
气道廓清技术可用于多种疾病的治疗。制定此专家共识目的是基于重症患者气道廓清的受损机制,结合药物和非药物气道廓清治疗的原理,选择合适的治疗方案。重症患者气道廓清技术的专家共识有:(1)高渗盐水及等渗盐水雾化治疗可用于诱导痰液生成,以利于标本采集;(2)对有创机械通气患者,建议根据气道分泌物黏度按需雾化吸入乙酰半胱氨酸;(3)由于缺乏气道廓清药物静脉制剂雾化吸入的安全性和有效性证据,建议不使用气道廓清药物静脉制剂雾化吸入用于重症患者气道廓清治疗;(4)对患者实施气道廓清治疗前均需进行呼吸功能和排痰障碍原因的评估,以制定个体化的气道廓清方案;(5)呼气末正压/高频振荡呼气末正压可用于慢性阻塞性肺疾病、支气管扩张、囊性纤维化患者的气道廓清,其相对常规物理治疗疗效更明确,治疗效果取决于所选装置、设定阻力以及患者的依从性;(6)气道廓清联合治疗优于单一方案,对于有人工气道的患者,气管镜联合振动排痰能显著增加气道分泌物的清除量;(7)机械咳嗽辅助技术可用于呼气肌无力的患者,而气道阻塞性疾病患者应谨慎使用。
版权所有,未经授权,不得转载、摘编本刊文章,不得使用本刊的版式设计。
除非特别申明,本刊刊出的所有文章不代表中华医学会和本刊编辑委员会的观点。
本刊为电子杂志,以网刊形式出版。本册应读者需求按需印刷。
重症患者有效排出气道内分泌物是预防和治疗支气管、肺部感染的基本措施。健康成人每天能产生10~100 ml的气道分泌物,其裹挟有大量经气道吸入的有害物质和病原微生物,通过气道黏液纤毛摆动和咳嗽反射将其清除,防止堵塞和避免感染。黏液纤毛摆动机制常因老化、吸烟、环境暴露和支气管扩张等环境、疾病因素受损;而咳嗽能力也会因为脑血管病变,镇静、镇痛和肌松剂应用或重症监护病房(intensive care unit,ICU)获得性衰弱等因素下降或丧失,导致气道分泌物潴留。应用药物和非药物的方法帮助排出气道分泌物,减少和控制与其相关并发症的措施就是气道廓清技术。
与常规治疗相比,气道廓清技术能改善氧合,缩短呼吸机使用时间,减少在ICU的住院时间,解决肺不张/肺实变和/或改善呼吸。本共识通过对文献和临床经验的系统回顾,由中国病理生理危重症学会呼吸治疗学组委员的讨论得出,由于没有高级别的证据,推荐建议均为基于低级别的证据。
在机体吸入环境空气的过程中,肺部持续暴露于病原体、颗粒物和有害化学物质[1]。从咽部到终末细支气管的黏膜表面存在的纤毛黏液系统,对环境损伤存在显著的抵抗力,其主要由分泌细胞(如Clara、杯状细胞和浆液细胞)、黏膜下腺、黏液毯、纤毛细胞等共同组成。
分泌细胞和黏膜下腺分泌的液体覆盖在气道上皮层表面形成黏液毯,包括至少2层:包绕纤毛的水样层(溶胶)和黏液层(凝胶)[2,3]。水样层的厚度和纤毛高度大致相仿,黏度较低,对维持纤毛有效摆动具有重大意义。黏液层厚约2 μm,与水样层相比黏度更高,对吸入的微生物和颗粒有吸附作用。黏液毯具有保湿和湿润气道的作用,是气道表面过滤和扩散的液体屏障[4,5]。每个呼吸道纤毛细胞顶端约有200根纤毛,这些纤毛通过动力蛋白臂和纤毛轴突微管之间的复杂相互作用以一定的频率和节律产生"鞭"样摆动,将黏液层和沉积在上面的微生物及颗粒从小气道向大气道和咽部摆动[4,5]。肺泡和呼吸性细支气管内尽管没有纤毛,但其表面的黏液和传导气道内黏液相连,部分黏液也可通过传导气道内的纤毛摆动排出[6]。
