
版权归中华医学会所有。
未经授权,不得转载、摘编本刊文章,不得使用本刊的版式设计。
除非特别声明,本刊刊出的所有文章不代表中华医学会和本刊编委会的观点。
29岁,G2P0,因"妊娠20周,本人染色体异常"就诊于我院产前诊断中心。孕妇首次妊娠时因胎儿畸形选择引产,外院检查外周血染色体为8号染色体三体嵌合47,XX,+8[80]/46,XX[20],复查仍提示为8号三体嵌合。血常规及骨髓活检等结果未见明显异常。孕妇身高162 cm,体重70 kg,平素月经规律,否认遗传病家族史。在完善相关检查、签署知情同意书后,于妊娠24周在B超引导下行羊膜腔穿刺术。抽取羊水20 mL,其中15 mL用于细胞培养,检查胎儿染色体核型,5 mL羊水进行染色体微阵列(chromosomal microarray analysis, CMA)检测。同时抽取孕妇外周血1 mL(肝素抗凝),再次分析其染色体核型。
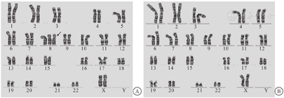
细胞遗传学检查:按我室常规方法培养、制片和分析,孕妇外周血染色体核型为47,XX,+8[31]/46,XX[19](图1A)。胎儿染色体核型未见异常,为46,XX(图1B)。


CMA检测:采用美国Affymetrix公司的Affymetrix CytoScan 750K Array基因芯片检测,操作规程严格按照说明书进行,结果显示胎儿未携带基因组拷贝数变异。
随访:孕妇足月顺产一女婴,体重3700 g,Apgar评分10分。追踪至出生后两年,智力及运动功能发育均未见异常。
8-三体综合征又称Warkany综合征(Warkany syndrome),是Grouchy于1971年首次报道一种少见的常染色体三体。游离型8-三体通常为致死性,占自然流产的0.7%~0.8%[1]。嵌合8-三体是一种罕见的可存活的疾病,发病率约为1/50 000~1/25 000,男女之比为5∶1[2]。8-三体嵌合患者表型多样,从轻度畸形到严重畸形不等,影响多个系统,包括中枢神经、眼睛、心脏、胃肠、泌尿生殖系统和肌肉骨骼等,足底深折痕是该病的重要特征[3]。除此之外,患者发生白血病和骨髓增生异常综合征的风险也增加。文献表明8-三体嵌合患者的异常与嵌合程度无关,少量三体细胞的患者可能表现出严重的表型,确切机制尚不清楚。本文中孕妇表型未见明显异常,因妊娠拒绝做进一步全身体格检查,所以未能发现与8-三体相关的一些微小的临床症状,生殖腺或其它组织中的嵌合水平上因妊娠也未做进一步研究。
由于已报道的8-三体嵌合患者大多为新生儿或儿童,因此对患者的生育能力或生殖能力知之甚少。查阅相关文献[3],男性患者通常无法生育,表型和发育正常或有轻微异常的女性患者有流产史。但关于8-三体嵌合患者自然流产发生率是否增加的相关报道非常有限,妊娠成功的报道则更少,2003年有一例23岁伴有发育迟缓和畸形的8-三体嵌合女性患者成功妊娠,且胎儿染色体核型正常(46,XX)的病例被报道。本例孕妇仅有一次胎儿畸形史,本次妊娠无产科合并症,胎儿染色体未见异常。随访两年孕妇及胎儿发育均未见异常。
所有作者均声明不存在利益冲突





















