
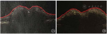
患者女,26岁。因四肢乏力伴双眼视物模糊3月余,加重2周于2021年2月8日就诊于河北大学附属医院神经外科。询问病史,2020年11月中旬,患者无明显诱因出现复视伴四肢乏力、腰部束带感,以右侧为重,未予重视;2020年12月中旬,患者因四肢乏力行走时摔倒出现右眼轻微视物模糊,但复视症状消失,于当地医院行头颅磁共振成像(MRI)检查未见明显异常,未予特殊治疗;其后右眼视力逐渐下降至眼前数指,四肢乏力进一步加重。就诊于河北大学附属医院神经外科门诊行头颅及脊椎MRI检查,提示脑积水、间质性脑水肿可能(图1A);C2~C7椎体水平硬膜下脊髓外异常信号(图1B,图1C,图1D)。神经外科以"颈椎管硬膜下髓外占位"将患者收入院。等待手术过程中,患者左眼视力急性下降至眼前数指,请眼科会诊。眼部检查:右眼视力手动/5 cm,左眼视力数指/5 cm。眼底检查,双眼视盘水肿。腰椎穿刺检查,颅内压正常,考虑与脑积水相关。眼科会诊诊断:双眼视盘水肿。建议治疗原发病。2021年2月21日,患者于全身麻醉下行椎管内占位切除(C2~C7水平段)联合椎管成形手术。手术后病理检查结果提示椎管占位-神经鞘瘤,部分区域细胞增生活跃。手术后患者肢体症状基本恢复,于2021年3月7日出院。出院时右眼视力光感,左眼视力数指/1 m。手术后25 d复查,患者双眼视力无明显改善;光相干断层扫描(OCT)检查,双眼视盘仍有水肿(图2)。
版权归中华医学会所有。
未经授权,不得转载、摘编本刊文章,不得使用本刊的版式设计。
除非特别声明,本刊刊出的所有文章不代表中华医学会和本刊编委会的观点。
患者女,26岁。因四肢乏力伴双眼视物模糊3月余,加重2周于2021年2月8日就诊于河北大学附属医院神经外科。询问病史,2020年11月中旬,患者无明显诱因出现复视伴四肢乏力、腰部束带感,以右侧为重,未予重视;2020年12月中旬,患者因四肢乏力行走时摔倒出现右眼轻微视物模糊,但复视症状消失,于当地医院行头颅磁共振成像(MRI)检查未见明显异常,未予特殊治疗;其后右眼视力逐渐下降至眼前数指,四肢乏力进一步加重。就诊于河北大学附属医院神经外科门诊行头颅及脊椎MRI检查,提示脑积水、间质性脑水肿可能(图1A);C2~C7椎体水平硬膜下脊髓外异常信号(图1B,图1C,图1D)。神经外科以"颈椎管硬膜下髓外占位"将患者收入院。等待手术过程中,患者左眼视力急性下降至眼前数指,请眼科会诊。眼部检查:右眼视力手动/5 cm,左眼视力数指/5 cm。眼底检查,双眼视盘水肿。腰椎穿刺检查,颅内压正常,考虑与脑积水相关。眼科会诊诊断:双眼视盘水肿。建议治疗原发病。2021年2月21日,患者于全身麻醉下行椎管内占位切除(C2~C7水平段)联合椎管成形手术。手术后病理检查结果提示椎管占位-神经鞘瘤,部分区域细胞增生活跃。手术后患者肢体症状基本恢复,于2021年3月7日出院。出院时右眼视力光感,左眼视力数指/1 m。手术后25 d复查,患者双眼视力无明显改善;光相干断层扫描(OCT)检查,双眼视盘仍有水肿(图2)。




2021年5月,患者因双眼视力恢复困难,为求中西医结合治疗就诊于北京中医药大学东方医院眼科。眼部检查:右眼视力手动/5 cm,左眼视力数指/1 m。右眼相对性传入性瞳孔障碍(+)。眼底检查,双眼视盘边界清楚,颜色略淡(图3A,图3B);OCT检查,双眼视盘周围视网膜神经纤维层部分薄变,视神经萎缩(图3C,图3D)。诊断:(1)双眼继发性视神经萎缩;(2)硬脊膜下神经鞘瘤(C2~C7水平段)切除手术后。在我科经中西医结合间断治疗5个月后,视力改善稳定为右眼0.04,左眼0.06。


椎管内肿瘤又称脊髓肿瘤,指生长于脊髓及与脊髓相近的神经根、硬脊膜、血管、脊髓及脂肪等组织的原发或继发肿瘤[1]。其多见于50岁以下女性,发病较为隐匿,不同部位的肿瘤各有特点,如出现头痛、颈部不适、腰背痛、下肢痛、盆骶痛及步态不稳等,但合并视盘水肿、复视、视力下降等眼部并发症的发生率很低[2]。视盘水肿可见于椎管内神经鞘瘤、星形细胞瘤、室管膜瘤等[3]。临床发现双眼视盘水肿,通常首先会排除有无颅内占位,而忽视椎管内占位[4]。
本例患者先后出现肢体症状、复视及视力下降等眼部症状,早期并没有发现颅内病变,直到病情进展出现脑水肿、视盘水肿等严重并发症时才确诊椎管内占位。我们分析椎管内肿瘤致视盘水肿的原因可能与以下几方面有关。(1)脑脊液分泌增加。椎管内肿瘤的刺激可使脑脊液病理性分泌过多,从而导致颅内压增高,引起视盘水肿[5]。(2)脑脊液吸收障碍。肿瘤的主动分泌、分解产物以及蛛网膜下腔出血对脑膜的刺激反应可能引起脑脊液蛋白浓度升高[6]。蛋白质及其崩解产物、脑脊液流动的机械阻塞会增加脑脊液粘度,直接影响轴浆流动,导致视盘水肿或间接通过蛛网膜下腔粘连进而降低蛛网膜绒毛的脑脊液吸收导致颅内压升高[7,8]。另外,脱落的肿瘤细胞机械性阻塞蛛网膜颗粒、肿瘤浸润过程破坏脊髓静脉丛和静脉髓丛,影响静脉压力和脑脊液压力之间的平衡[8]、蛛网膜的无菌性炎症以及蛛网膜下腔出血,都可能增加脑脊液流出阻力,使颅内压增高。(3)脑脊液动力学障碍。脊髓中央管有一定的伸缩性,有脑脊液"弹性储备库"之称,与颅内脑室一起发挥着稳定颅内压的作用。脊髓肿瘤的机械性阻塞可以减少该"储备库"的容量,降低脊髓部分的顺应性,从而降低整个脑脊液空间的顺应性。当它超过颅内血管依从性的补偿能力时就会导致颅内压升高,引起视盘水肿。其他相关因素的变化,如脑脊液蛋白浓度、蛛网膜炎引起的颅内脑脊液流动阻力也可对脑脊液动力学有影响[9]。
椎管内肿瘤确诊后多要接受肿瘤手术切除和(或)放射治疗、化学药物治疗。大多患者手术治疗后不增加手术后早期和晚期并发症发生率[10]。本例患者经椎管内占位切除(C2~C7水平段)联合椎管成形手术治疗后虽然肢体症状得以逐渐恢复,视盘水肿改善,但由于已对视神经造成了严重损害,其视力未能很好恢复。这提示临床,当接诊无明确颅脑病变的视盘水肿患者时,应追问相关症状及病史。对于颅内压增高、双侧视盘水肿伴原因不明的脑积水患者,应牢记脑积水和椎管内肿瘤之间的罕见联系,考虑椎管内占位的可能。
所有作者均声明不存在利益冲突





















