL-4-AuNP组,每组12只鼠,分别进行相应处理。于分组处理第0(即刻)、4、9、15天,观察创面情况并计算创面面积。分组处理第9天,采用HE染色检测创面中新生上皮长度和肉芽组织厚度。分组处理第15天,采用免疫荧光法检测创面组织中活性氧水平及Arg-1阳性细胞数。样本数均为6。对数据行独立样本t检验、校正t检验、Tukey检验或Dunnett T3检验。
AuNP及IL-4-AuNP大小均匀,其粒径、表面电位、水合粒径分别为(13.0±2.1)、(13.9±2.5)nm及(-45.8±3.2)、(-20.3±2.2)mV与(14±3)、(16±4)nm。IL-4-AuNP的过氧化氢清除率和超氧阴离子清除率分别为(69±4)%和(52±5)%。分组培养24 h后,单纯过氧化氢组3T3细胞活性氧水平明显高于空白对照组(q=26.12,P<0.05);过氧化氢+IL-4-AuNP组细胞活性氧水平明显低于单纯过氧化氢组(q=25.12,P<0.05),而与空白对照组接近(P>0.05)。分组培养24 h后,过氧化氢+IL-4-AuNP组3T3细胞相对存活率明显高于单纯过氧化氢组(t=51.44,P<0.05)。分组培养24 h后,IL-4-AuNP组Raw264.7细胞Arg-1的表达明显高于空白对照组(t'=8.83,P<0.05)。分组处理第16天,空白对照组和IL-4-AuNP组小鼠的WBC、RBC、血红蛋白水平与血小板计数和AST、ALT、尿素与肌酐水平比较差异均无统计学意义(P>0.05);IL-4-AuNP组小鼠的心、肝、脾、肺、肾等重要脏器中均未观察到明显的炎症、出血或坏死,与空白对照组相比,无明显变化。分组处理第0、4天,空白对照组、单纯AuNP组和IL-4-AuNP组糖尿病小鼠创面面积比较差异均无统计学意义(P>0.05)。分组处理第9天,单纯AuNP组和IL-4-AuNP组创面面积均明显小于空白对照组(q值分别为9.45、14.87,P<0.05),IL-4-AuNP组创面面积显著小于单纯AuNP组(q=5.42,P<0.05)。分组处理第15天,单纯AuNP组和IL-4-AuNP组创面面积均明显小于空白对照组(q值分别为4.84、20.64,P<0.05),IL-4-AuNP组创面面积显著小于单纯AuNP组(q=15.80,P<0.05);且IL-4-AuNP组创面部位红、肿等炎症反应较其他2组明显减轻。分组处理第9天,相比于空白对照组和单纯AuNP组,IL-4-AuNP组糖尿病小鼠创面中新生上皮长度明显更长(P值均<0.05),创面中的肉芽组织厚度显著增厚(q值分别为11.33、9.65,P值均<0.05)。分组处理第15天,相比于空白对照组,单纯AuNP组和IL-4-AuNP组糖尿病小鼠创面组织的活性氧水平均明显降低(P<0.05)。分组处理第15天,IL-4-AuNP组糖尿病小鼠创面中Arg-1阳性的细胞数显著多于空白对照组和单纯AuNP组(P值均<0.05)。
IL-4-AuNP在体使用安全,可以通过清除活性氧改善氧化微环境和诱导巨噬细胞向M2表型极化,促进糖尿病小鼠全层皮肤缺损创面高效愈合与修复再生。
版权归中华医学会所有。
未经授权,不得转载、摘编本刊文章,不得使用本刊的版式设计。
除非特别声明,本刊刊出的所有文章不代表中华医学会和本刊编委会的观点。
