
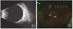
患者女,18岁。因自幼右眼失明,左眼视力差,无眼红、眼痛,于2021年8月24日就诊于南昌大学附属眼科医院。患者1岁1个月时,因家属发现其左侧肢体不如右侧肢体灵活,右眼有黄色映光,瞳孔内可见黄白色隆起组织就诊于北京某儿童医院,并经颅脑核磁共振成像(MRI)检查确认颅脑病变;经基因检测诊断为"色素失禁症"。患者足月产。父母、胞兄、胞妹、胞弟身体均健康,其母亲有2次流产史。否认遗传病及传染病家族史。体格检查:左侧肢体不灵活,左足外翻,牙齿呈"钉形"改变。前臂皮肤可见"大理石样"斑纹,全身多处可见皮肤色素沉着。眼部检查:双眼内斜视,伴眼球震颤。右眼视力无光感;左眼裸眼视力0.2,矫正视力0.4。右眼眼压指测T-1,左眼眼压16.0 mm Hg (1 mm Hg= 0.133 kPa)。右眼角膜灰白色混浊,前房消失,虹膜纹理不清,瞳孔膜闭,其余眼内结构窥不入。左眼眼前节正常,晶状体透明,玻璃体轻度混浊。眼底检查,左眼视盘边界清楚,颜色淡红,黄斑颞下方可见视网膜脉络膜萎缩灶,伴有色素沉着紊乱,颞侧视网膜见数个裂孔,裂孔周围视网膜部分隆起,上方及下方周边视网膜大片变性区及色素紊乱(图1A,1B)。B型超声检查,右眼眼轴短,眼内结构紊乱;左眼玻璃体腔内见散在光点,球壁前探及带状回声,与球壁回声连接不紧密(图1C )。光相干断层扫描检查,左眼黄斑区视网膜局灶性变薄,视网膜色素上皮层反射不连续,黄斑偏下方视网膜内层结构萎缩变薄(图1D~ 1F)。诊断:(1)左眼视网膜裂孔;(2)左眼视网膜变性;(3)左眼屈光不正;(4)右眼瞳孔膜闭;(5)右眼失明;(6)双眼内斜视;(7)色素失禁症(IP)伴眼部病变。由于患者双眼眼球明显震颤无法配合表面麻醉下行视网膜激光光凝治疗,因此予以盐酸利多卡因球后麻醉下行左眼视网膜激光光凝封闭视网膜裂孔及周边变性区。治疗后1周复查,左眼最佳矫正视力0.4;眼底检查,视网膜裂孔封闭,激光斑反应清晰,裂孔周围视网膜未见脱离(图2A,2B )。治疗后连续随访7个月,患者左眼情况稳定。
版权归中华医学会所有。
未经授权,不得转载、摘编本刊文章,不得使用本刊的版式设计。
除非特别声明,本刊刊出的所有文章不代表中华医学会和本刊编委会的观点。
患者女,18岁。因自幼右眼失明,左眼视力差,无眼红、眼痛,于2021年8月24日就诊于南昌大学附属眼科医院。患者1岁1个月时,因家属发现其左侧肢体不如右侧肢体灵活,右眼有黄色映光,瞳孔内可见黄白色隆起组织就诊于北京某儿童医院,并经颅脑核磁共振成像(MRI)检查确认颅脑病变;经基因检测诊断为"色素失禁症"。患者足月产。父母、胞兄、胞妹、胞弟身体均健康,其母亲有2次流产史。否认遗传病及传染病家族史。体格检查:左侧肢体不灵活,左足外翻,牙齿呈"钉形"改变。前臂皮肤可见"大理石样"斑纹,全身多处可见皮肤色素沉着。眼部检查:双眼内斜视,伴眼球震颤。右眼视力无光感;左眼裸眼视力0.2,矫正视力0.4。右眼眼压指测T-1,左眼眼压16.0 mm Hg (1 mm Hg= 0.133 kPa)。右眼角膜灰白色混浊,前房消失,虹膜纹理不清,瞳孔膜闭,其余眼内结构窥不入。左眼眼前节正常,晶状体透明,玻璃体轻度混浊。