咳嗽是最重要的呼吸系统保护性反射之一,可清除较大气道中过多的黏液和异物,有助于正常的黏液纤毛转运清除,确保气道通畅。咳嗽分为刺激、吸气、压缩及咳出4个阶段[7]。异常因素(如炎症、机械、化学、热)刺激气道中的感觉纤维受体,沿迷走神经传向大脑的延髓;延髓的咳嗽中枢发放冲动[8]到达呼吸肌,吸气肌收缩(正常成年人的平均吸气量为1~2 L),呼气肌被动拉长[7,9];随后声门关闭,同时呼气肌收缩,压缩肺内气体(此阶段一般持续0.2 s),胸膜和肺泡压力迅速升高(通常大于100 mmHg);最后声门打开,伴随着呼气肌肉的持续收缩,形成高速气流,产生巨大的剪切力,将黏液从气道壁卷入气道,并随气流排出。咳嗽的有效性取决于[7]深呼吸的能力、肺弹性回缩力、呼气肌强度和气道阻力的大小。
健康的黏液是一种黏度和弹性低的凝胶,很容易通过纤毛作用转运,而病理性的黏液具有较高的黏度和弹性,不易清除。多种机制能导致健康黏液向病理黏液转化,这些机制改变了黏液的水合作用和生化成分[1,10,11],包括黏蛋白产生的增加,黏液被炎性细胞浸润引起黏液成分改变(黏附性增强)以及支气管血管通透性增加引起的盐和水分泌异常[12,13]。
纤毛清除是人体呼吸系统最重要的防御机制之一,呼吸道上皮的活动纤毛可不断地将一层薄薄的黏液从肺中运输出来,并将其包裹的物质一起带走,从而清洁上皮表面。通过纤毛摆动,将吸入的颗粒、病原体及可能损害肺部的化学物质向近端推送。正常的纤毛每秒可拍打12~15次,随着水合作用的增强,黏液纤毛清除的速度会加快。慢性阻塞性肺疾病、哮喘、肺实质损伤等引起纤毛摆动功能受损时,痰液不能有效地咳出。
黏液清除受损的主要症状是咳嗽和呼吸困难。一些神经肌肉疾病,包括急性疾病(如吉兰-巴雷综合征)、慢性疾病(如重症肌无力)、进行性疾病(如肌营养不良症)、脊髓损伤、多发性神经病以及长时间机械通气、卧床等均会使患者的咳嗽能力下降,痰液咳出困难。
慢性气道疾病,如慢性阻塞性肺疾病、哮喘、弥漫性泛细支气管炎、支气管扩张、囊性纤维化等均与慢性炎症有关[14]。此类疾病具有气道黏液高分泌的特点[15],大量黏液蓄积在气道管腔中,导致气道阻塞、气流受限,加速肺功能的下降。同时,炎症反应可降低纤毛清除功能、损伤肺泡表面活性物质和改变黏液性质,导致气道的反复感染、阻塞和重塑,形成恶性循环。人工气道的建立也会损伤黏液清除系统[16,17,18,19,20],是重症患者发生气道廓清障碍的另一原因。
引起呼吸肌无力和咳嗽受损的原因较多,包括NMD、脊髓损伤、原发性神经疾病和全身无力等。NMD涵盖了多种疾病,其发病原因、进展速度和肌肉受累形式有所不同。如NMD、ICU获得性衰弱均可累及呼吸肌[21,22,23,24],吸气肌无力可引起肺容积减少,呼气肌无力导致胸腔内压不足从而降低咳嗽效率,即使分泌物与正常人群水平等量时,也因该类患者无效咳嗽而增加了误吸、气道阻塞和肺部感染并发症的风险[21,25,26]。
导致外科术后患者气道廓清障碍的原因众多,主要与手术引起的肺容积减少、膈肌活动受限、黏液纤毛运动受损、畏惧咳嗽等因素相关[27,28,29,30,31,32]。术中麻醉、肌肉松弛药物的使用常伴随患者肺容积的降低,如胸部手术可减少20%~30%肺容积[27],上腹部手术可减少高达60%肺容积,即使开颅术也会导致25%肺容积的下降[33]。超声可见胸腹部术后患者膈肌活动度减少,最大吸气压和呼气峰流速等指标也提示了手术对肌肉力量的限制[34]。另外,手术创口的疼痛刺激常使患者畏惧咳嗽,而导致咳痰困难。