国际糖尿病联盟(International Diabetes Federation,IDF)最新发布的第9版全球糖尿病地图显示,全球患糖尿病人数不断上升。目前我国糖尿病人数达1.164亿,是全球糖尿病人数最多的国家[1]。创面愈合不良是糖尿病患者最常见的并发症之一[2],具有较高的发病率和复发率,是全球范围内非创伤性截肢的主要原因[3, 4],严重影响糖尿病患者的生活质量,也给国家和社会带来巨大的经济负担[2,5, 6, 7, 8]。因此如何促进糖尿病创面愈合是亟待解决的重要临床问题[9]。
一方面,有证据表明糖尿病创面愈合不良与免疫细胞功能失调相关[10]。在糖尿病状态下,巨噬细胞难以向具有抗炎促修复作用的M2表型极化,创面未能从炎症阶段过渡到增殖阶段,损伤组织进入持续的慢性炎症状态,从而导致预后不良[11]。因此调节糖尿病创面中巨噬细胞向M2表型转化的治疗策略开始受到关注[12, 13, 14]。另一方面,氧化应激过度也是糖尿病创面发生、发展的重要因素[15]。过度的氧化应激会使微环境中存在大量活性氧,持续损伤创面组织结构,抑制各种生长因子功能,导致组织再生能力减弱,创面进入慢性炎症状态而迁延不愈[16, 17]。基于上述2个关键点,本研究首先制备了IL-4修饰的金纳米酶颗粒(IL-4-AuNP),通过金纳米酶[18]清除活性氧以构建良好的微环境,同时通过IL-4发挥诱导巨噬细胞向M2表型极化的功能,然后将IL-4-AuNP应用于糖尿病小鼠全层皮肤缺损创面,探究其对难愈性糖尿病创面愈合的作用及机制。
本研究中的动物实验程序由陆军军医大学(第三军医大学)实验动物伦理审查委员会批准(批号:AMUWEC2020876),并按照国家有关实验动物管理使用规定和《实验动物管理与使用指南》进行。
48只健康无特殊病原体级8~10周龄雄性BALB/c小鼠(体重20~25 g)购自陆军军医大学实验动物中心,许可证号:SCXK(军)2017-0024。柠檬酸钠、四氯金酸、二氢乙锭活性氧红色荧光探针、链脲佐菌素购自美国Sigma公司,IL-4粉剂购自美国RD公司,2,7-二氯荧光素二乙酸酯(DCFH-DA)活性氧绿色荧光探针和含4′,6-二脒基-2-苯基吲哚(DAPI)的抗荧光淬灭封片液购自上海碧云天生物技术有限公司,过氧化氢检测试剂盒和超氧阴离子检测试剂盒购自南京建成生物工程研究所有限公司,细胞计数试剂盒8(CCK-8)购自美国MCE公司,兔抗小鼠精氨酸酶1(Arg-1,巨噬细胞M2表型标志物)多克隆抗体购自美国eBioscience公司,Alexa Fluor 594标记的山羊抗兔IgG多克隆抗体购自美国Thermo Fisher公司,DMEM高糖培养基购自美国HyClone公司,高糖高脂饲料购自美国Research Diet公司,无菌手术敷贴购自美国3M公司,小鼠Fb系3T3细胞株和Raw264.7小鼠巨噬细胞株购自美国典型培养物保藏中心。M2e型多波长酶标仪购自美国Molecular Device公司,H-7650型透射电子显微镜购自日本日立公司,BX53F型荧光显微镜购自日本Olympus公司,LSM 780型激光扫描共聚焦显微镜购自德国Zeiss公司,马尔文Zetasizer Nano ZSP型纳米粒度电位仪和2000型动态光散射粒度分析仪购自英国马尔文仪器有限公司。
根据文献[19, 20, 21]的方法改进并合成金纳米酶颗粒(AuNP),将柠檬酸钠(2 mL,38.8 mmol/L)添加到沸腾的四氯金酸溶液(20 mL,1.0 mmol/L)中,将混合液搅拌、煮沸10 min后,再搅拌、冷却15 min至室温,16 000×g离心30 min去除团聚颗粒,透析2 d后收集AuNP,置于室温保存备用。将IL-4粉剂溶解在超纯水中制备母液并分装储存于-20 ℃。将IL-4溶液和AuNP混合使得IL-4终质量浓度为100 ng/mL,金纳米酶终物质的量浓度为11 nmol/L,于4 ℃轻摇(30 r/min)过夜。