眼底检查,左眼视盘边界清楚,颜色淡红,黄斑颞下方可见视网膜脉络膜萎缩灶,伴有色素沉着紊乱,颞侧视网膜见数个裂孔,裂孔周围视网膜部分隆起,上方及下方周边视网膜大片变性区及色素紊乱(图1A,1B)。B型超声检查,右眼眼轴短,眼内结构紊乱;左眼玻璃体腔内见散在光点,球壁前探及带状回声,与球壁回声连接不紧密(图1C)。光相干断层扫描检查,左眼黄斑区视网膜局灶性变薄,视网膜色素上皮层反射不连续,黄斑偏下方视网膜内层结构萎缩变薄(图1D~ 1F)。诊断:(1)左眼视网膜裂孔;(2)左眼视网膜变性;(3)左眼屈光不正;(4)右眼瞳孔膜闭;(5)右眼失明;(6)双眼内斜视;(7)色素失禁症(IP)伴眼部病变。由于患者双眼眼球明显震颤无法配合表面麻醉下行视网膜激光光凝治疗,因此予以盐酸利多卡因球后麻醉下行左眼视网膜激光光凝封闭视网膜裂孔及周边变性区。治疗后1周复查,左眼最佳矫正视力0.4;眼底检查,视网膜裂孔封闭,激光斑反应清晰,裂孔周围视网膜未见脱离(图2A,2B)。治疗后连续随访7个月,患者左眼情况稳定。




IP主要累及皮肤、神经系统、眼、牙齿及骨骼等外胚层组织[1,2]。其中大多以皮肤改变为首发临床症状,表现为背腹等躯干部位及四肢散在色素沉着,且皮肤改变后可完全消退[3]。35%~77%的IP患者会出现眼部受累,以视网膜血管病变及视网膜色素上皮改变为典型特征,主要表现为视网膜缺血、周边视网膜无血管区及新生血管形成伴出血和纤维增生、牵拉性视网膜脱离、黄斑中心凹发育不全等[4]。该过程也可自然停止在任意阶段,遗留各种视网膜改变,如血管纡曲、异常血管吻合、视网膜色素沉着等[5]。本例患者上方、下方、颞侧视网膜出现大片变性区,并且在变性区内可见血管白线及血管中断,可能是因为视网膜缺血引起的周边视网膜血管发育不良,进而引起视网膜退行性改变[6]。视网膜色素沉着改变可能与视网膜色素上皮的缺血性损伤有关。尽管患者无法配合行荧光素眼底血管造影检查,对周边视网膜血管无法进行确切的评估,但为了防止变性区视网膜病变进一步发展形成裂孔,我们对周边变性区视网膜也进行了预防性视网膜激光光凝治疗,后期随访未见新发的视网膜裂孔。患者黄斑下方的视网膜脉络膜萎缩灶,考虑为IP并发的黄斑发育不全,这与既往的研究报道一致[7]。除视网膜病变外,本例患者还出现了典型的双眼内斜视及眼球震颤,与文献报道的IP引起非视网膜病变的表现一致[8]。
IP尚无特异性治疗方案,其眼部病变主要为对症治疗。药物治疗主要集中在抗血管内皮生长因子药物抑制视网膜新生血管生成。对于首诊的IP患者,早期前瞻性视网膜检查,如有新生血管生成,可行冷冻治疗以预防后期眼底疾病进一步进展,降低失明的发生几率。针对视网膜增生、牵拉性视网膜脱离等可以进行玻璃体切割手术治疗,对于视网膜无灌注区及视网膜裂孔、视网膜变性区形成等可以通过视网膜激光光凝进行治疗[5,9]。本例患者眼部出现视网膜裂孔及视网膜浅脱离,及时予以视网膜激光光凝治疗封闭视网膜裂孔,防止视网膜进一步脱离,从而保留患者的视功能,达到了很好的治疗效果。但是由于患者全身病持续存在的原因,后期依然需要密切随访,观察眼部病变的情况。
考虑IP发病率较低,且因胚胎发育障碍和神经系统受累导致大部分患者不能生存至成年,因此成年患者极少,临床医师在诊治过程中易于漏诊和误诊。同时考虑患者成年后多数伴有眼底病变,应及时予以个体化对症治疗以改善患者视功能。
所有作者均声明不存在利益冲突





