细菌、病毒等感染急性期患者常存在气道廓清障碍,多与黏液生成、纤毛功能受损、人工气道抑制咳嗽反射、呼吸肌衰弱降低咳嗽效率等因素相关[35,36,37,38]。目前针对该类患者,是否常规应用气道廓清技术仍存在争议[30,31,32,33,34,35,36,37,38,39,40,41,42,43,44,45],还需大样本随机对照研究进一步证实。临床建议满足以下条件的感染急性期患者应使用气道廓清技术:(1)存在大量分泌物;(2)持续有痰或无效咳嗽(听诊肺存在粗湿啰音、氧合/通气下降、胸片提示肺容积减少);(3)急性肺不张或通气血流比例失调[45]。
呼吸道传染类疾病,因病原体及防护的特殊性更易发生气道廓清障碍,如新型冠状病毒肺炎患者支气管内常见黏液及黏液栓[45,46],须规范应用气道廓清技术,并严格使用个人防护设备,实施物表及环境消毒[47]。
黏液溶解剂主要通过降低痰液中黏蛋白的黏性,提高痰液清除的效率。N-乙酰半胱氨酸(N-acetylcysteine,NAC)是目前最常用的非肽类黏液溶解剂。NAC可以破坏黏蛋白单体与聚合物连接的二硫键,降低痰液黏度,利于痰液引流。由于NAC含有游离巯基,它也被认为具有抗氧化特性。van Meenen等[48]研究发现NAC可以改善健康成人黏液纤毛的清除速率。机械通气患者雾化NAC可以改善氧合,但不降低痰液密度与气道压力[49]。NEBULAE研究将机械通气下常规雾化乙酰半胱氨酸的患者与根据气道分泌物黏度进行按需雾化的患者对比,结果显示,按需雾化组中13.4%的机械通气患者使用了乙酰半胱氨酸雾化治疗,其效果不劣于常规雾化治疗,且按需雾化组快速心律失常、躁动等不良事件发生率更低[50]。乙酰半胱氨酸有雾化和口服两种给药方式,早期研究表明口服给药可以引起慢性支气管炎和痰分泌过多的患者痰液成分变化,使患者痰液量增加,降低痰液黏稠度,易于清除[51]。但目前认为乙酰半胱氨酸全身给药不能在支气管肺泡灌洗液中检测出药物,因此临床常使用雾化给药方式。
祛痰药不能改变痰液中黏蛋白的黏性,而是通过刺激分泌物产生或者提高分泌物含水量,提高清除率[52,53]。这类药物包括高渗盐水、甘露醇、愈创甘油醚、碘化甘油、碘化钾饱和溶液、氯化铵、溴已新等。
目前,发现盐水雾化可增加分泌物清除率和痰液的产生,并引起咳嗽。关于高渗盐水及等渗盐水雾化治疗儿童细支气管炎及降低囊性纤维化患者痰液黏度的研究显示,使用7%的高渗盐水雾化治疗可显著改善黏液清除率,中度改善气流,并减少囊性纤维化患者病情恶化[54]。其作用机制包括通过高渗透压从上皮细胞中"吸水"而使纤毛周围水样层再水化;其他机制还有促进咳嗽以及对黏液弹性等直接作用。高渗盐水可用于无痰或少痰患者,诱导痰液生成以用于标本采集[55]。但用于重症患者,尤其是机械通气患者的研究少见报道。仅有一项研究对比了对机械通气患者采用7%高渗盐水与生理盐水雾化治疗后肺不张的发生率,结果显示并未发现7%高渗盐水雾化治疗后肺不张发生率下降[55]。
通过增加黏液的"运动性" ,并提高咳嗽运输效能,提高痰液清除率。