之后以16 000×g于4 ℃离心30 min,弃去上清液,下层沉淀物即为IL-4-AuNP。用55 mL双蒸水重新悬浮并制备10 nmol/L的IL-4-AuNP溶液(以金纳米酶物质的量浓度为标准来表示IL-4-AuNP),置于4 ℃保存备用。将AuNP溶液和IL-4-AuNP溶液滴加到有无定形碳膜的230目铜网上,于25 000倍透射电子显微镜下拍摄2种颗粒形貌并计算其粒径。采用纳米粒度电位仪和动态光散射粒度分析仪分别检测2种颗粒的表面电位和水合粒径。
过氧化氢清除性能检测:配制2 mmol/L的过氧化氢溶液0.5 mL,加入10 nmol/L的IL-4-AuNP 0.5 mL,置于37 ℃环境下孵育2 h,参照说明书测定过氧化氢残留量,过氧化氢清除率=(1-残留过氧化氢物质的量浓度÷初始过氧化氢物质的量浓度)×100%。
超氧阴离子清除性能检测:根据说明书配制试剂盒响应的工作液1.3 mL,将1.2中制备的IL-4-AuNP溶液0.05 mL加入工作液中于37 ℃环境下孵育40 min,加入显色剂2 mL混匀后室温静置10 min,利用酶标仪检测550 nm波长处吸光度值并计算超氧阴离子清除率。超氧阴离子清除率=(1-IL-4-AuNP处理的工作液吸光度数值÷未经IL-4-AuNP处理的工作液吸光度数值)×100%。
将3T3细胞按每孔1×105个的密度接种到12孔板中,用含有体积分数10%胎牛血清的DMEM高糖培养基常规培养24 h。然后采用随机数字表法(下同)将其分为不进行任何处理的空白对照组(下同)、仅使用终物质的量浓度为250 μmol/L过氧化氢处理的单纯过氧化氢组、先使用终物质的量浓度为2 nmol/L IL-4-AuNP处理0.5 h再使用终物质的量浓度为250 μmol/L过氧化氢处理的过氧化氢+IL-4-AuNP组。常规培养24 h后,将终物质的量浓度为10 μmol/L的DCFH-DA活性氧绿色荧光探针加入细胞培养液中,37 ℃避光孵育0.5 h,用无血清DMEM高糖培养基清洗细胞3次,于200倍荧光显微镜下观察各组细胞绿色荧光强度,反映细胞内活性氧水平[22]。
将3T3细胞按每孔1×104个的密度接种到96孔板中,同前进行分组、处理,然后采用CCK-8及酶标仪检测细胞450 nm波长处吸光度值,并计算细胞相对存活率。以空白对照组的吸光度值为参照(存活率为100%),其余2组细胞的吸光度值与其比值表示细胞的相对存活率。
将Raw264.7细胞按照每孔5×105个的密度接种到12孔板中,用含有体积分数10%胎牛血清的DMEM高糖培养基常规培养24 h。然后将其分为空白对照组和用终物质的量浓度2 nmol/L的IL-4-AuNP处理的IL-4-AuNP组。常规培养24 h后,进行免疫荧光染色[23],其中一抗为兔抗小鼠Arg-1多克隆抗体,二抗为Alexa Fluor 594标记的山羊抗兔IgG多克隆抗体,稀释比均为1∶1 000。采用含DAPI的抗荧光淬灭封片液封片后于600倍的激光扫描共聚焦显微镜下观察细胞中Arg-1的表达(阳性表达为红色)情况并计算表达量。
取12只小鼠,分为按照0.4 nmol/kg经尾静脉注射终物质的量浓度为50 nmol/L IL-4-AuNP的IL-4-AuNP组和注射相同体积PBS的空白对照组,每组6只。每天注射1次,连续注射15 d。在第16天,按照50 mg/kg经腹腔注射10 g/L的戊巴比妥将小鼠麻醉后,采用腹腔静脉采血法收集小鼠全血,每只取0.5 mL。分析全血中白细胞计数(WBC)、红细胞计数(RBC)、血红蛋白水平以及血小板计数(PLT)等血常规项目和AST、ALT、尿素以及肌酐水平等血生化指标。脱颈处死小鼠后取心、肝、脾、肺和肾等主要脏器,经多聚甲醛固定、石蜡包埋、切片后行常规HE染色观察组织炎症、出血或坏死情况。
