
版权归中华医学会所有。
未经授权,不得转载、摘编本刊文章,不得使用本刊的版式设计。
除非特别声明,本刊刊出的所有文章不代表中华医学会和本刊编委会的观点。
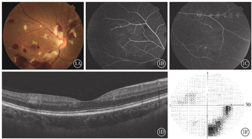
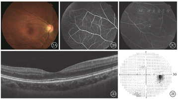
患者女,32岁。因头晕、头痛1周于2020年11月2日到暨南大学附属第一医院神经外科就诊。患者有β型地中海贫血病史12年,未曾接受特殊治疗;否认高血压、糖尿病和冠心病等病史。患者体格检查无特殊。血红蛋白102 g/L。头颅磁共振血管成像检查,右侧颈内动脉眼段处可见大小为0.3 cm× 0.3 cm的动脉瘤。根据患者症状、体征及检查结果诊断为右侧颈内动脉眼段处动脉瘤,遂予以支架辅助弹簧圈栓塞手术。手术中放入Livs支架至载瘤动脉、两枚弹簧圈入动脉瘤腔后造影见动脉瘤栓塞致密、载瘤动脉通畅、眼动脉显影良好。患者于手术后5 h拔除股动脉鞘,拔鞘时存在一过性低血压85/53 mm Hg (1 mm Hg=0.133 kPa ),拔鞘后患者立即出现右眼视物模糊伴颞下方视野缺损症状,1 h后复测血压为104/64 mm Hg,但眼部症状未改善,于手术后第2天请眼科会诊。眼科检查:右眼视力0.2,矫正视力0.8;左眼视力0.1,矫正视力1.0。右眼、左眼眼压分别为13.4、14.5 mm Hg。双眼眼前节未见明显异常。左眼眼底、荧光素眼底血管造影(FFA)、光相干断层扫描(OCT)及视野检查均未见异常。右眼眼底视盘边界欠清,视盘周围、沿颞下方血管弓可见大量中心有"白蕊"样的斑片状出血灶(Roth斑)及棉绒斑(图1A),黄斑区颞侧可见出血灶周围伴有灰白色病灶。FFA检查,右眼视网膜有散在斑片状遮蔽荧光,颞上方及鼻下方视网膜存在毛细血管无灌注区(图1B,图1C)。OCT检查,右眼后极部深层视网膜强反射信号(图1D)。视野检查,右眼存在颞下方与生理盲点相连的局部视野缺损和鼻上方局部视野缺损(图1E)。诊断:右眼视网膜小动脉栓塞。予以吸氧、静脉注射低分子右旋糖酐扩容改善微循环和营养神经等治疗。3 d后患者视物模糊症状有所改善,右眼、左眼矫正视力分别为1.0、1.2;但眼底仍有大量散在斑片状出血灶及棉绒斑。3个月后复查,右眼视盘边界清楚,视盘周围及颞下方视网膜出血灶、棉绒斑已吸收(图2A);FFA检查仍可见右眼颞上方及鼻下方视网膜毛细血管无灌注区(图2B,图2C);OCT检查,右眼黄斑区视网膜变薄,其余无特殊(图2D);视野检查,右眼鼻侧仍可见局限性视野缺损,但较之前明显改善(图2E)。




宽颈微小动脉瘤是颅内动脉瘤的一种特殊类型,因其瘤壁薄、瘤腔小等解剖特点使其治疗具有较大的挑战性。目前支架辅助弹簧圈栓塞手术是一种安全、有效且复发率低的治疗方法,但仍存在手术中动脉瘤破裂及手术后血栓栓塞事件发生的风险[1,2,3]。本例患者经头颅磁共振血管成像检查确诊为右侧颈内动脉眼段处动脉瘤,给予支架辅助弹簧圈栓塞手术,在拔除股动脉鞘后,可见其右眼视盘周围及颞下方大量棉绒斑及斑片状出血灶,且出血灶中心都有"白蕊"样改变;FFA检查可见右眼视网膜毛细血管无灌注区;OCT检查可见右眼视网膜深层出血。视网膜出血灶即Roth斑是由于视网膜血管内皮受损,随后血小板黏附到受损的血管内皮产生级联反应所形成的纤维蛋白血栓,可见于缺氧、白血病、贫血、一氧化碳中毒、麻醉期间长时间插管、先兆子痫、高血压和糖尿病患者[4,5]。我们推断患者右眼出现的症状是由于右颈内动脉支架植入及弹簧圈栓塞处血栓的形成,在拔除股动脉鞘时由于一过性低血压造成血流动力学改变,血栓脱落形成局部视网膜小动脉栓塞、视网膜缺血缺氧,造成相关血管内皮细胞受损、神经节细胞相邻轴突内轴浆碎片的局部聚集[6]。除此之外,患者有β型地中海贫血病史,我们推测这也是患者视网膜更易形成缺氧损伤的原因[7]。
我们还发现,患者右眼Roth斑及棉绒斑主要集中在视盘周围及颞下方视网膜,这与其出现颞下方与生理盲点相连的局部视野缺损和鼻上方局部视野缺损症状相吻合。经积极扩容改善微循环和营养神经治疗3个月后,患者右眼视盘周围及颞下方Roth斑及棉绒斑完全吸收,视野缺损症状也有明显的改善;但复查OCT示后极部视网膜出血、梗死处神经纤维层萎缩变薄,FFA检查仍可见右眼颞上方及鼻下方视网膜毛细血管无灌注区。这可能是因为纤维蛋白血栓沿视网膜动脉到达周边视网膜,造成周边视网膜微小动脉栓塞形成毛细血管无灌注区,而由于栓子无法自溶吸收,所以周边视网膜仍然存在无灌注区。
所有作者均声明不存在利益冲突





