选择性β2受体激动剂最主要的作用在于舒张支气管平滑肌,降低气道阻力。同时有研究表明,激动剂通过增加气流和纤毛摆动对黏液运动产生影响,来增加黏液清除率,也可通过增加水和黏蛋白的分泌(后者的作用很小)来增加黏液量。目前临床雾化吸入所用制剂主要为短效β2受体激动剂,其起效迅速(数分钟)、维持时间短(3~6 h),代表药物有特布他林和沙丁胺醇。NEBULAE研究显示:根据临床疑似或确定喘息、典型提示小气道阻塞的异常呼吸机波形或二氧化碳曲线,有创机械通气>24 h的患者应按需雾化吸入沙丁胺醇;该研究中7.9%按需组患者接受了沙丁胺醇雾化治疗,按需组的临床结局与常规组无差异,而且沙丁胺醇相关的快速性心律失常发生率更低[51]。文献报道,特布他林对β2受体选择性及对肥大细胞膜的稳定性更强[59]。
具有抗炎以及刺激表面活性物质形成的作用,且可以增加纤毛对黏液的清除率。尽管关于临床应用静脉制剂进行雾化治疗有较多的报道,但国内尚无氨溴索雾化制剂,其雾化吸入的使用方法、疗效、安全性尚需更多临床研究验证。使用静脉制剂雾化吸入的安全性并未得到验证,属于超说明书使用,可能增加患者风险。
减少慢性黏液分泌过多的过程。
气道刺激、感染等情况下发生炎症反应,导致黏液腺增生,黏液分泌增多,纤毛转运功能受损,最终导致分泌物潴留。抗炎药物如糖皮质激素等可以减少炎症引起的黏液分泌过多[60,61],常用的有雾化和全身用药等方法。目前的研究表明,雾化吸入布地奈德可以降低拔管后重插管率和呼吸窘迫的发生率[62],减轻拔管后喉咙不适感[63],扩张支气管,减轻气道阻力,且全身不良反应较小[64]。但目前尚无充分证据证实其可以减少分泌物的分泌。
抗胆碱能药物主要是通过与呼吸道胆碱能受体竞争性结合,阻断乙酰胆碱的活性而舒张气道[65]。研究表明,阻断胆碱能受体不仅能舒张气道、改善肺功能,而且可以抑制黏液腺体分泌和减轻气道高反应性[66]。有研究显示雾化氧托溴铵可减少慢性支气管炎患者黏液的分泌量,而不会改变黏液黏弹性[67]。尽管如此,目前并无大规模的临床研究证实抗胆碱能药物在气道廓清中的作用。
推荐意见1:对有创机械通气的患者,建议根据气道分泌物黏度雾化吸入乙酰半胱氨酸,建议根据小气道阻塞程度雾化吸入短效β2受体激动剂。
推荐意见2:高渗盐水及等渗盐水雾化治疗可用于诱导痰液生成以利于标本采集。
推荐意见3:由于缺乏气道廓清药物静脉制剂雾化吸入的安全性和有效性证据,建议不使用静脉制剂雾化吸入用于重症患者气道廓清治疗。
对患者实施气道廓清治疗前均需进行呼吸功能和排痰障碍原因的评估,以制定个体化的气道廓清方案[68,69,70,71,72,73,74,75,76,77,78]。

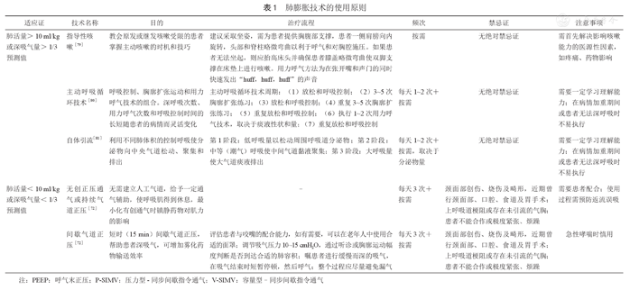
肺膨胀技术的使用原则
肺膨胀技术的使用原则
| 适应证 | 技术名称 | 目的 | 治疗流程 | 频次 | 禁忌证 | 注意事项 |
|---|---|---|---|---|---|---|
| 肺活量>10 ml/kg或深吸气量>1/3预测值 | 指导性咳嗽[79] | 教会原发或继发咳嗽受限的患者掌握主动咳嗽的时机和技巧 | 建议采取坐姿,需为患者提供胸腹部支撑,患者一侧肩膀向内旋转,头部和脊柱略微弯曲以利于呼气和对胸腔施压。如果患者无法坐起,则应抬高床头并确保患者膝盖略微弯曲使双脚支撑在床垫上进行咳嗽。用力呼气方法为在张开嘴和声门的同时快速发出"huff,huff,huff"的声音 | 按需 | 无绝对禁忌证 | 需首先解决影响咳嗽能力的医源性因素,如疼痛、药物影响 |