另取36只小鼠,按照50 mg/kg的剂量经腹腔注射10 g/L链脲佐菌素[24],每天1次,连续注射5 d,同时给予高糖高脂饲料喂养。每天测定小鼠血糖浓度,当其≥16.7 mmol/L后再继续给予高糖高脂饲料喂养2周。使用直径6 mm的皮肤打孔器在每只小鼠背部制作1个全层皮肤缺损创面,将创面分为空白对照组、单纯AuNP组和IL-4-AuNP组,每组12只鼠,对其创面分别滴加20 μL的无菌PBS溶液、终物质的量浓度10 nmol/L AuNP及终物质的量浓度10 nmol/L的IL-4-AuNP,然后用无菌透明敷贴将创面覆盖,每天换药,于分组处理第0(即刻)、4、9、15天,拍照观察创面情况并用Image J软件(美国国立卫生研究院)计算创面面积。分组处理第9天,于观察结束后每组取6只小鼠同1.6处死后制作石蜡切片并进行常规HE染色,分析新生上皮长度和肉芽组织厚度。分组处理第15天,于观察结束后将剩下的每组6只鼠同前处死,取创面组织。每块组织均分为2份,一份用组织冰冻切片包埋剂制作冰冻切片用于后续活性氧水平检测,另一份同前制作石蜡切片用于后续免疫荧光染色。
取1.7.1中的冰冻切片,PBS洗涤3次后,用二氢乙锭活性氧红色荧光探针进行染色,用含DAPI抗荧光淬灭封片液封片,于400倍激光扫描共聚焦显微镜下观察,红色荧光强弱反映创面组织中活性氧水平高低。
取1.7.1中制备的石蜡切片进行免疫荧光染色[23],其中一抗为兔抗小鼠Arg-1多克隆抗体,二抗为Alexa Fluor 594标记的山羊抗兔IgG多克隆抗体,稀释比均为1∶1 000。用含DAPI的抗荧光淬灭封片液封片,于200倍激光扫描共聚焦显微镜下观察Arg-1阳性细胞(红色)的数量。
以上实验样本数均为6。
采用SPSS 18.0软件进行统计学分析。计量资料数据均符合正态分布,以表示,2组间比较行独立样本t检验(方差齐)或校正t检验(方差不齐);2组以上组间总体比较行单因素方差分析,两两比较采用Tukey检验(方差齐)或Dunnett T3检验(方差不齐,软件自动略去该统计量值)。P<0.05为差异有统计学意义。
AuNP及IL-4-AuNP大小均匀,粒径分别为(13.0±2.1)、(13.9±2.5)nm,见图1。AuNP表面电位为(-45.8±3.2)mV,水合粒径为(14±3)nm;IL-4-AuNP表面电位为(-20.3±2.2)mV,水合粒径为(16±4)nm。


IL-4-AuNP的过氧化氢清除率和超氧阴离子清除率分别为(69±4)%和(52±5)%。
分组培养24 h后,空白对照组、单纯过氧化氢组、过氧化氢+IL-4-AuNP组细胞活性氧水平分别为9.0±2.3、59.7±7.6、11.0±2.2,组间总体比较,差异有统计学意义(F=219.08,P<0.001)。单纯过氧化氢组细胞活性氧水平明显高于空白对照组(q=26.12,P<0.001);过氧化氢+IL-4-AuNP组细胞活性氧水平明显低于单纯过氧化氢组(q=25.12,P<0.001),与空白对照组接近(q=1.01,P=0.761)。见图2。


注:绿色荧光反映细胞活性氧水平,且呈正相关
分组培养24 h后,过氧化氢+IL-4-AuNP组的细胞相对存活率为(95.8±1.2)%,明显高于单纯过氧化氢组的(52.1±1.7)%(t=51.44,P<0.001)。
