
版权归中华医学会所有。
未经授权,不得转载、摘编本刊文章,不得使用本刊的版式设计。
除非特别声明,本刊刊出的所有文章不代表中华医学会和本刊编委会的观点。
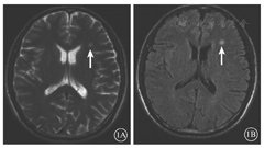
患者男,48岁。因"右眼视力丧失5 d、左眼视力骤降3 d"于2016年6月23日收住我科。患者自6月4日起无明显诱因出现发热,当地医院治疗不理想,体温反复。6月13日以"发热原因待查"收住我院呼吸内科,行相关检查诊断为肺部感染。6月15日因患者出现嗜睡状态转至我院神经内科。检查见认知功能异常、颈项强直、脑膜刺激征(-)。脑脊液无色透明,压力正常;白细胞计数43×106个/L,分类以单核细胞为主,三磷酸尿苷升高,氯化物轻度降低;脑脊液培养、涂片正常。头颅MRI可见脑实质受损(图1)。诊断为病毒性脑炎。给予抗病毒及抗炎治疗后认知障碍逐渐好转。6月18日患者右眼视力骤降请我科会诊。眼底检查见右眼视盘水肿,黄斑中心凹反光不清。6月21日患者左眼视力明显下降再次请我科会诊。右眼视力无光感,瞳孔散大,对光反射消失,晶状体点状混浊,玻璃体混浊(++),可见絮状漂浮物;视盘颜色淡,边界欠清晰,静脉纡曲扩张,视网膜颜色苍白,可见灰白色渗出及出血点,黄斑中心凹未见反光(图2A)。左眼视力数指/10 cm,矫正视力0.08;角膜6~ 9点时钟位可见一乳白色陈旧性瘢痕,瞳孔对光反射迟钝,晶状体点状混浊,玻璃体混浊(+),可见尘状漂浮物;颞下方周边视网膜部分血管白鞘形成,未见渗出和出血,黄斑中心凹未见反光。双眼眼压正常。B型超声检查,玻璃体混浊征像。荧光素眼底血管造影(FFA)检查,右眼视网膜动静脉充盈迟缓,可见荧光素渗漏、新生血管及无灌注区(图2B )。考虑诊断"双眼急性视网膜坏死综合征(ARN)" 。给予更昔洛韦250 mg静脉滴注,2次/d等抗病毒治疗,同时辅以改善循环及对症支持治疗。同时请中山大学眼科中心会诊后,治疗方案改为更昔洛韦500 mg静脉滴注,2次/d;口服泼尼松50 mg,1次/d,10 d后减量;依据病情予视网膜变性坏死区与正常视网膜交界处行激光光凝。修正诊断为"病毒性脑炎合并双眼ARN" 。经3 d治疗后眼底检查可见左眼颞下方4点时钟位周边视网膜多个裂孔形成,给予左眼激光光凝治疗;右眼辅以玻璃体腔注射更昔洛韦治疗。6月27日眼底检查,左眼颞下方病变区扩大,再次行激光光凝治疗。7月1日眼底检查,右眼视网膜转为黄白色局限渗出病灶;左眼颞下方周边视网膜可见激光光凝斑,病变范围无变化(图3)。病情稳定后出院。出院后2个月复查,脑脊液各项指标恢复正常。右眼视力光感,视盘颜色苍白,黄白色渗出病灶明显吸收,黄斑中心凹反光可见。左眼视力0.12,矫正视力0.25;视盘颜色偏淡,黄白色渗出病灶明显吸收,可见激光光凝斑,黄斑中心凹反光不清。






ARN是一种病毒感染性疾病,临床以严重广泛的葡萄膜炎、玻璃体炎、视网膜血管炎、视网膜坏死以及晚期导致的视网膜脱离为主要特征[1]。病毒性脑炎是一种常见的中枢神经系统感染性疾病,临床常以发热、头痛、行为改变及意识障碍为其主要特征[2]。ARN是病毒性脑炎的严重并发症之一,两者可同时发病,ARN也可出现于病毒性脑炎发病后的数天至数年[3,4,5]。本例患者临床表现符合病毒性脑炎及ARN的表现特征[6,7],其ARN发生于病毒性脑炎发病10 d后,起病急,进展迅速。
Maertzdorf等[8]认为,病毒性脑炎合并ARN的发病机制是病毒通过脑-视网膜之间传播引起的,病毒在感染脑组织后可潜伏在额叶下部及视交叉一段时间,当病毒再次被激活后通过轴浆运输经视神经播散至视网膜。本例患者单眼先发病,左眼晚于右眼数天发病。这说明病毒首先侵犯中枢神经系统,然后由于病情进展导致病毒播散至视网膜。这同时也证明了病毒潜伏期的存在。有研究报道,病毒性脑炎合并ARN单眼发病患者可由于ARN确诊及治疗不及时以及大剂量糖皮质激素使用最终导致双眼发病[9, 10]。免疫学研究结果表明,虽然糖皮质激素可抑制病毒引起的免疫反应,对免疫反应所致的视网膜炎症进展有抑制作用,但也能促进病毒的复制作用[11]。本例患者右眼发病后曾给予大剂量糖皮质激素冲击治疗,数天后左眼便发病。这可能与早期大剂量使用糖皮质激素导致病毒大量复制以及抗病毒药物起始用量低所导致病毒通过视神经传播至另一眼有关,但两者之间的相关性还需进一步证实。
本例患者早期全身应用大剂量抗病毒药物未能控制眼部病情。考虑到血眼屏障的存在,我们同时给予视网膜激光光凝阻止病灶进一步扩展,玻璃体腔内注药加强局部抗病毒治疗,效果较好。随访2个月病情未再发展,左眼视力提高。
病毒性脑炎患者常因意识障碍而掩盖眼部问题,导致就诊不及时而延误诊治。当其出现眼部症状时,应及时请眼科会诊以尽早确诊及治疗[12]。明确出现ARN时,全身足量使用抗病毒药物联合视网膜激光光凝、玻璃体腔注射抗病毒药物以及糖皮质激素能有效控制病情进展。

