| 主动呼吸循环技术[80] | 呼吸控制、胸廓扩张运动和用力呼气技术的组合。深呼吸次数、用力呼气次数和呼吸控制时间的长短随患者的病情而灵活变化 | 主动呼吸循环技术周期:(1)放松和呼吸控制;(2)3~5次胸廓扩张练习;(3)放松和呼吸控制;(4)重复3~5次胸廓扩张练习;(5)重复放松和呼吸控制;(6)执行1~2次用力呼气技术,取决于痰液性状和量;(7)重复放松和呼吸控制 | 每天1~2次+按需 | 无绝对禁忌证 | 需要一定学习理解能力;在病情加重期间或患者无法深呼吸时不易执行 | |
| 自体引流[81] | 利用不同肺体积的控制呼吸使分泌物向中央气道松动、聚集和排出 | 第1阶段:低呼吸量以松动周围呼吸道分泌物;第2阶段:中等(潮气)呼吸使中间气道黏液聚集;第3阶段:大呼吸量使大气道痰液排出 | 每天1~2次+按需,取决于分泌物量 | 无绝对禁忌证 | 需要一定学习理解能力;在病情加重期间或患者无法深呼吸时不易执行 | |
| 肺活量<10 ml/kg或深吸气量<1/3预测值 | 无创正压通气或持续气道正压[72] | 无需建立人工气道,给予一定通气辅助,使呼吸肌得到休息,最小化有创通气时镇静药物对肌力的影响 | - | 每天3次+按需 | 颈面部创伤、烧伤及畸形,近期曾行颈面部、口腔、食道及胃手术;上呼吸道梗阻或存在未引流的气胸;患者不能合作或极度紧张、烦躁 | 需要患者配合;使用过程需预防返流误吸 |
| 间歇气道正压[72] | 短时(15 min)间歇气道正压,帮助患者深吸气,可增加雾化药物输送效率 | 评估患者与咬嘴的配合能力,如有需要,可以在老年人中使用合适的面罩;调节吸气压力10~15 cmH2O,通过听诊或胸廓运动幅度判断是否到达合适的肺容积;嘱患者进行缓慢而深的吸气,在吸气结束时短暂停顿,然后呼气;整个过程应尽量避免漏气 | 每天3次+按需 | 颈面部创伤、烧伤及畸形,近期曾行颈面部、口腔、食道及胃手术;上呼吸道梗阻或存在未引流的气胸;患者不能合作或极度紧张、烦躁 | 急性哮喘时慎用 |
注:PEEP:呼气末正压;P-SIMV:压力型-同步间歇指令通气;V-SIMV:容量型-同步间歇指令通气

气道振荡技术的使用原则
气道振荡技术的使用原则
| 适应证 | 技术名称 | 目的 | 治疗流程 | 频次 | 禁忌证 | 注意事项 |
|---|---|---|---|---|---|---|
| 内振荡(痰液黏稠) | 呼气末正压/振动呼气末正压[82,83,84] | 呼气末产生一定正压维持气道和肺泡开放,促进分泌物排除 | 使用固定或可变孔径的装置产生10~20 cmH2O的阻力 | 每天2次;每次6~12组呼吸循环 | 未经引流的气胸、血液动力学不稳定、颅内压增高、近期颌面外科手术或创伤、可疑或存在活动性咯血或鼓膜破裂时禁用 | 仅用于可深呼吸并产生足够高的呼气流量的患者 |
| 肺内叩击通气[85,86] | 提供脉冲式气道正压,在气道内产生叩击振荡,促进气道分泌物松动、排除。有利于增加纤毛黏液系统的清除功能 | 不推荐在辅助/控制或控制机械通气模式下使用;可在关闭压力支持的P-SIMV、V-SIMV或持续气道正压中使用,PEEP维持不变,保持驱动压力恒定(15 cmH2O),脉冲频率每隔5 min在一般与强之间切换1次;每次治疗维持20 min,必要时进行气道内吸引 | 每天3~4次+按需,取决于分泌物量 | 未经引流的气胸、血液动力学不稳定、颅内压增高、近期颌面外科手术或创伤、可疑或存在活动性咯血或鼓膜破裂时禁用 | 30~40 cmH2O,顺应性越高,设置压力越低;间歇期进行咳嗽指导或气道内吸引 | |