分组培养24 h后,IL-4-AuNP组Raw264.7细胞Arg-1的表达为42.3±8.7,明显高于空白对照组的10.0±2.3(t'=8.83,P<0.001)。见图3。


注:精氨酸酶1阳性染色为红色,细胞核阳性染色为蓝色
分组处理第16天,空白对照组和IL-4-AuNP组小鼠的WBC、RBC、PLT及血红蛋白水平等血常规指标和AST、ALT、尿素及肌酐等血生化指标比较差异均无统计学意义(P>0.05),见表1。IL-4-AuNP组小鼠的心、肝、脾、肺、肾等重要脏器中均未观察到明显的炎症、出血或坏死,与空白对照组相比,无明显变化,见图4。

空白对照组和IL-4-AuNP组小鼠分组处理第16天血常规及血生化主要指标比较()
空白对照组和IL-4-AuNP组小鼠分组处理第16天血常规及血生化主要指标比较()
| 组别 | 鼠数(只) | WBC (×109/L) | RBC (×1012/L) | 血红蛋白水平 (×102 g/L) | PLT (×1011/L) | ALT (U/L) | AST (U/L) | 尿素 (mmol/L) | 肌酐 (μmol/L) |
|---|---|---|---|---|---|---|---|---|---|
| 空白对照组 | 6 | 8.6±1.2 | 8.5±0.4 | 1.45±0.12 | 8.4±0.6 | 37±12 | 101±15 | 8.3±0.7 | 13.7±1.9 |
| IL-4-AuNP组 | 6 | 8.9±1.0 | 8.7±0.5 | 1.49±0.18 | 8.6±0.7 | 33±7 | 103±11 | 8.4±0.9 | 13.3±2.1 |
| t值 | 0.41 | 0.62 | 0.63 | 0.35 | 0.70 | 0.22 | 0.06 | 0.30 | |
| P值 | 0.688 | 0.551 | 0.543 | 0.736 | 0.506 | 0.834 | 0.952 | 0.775 |
注:IL-4-AuNP为白细胞介素4修饰的金纳米酶颗粒;WBC为白细胞计数,RBC为红细胞计数,PLT为血小板计数,ALT为丙氨酸转氨酶,AST为天冬氨酸转氨酶


分组处理第0、4天,空白对照组、单纯AuNP组和IL-4-AuNP组糖尿病小鼠创面面积比较差异均无统计学意义(P>0.05)。分组处理第9天,单纯AuNP组和IL-4-AuNP组创面面积均明显小于空白对照组(q值分别为9.45、14.87,P<0.001),IL-4-AuNP组创面面积显著小于单纯AuNP组(q=5.42,P=0.004)。分组处理第15天,单纯AuNP组和IL-4-AuNP组创面面积均明显小于空白对照组(q值分别为4.84、20.64,P值分别为0.010、<0.001),IL-4-AuNP组创面面积显著小于单纯AuNP组(q=15.80,P<0.001);且IL-4-AuNP组创面部位红、肿等炎症反应较其他2组明显减轻。见图5、表2。


注:图中黑色卡片为参照圆片,直径为6 mm

3组糖尿病小鼠分组处理不同时间点全层皮肤缺损未愈合面积比较(mm2,)
3组糖尿病小鼠分组处理不同时间点全层皮肤缺损未愈合面积比较(mm2,)
| 组别 | 鼠数(只) | 0 d | 4 d | 9 d | 15 d |
|---|---|---|---|---|---|
| 空白对照组 | 6 | 43.3±3.5 | 41.2±2.8 | 39.3±3.2 | 25.3±2.5 |
