
版权归中华医学会所有。
未经授权,不得转载、摘编本刊文章,不得使用本刊的版式设计。
除非特别声明,本刊刊出的所有文章不代表中华医学会和本刊编委会的观点。
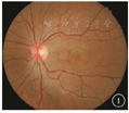
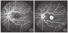
患者女,28岁。因左眼视力下降1周于2015年7月14日至淄博市中心医院眼科就诊。既往身体健康,无吸烟、饮酒史;无猫、狗等宠物接触史。自诉发病前1周出现咳嗽、流涕、发热等流行性感冒样症状;感冒症状好转后左眼出现视力下降。眼部检查:右眼视力0.3,-5.00 DS→1.0;左眼视力0.1,不能矫正。双眼眼前节检查未见明显异常。右眼视盘边界清楚,颜色淡红,血管走形正常,黄斑中心凹反光可见;左眼黄斑区约1 DD大小圆形淡黄色病灶,边界清晰,中央有不规则细点(图1)。FFA检查,左眼早期黄斑区出现不规则强荧光,周围包绕一圈弱荧光,随时间延长荧光增强;晚期黄斑区呈圆盘状强荧光,中心仍有弱荧光(图2)。OCT检查,左眼黄斑区视网膜外核层结构紊乱,外界膜及椭圆体带高低不平,嵌合体区局限性缺失(图3)。OCT血管成像(OCTA)检查,黄斑区脉络膜毛细血管扩张,局部呈强血流信号,未见明确异常血管(图4)。实验室检查,血常规、输血四项、血生化正常。TORCH检测:弓形虫IgM(-)、风疹病毒IgM(-)、巨细胞病毒IgMⅡ(-)、单纯疱疹病毒混合型IgM(-)。结核菌素试验阴性,胸部X线片检查正常。诊断:左眼急性特发性黄斑病变(AIM)。因患者处于哺乳期,未给予干预,随访观察。








首诊后1周,左眼BCVA 0.3. OCT检查,黄斑区RPE增厚,反射增强,局部椭圆体带结构不清晰(图5A)。首诊后1个月,左眼BCVA 0.8。OCT检查,黄斑区RPE增厚,呈锥状隆起(图5B)。首诊后1年,左眼BCVA 1.0. OCT检查,外层视网膜结构清晰,RPE厚度接近正常(图5C)。眼底可见黄斑病变区呈盘状色素萎缩,中央有不规则色素沉着(图6)。




AIM是一种临床少见的自限性视网膜疾病,由Yannuzzi等[1]于1991年首次报道,以原因不明的急性黄斑区损害为特征。AIM确切发病机制不明,是一种特发性炎症性疾病,有文献报道其可能与妊娠、人类免疫缺陷病毒、柯萨奇病毒等感染有关[2,3]。该病好发于青年人,患者发病前多有流感样症状,后突然发生视力减退和渗出性黄斑病变,病变区RPE细胞增生出现局限性增厚。急性期过后视力可自然恢复。
对于本病的诊断应根据病史结合眼底表现及影像学检查。本例患者为健康青年女性,双眼近视。有感冒发热病史,单眼视力突然急剧下降,黄斑区视网膜色素改变,FFA表现为透见荧光和遮蔽荧光,典型表现为病灶中心弱荧光,周边环形强荧光"牛眼"样外观[4]。OCT显示RPE及外层视网膜病变,早期RPE水肿,强反射物质堆积,椭圆体带中断、不连续。随着病程的发展,外层结构逐渐修复。OCTA可见脉络膜毛细血管层血流信号增强,未见异常新生血管。患者多模式影像学表现典型,根据以上临床特征AIM诊断明确。本病主要累及外层视网膜及RPE。观察本例患者整个病程OCT,推测急性期视力下降可能与黄斑区视网膜外层结构损伤有关。
AIM好发于年轻人,需要与青年人多发的疾病如中心性浆液性脉络膜视网膜病变(CSC)及特发性脉络膜新生血管(CNV)相鉴别。CSC为常见自限性疾病,常有视物变暗,视力下降不明显;FFA可以发现渗漏点;OCT表现为视网膜神经上皮层或RPE层脱离。AIM的OCT表现为视网膜外层缺失及RPE增厚。特发性CNV也好发于青年人,但一般视力损伤明显,需要进一步抗VEGF药物治疗,病情反复;OCTA显示脉络膜层CNV形态。需要特别强调的是,本例患者黄斑区OCTA浅层、深层视网膜及外层视网膜未见异常血流信号;而脉络膜血管层可见黄斑部病灶区强血流信号。这提示局部脉络膜毛细血管扩张,但并未发现异常新生血管,此特征区别于特发性CNV,也与既往文献报道的其他多模式影像特征不同。
本病为自限性疾病,有学者认为早期给予糖皮质激素治疗可抑制视网膜炎症反应,减少黄斑区损伤[5]。近年有学者报道本病可继发CNV,行抗VEGF药物治疗后视力恢复良好,但由于观察时间短,远期疗效并不明确[6]。本例患者因自身原因未接受任何治疗。经密切随访观察,发病后4~ 6周,RPE增生明显,外层视网膜结构逐渐恢复;视力预后良好,黄斑区出现色素性萎缩,1年内病情稳定,无复发。
所有作者均声明不存在利益冲突





















