
版权归中华医学会所有。
未经授权,不得转载、摘编本刊文章,不得使用本刊的版式设计。
除非特别声明,本刊刊出的所有文章不代表中华医学会和本刊编委会的观点。
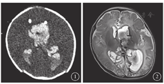
患儿男,1个月,出生胎龄39周,出生体重3350 g。既往史无特殊。2017年6月25日无明显诱因突发烦躁伴四肢抽动、偶有僵直,双眼向下凝视,安抚后不能缓解,急诊于外院;颅脑CT检查,脑室大量出血,蛛网膜下腔少量出血可能。遂转诊于我院,急诊行双侧脑室钻孔手术。次日复查头颅CT,诸脑室内积血铸型,左侧侧脑室扩张(图1)。手术后患儿意识尚清,对外界刺激反应正常。手术后1周,拔除引流管;颅脑MRI检查,左侧脑室及第三、四脑室可见明显血肿,双侧侧脑室扩张(图2)。遂改行双侧侧脑室穿刺外引流联合右侧储液囊植入手术。手术后患儿意识清楚,对外界刺激反应正常。2017年8月29日我科会诊,第三代儿童广角数码视网膜成像系统筛查,右眼玻璃体腔见黄白色团块状混浊,居于瞳孔区,透过混浊区可隐约见视盘,周边隐约见大片视网膜下出血,颜色暗(图3);左眼眼底未见明显异常。眼彩色超声检查,右眼玻璃体混浊。结合病史诊断:右眼Terson综合征(玻璃体积血、机化)。由于患儿脑脊液控制欠佳,无法行右眼玻璃体切割手术(PPV),暂予观察处理。观察2周后,右眼玻璃体混浊较前稀疏,呈白色絮状,隐约透见视盘,周边视网膜见末端血管及散在片状视网膜下出血,范围较前缩小(图4)。2017年9月27日,患儿颅内压控制稳定,转外院于全身麻醉下行右眼PPV。手术后2周回访,右眼视盘边界清晰,颜色淡红,视网膜平复,血管细,周边视网膜下出血已吸收,黄斑区反光弱(图5)。






Terson综合征是一种眼和脑的综合征,大多由颅内出血、蛛网膜下腔出血等原因引起颅内压急剧升高,导致眼内出血,常见于颅内血管瘤破裂及颅脑外伤[1]。新生儿血管系统脆弱,对于颅内压的剧烈变化更为敏感。尤其早产儿常合并缺氧,且视网膜血管发育不完善,造成新生血管形成,极易出血;外加肝脏凝血因子合成低下,因此早产儿视网膜出血发生率高于足月儿[2]。但由于新生儿颅骨间存在生理性骨缝及囟门的缓冲作用,造成全身症状及体征与颅内出血量不相符。新生儿眼内出血往往表现为两种:(1 )单纯颅内压升高者,常表现为视网膜浅层出血,容易吸收不留痕迹,但出血量大;(2)头部外伤引起者,主要表现为视网膜深层出血,出血呈点状或斑片状[3, 4]。治疗上,早期出血量不大者,传统上仍建议眼科保守治疗;但也有部分学者认为,应尽早进行PPV[5]。
本例患儿有明确的急性颅内大量出血及玻璃体积血病史,符合Terson综合征诊断。患儿仅1个月大,无法自诉症状,容易造成误诊漏诊。Scheller和Doroslovacki[6]曾报道了全球第5例的新生儿因脑部动脉瘤破裂导致的Terson综合征,与本例患儿具有相似表现。但由于本例患儿未进行CT血管造影检查,尚无法判断病因是否为动脉瘤破裂,仍需完善检查。本例患儿右眼玻璃体积血虽已机化,周边视网膜下出血也逐步吸收,但混浊刚好位于瞳孔区,遮挡黄斑。经PPV切除混浊玻璃体充分暴露视网膜后,视网膜下出血吸收。说明对于Terson综合征早期可尝试保守治疗;但对于玻璃体混浊严重者,仍建议尽早进行PPV,防止剥夺性弱视。提示临床对于颅内出血的新生儿,应重视早期眼底筛查,长期跟踪,及时发现病变并予以干预,提高患儿视觉质量。





