| 单纯AuNP组 | 6 | 44.1±3.9 | 41.1±2.8 | 29.9±2.0a | 21.3±2.1a |
| IL-4-AuNP组 | 6 | 44.7±3.4 | 40.9±2.3 | 24.4±2.0ab | 8.3±1.2ab |
| F值 | 0.23 | 0.02 | 56.61 | 116.48 | |
| P值 | 0.800 | 0.983 | <0.001 | <0.001 |
注:AuNP为金纳米酶颗粒;IL-4为白细胞介素4;处理因素主效应,F=15.03,P<0.001;时间因素主效应,F=1 143.93,P<0.001;二者交互作用,F=72.16,P<0.001;与空白对照组相比,aP<0.05;与单纯AuNP组相比,bP<0.05
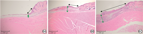
分组处理第9天,空白对照组、单纯AuNP组、IL-4-AuNP组糖尿病小鼠创面中新生上皮长度分别为(278±45)、(371±115)、(768±275)μm,组间总体比较,差异有统计学意义(F=13.40,P<0.001)。相比于空白对照组和单纯AuNP组,IL-4-AuNP组创面中新生上皮长度明显更长(P值分别为0.018、0.040)。分组处理第9天,空白对照组、单纯AuNP组、IL-4-AuNP组创面中肉芽组织厚度分别为(281±84)、(348±47)、(731±138)μm,组间总体比较,差异有统计学意义(F=37.40,P<0.001)。相比于空白对照组和单纯AuNP组,IL-4-AuNP组创面中的肉芽组织厚度显著增厚(q值分别为11.33、9.65,P值均<0.001)。见图6。


注:图中黑色双向箭头长度指示新生上皮长度,绿色双向箭头长度指示肉芽组织厚度
分组处理第15天,空白对照组、单纯AuNP组、IL-4-AuNP组糖尿病小鼠创面组织中活性氧水平分别为44.2±7.2、11.1±1.7、10.9±2.0,组间总体比较,差异有统计学意义(F=111.05,P<0.001)。相比于空白对照组,单纯AuNP组和IL-4-AuNP组创面组织的活性氧水平均明显降低(P<0.001)。见图7。


注:二氢乙锭荧光探针阳性染色为红色,反映活性氧水平,且呈正相关;细胞核阳性染色为蓝色
分组处理第15天,200倍镜下的视野中空白对照组、单纯AuNP组、IL-4-AuNP组糖尿病小鼠创面中Arg-1阳性的细胞数分别为(7.2±2.6)、(7.3±1.9)、(37.8±17.9)个,组间总体比较,差异有统计学意义(F=16.96,P<0.001)。相比于空白对照组和单纯AuNP组,IL-4-AuNP组创面中Arg-1阳性的细胞显著增多(P值分别为0.022、0.023)。见图8。


注:精氨酸酶1阳性染色为红色,细胞核阳性染色为蓝色
本研究制备的IL-4-AuNP,最终粒径为13.0~14.0 nm,纳米颗粒大小均匀,性质稳定不易聚团,粒径小易代谢,与机体生物相容性好,安全性高;IL-4-AuNP在体外能高效清除过氧化氢和阴离子,即活性氧清除能力强。经IL-4-AuNP处理的3T3细胞活性氧水平与空白对照组相当,显著低于仅用过氧化氢刺激组,说明IL-4-AuNP可以有效清除细胞内高水平的活性氧;进一步的CCK-8检测显示,IL-4-AuNP处理后细胞存活率显著上升,提示IL-4-AuNP可以通过对活性氧的高效清除来抑制活性氧介导的细胞损伤。此外,IL-4-AuNP可以显著提高巨噬细胞中Arg-1表达量,提示巨噬细胞向M2表型极化。细胞实验中高效清除活性氧和促进巨噬细胞向M2表型极化的效果为IL-4-AuNP后续在动物创面模型中的应用提供了依据。
接下来,本研究向小鼠尾静脉连续注射大剂量IL-4-AuNP溶液持续15 d以验证其在体生物安全性,结果未见明显的毒性反应,说明IL-4-AuNP具有良好的生物相容性。在后续动物实验中,经IL-4-AuNP治疗的糖尿病小鼠,创面愈合速度、炎症反应、新生上皮长度以及肉芽组织厚度等指标均明显优于空白对照组,说明IL-4-AuNP可以促进糖尿病创面愈合。进一步组织检测显示IL-4-AuNP组的创面中活性氧水平显著低于空白对照组,说明IL-4-AuNP可以有效清除糖尿病小鼠创面过多的活性氧。糖尿病创面为过度氧化应激的微环境[15],活性氧的过量积累会导致促创面修复物质快速分解和失活,从而降低创面愈合效率[25]。因此在本研究体系中,IL-4-AuNP纠正了过度氧化应激环境,为M2型巨噬细胞发挥促创面修复作用提供了优渥的“土壤”。
进一步组织切片免疫荧光染色结果显示,IL-4-AuNP组小鼠创面中的Arg-1阳性细胞数显著增多,说明IL-4-AuNP促进巨噬细胞向抗炎、促修复的M2表型极化。近年来免疫细胞在糖尿病创面发生发展中的作用越来越受到重视[26],其中巨噬细胞在皮肤组织受损后的局部免疫反应中发挥重要作用。巨噬细胞可以响应创面微环境的变化从而调整其表型,同时分泌多种不同的生长因子和蛋白酶等物质协调组织修复,在创面愈合不同阶段的进展中起主导作用[27]。本研究中的创面修复结果显示,糖尿病创面部位巨噬细胞的M2型极化有利于组织再生修复,与文献报道[12, 13, 14]相互印证。
金纳米酶与生物酶相比,具有合成简单、可调控性好、生物相容性好和成本低等优点,是生物医学或生物化学应用的理想选择[28]。本研究采取“土壤(金纳米酶)+种子(IL-4)”的策略[16],设计并构建了IL-4-AuNP复合材料。利用金纳米酶的活性氧清除能力[29],降低创面中氧化应激水平,纠正恶性的氧化微环境,为组织再生修复创造良好的环境和条件,提高组织再生能力,是为“土壤”;同时利用IL-4诱导创面巨噬细胞向抗炎促修复的M2表型极化[30],播下再生的“种子”。氧化微环境与免疫共同调节,二者形成正反馈放大效应,进一步加速创面愈合,促进组织修复与再生,有望成为未来难愈性创面治疗的新策略。
姚梦云, 张宁, 张庆, 等. 白细胞介素4修饰的金纳米酶对糖尿病小鼠全层皮肤缺损的作用[J]. 中华烧伤与创面修复杂志, 2023, 39(1): 15-24. DOI: 10.3760/cma.j.cn501225-20220630-00275.
Yao MY, Zhang N, Zhang Q, et al.Effects of interleukin-4-modified gold nanozymes on the full-thickness skin defects in diabetic mice[J].Chin J Burns Wounds, 2023, 39(1):15-24.DOI: 10.3760/cma.j.cn501225-20220630-00275.
所有作者均声明不存在利益冲突






















(1)证实IL-4修饰的金纳米酶颗粒(IL-4-AuNP)可以通过高效清除活性氧抑制其介导的细胞损伤。
(2)证实IL-4-AuNP可以显著提高Raw264.7小鼠巨噬细胞精氨酸酶1的表达,即促进巨噬细胞向M2表型极化。
(3)证实IL-4-AuNP采用了“土壤(金纳米酶)+种子(IL-4)”的策略,通过调控氧化应激环境和巨噬细胞表型促进糖尿病小鼠全层皮肤缺损创面的愈合。