| 外振荡(痰液位于外周气道) | 振动和叩击[72] | 用有节奏的手法手动叩击胸壁或用机械装置使其振动,以松动气道分泌物 | 振动:双手重叠放置于外胸壁,靠操作者肩部和手臂肌肉用力,在患者呼气的同时进行振动,帮助分泌物排出;叩击:操作者通过手腕有节奏的屈曲和伸展,以一定的速度和力量扣拍患者胸壁,需要通过练习确定合适的力量和节奏 | 每天3~4次+按需,取决于分泌物量 | 胸壁不稳定;无法改变体位;不稳定的深静脉血栓或肺动脉栓塞;未经引流的气胸;血液动力学不稳定;近期胸部外科手术或创伤;可疑或存在活动性咯血时禁用 | 避免叩击创伤或外科手术部位,切勿直接在骨突起(如锁骨,椎骨)上进行扣击 |
| 高频胸壁振荡[84,86] | 通过可充气背心,给患者外胸壁提供高频和小容量的气体脉冲,使气道分泌物聚集,利于排出 | 穿戴合适型号可充气背心,根据患者耐受性设置频率、强度 | 每天3~4次+按需,取决于分泌物量 | 胸壁不稳定;无法改变体位;不稳定的深静脉血栓或肺动脉栓塞;未经引流的气胸;血液动力学不稳定;近期胸部外科手术或创伤;可疑或存在活动性咯血时禁用 | 年龄>2岁;使用此设备时应避免留置导尿管和胸腔引流管 |

其他气道廓清技术的使用原则
其他气道廓清技术的使用原则
| 适应证 | 技术名称 | 目的 | 治疗流程 | 频次 | 禁忌证 | 注意事项 |
|---|---|---|---|---|---|---|
| 辅助咳嗽技术(呼气肌力下降) | 手法辅助咳嗽[72,75,79] | 主要用于呼气肌力量下降患者的辅助,模拟正常咳嗽机制,增加咳嗽峰流量 | 在患者用力呼气同时由外部对患者胸部或上腹部施压 | 每天3次+按需 | 腹腔高压 | 对肋骨外侧边缘和上腹部施加压力有风险的患者不宜使用 |
| 机械式吸入呼出装置[72,75,79] | 通过增加吸呼气压力差模拟咳嗽,增加呼气流量、促进分泌物排出。适用于神经肌肉疾病患者 | 5个呼吸循环-正压(吸气)、负压(呼气),随后进行正常的自主呼吸或辅助呼吸(避免过度通气),重复这个过程直至无痰液排出 | 每天3~4次 | 未经引流的气胸、血液动力学不稳定、颅内压增高、近期颌面外科手术或创伤、可疑或存在活动性咯血或鼓膜破裂时禁用 | 操作时应关注患者配合程度以及耐受性,避免人机对抗造成气压伤;可能会加重阻塞性疾病的气道塌陷 | |
| 气道内吸引 | 人工气道/支气管镜[72,87,88] | 清除气道分泌物的有创方法,效率高 | - | 必要时 | 无绝对禁忌 | 有一定创伤性;分泌物位于较大气道时吸引更有效 |
| 体位引流(建议联用其他气道廓清技术) | 体位引流[72,89] | 通过体位变化在重力作用下将病变肺段的分泌物移动到大气道被清除(影像学指导) | - | 每天3次+按需;每个体位保持3~15 min | 绝对禁忌:不稳定的头颈部损伤;活动性出血伴血液动力学不稳定者 | 呼吸急促的患者可能无法耐受特殊体位(头低位);无法同时进行雾化治疗 |
| 活动/运动 | 早期被动活动/主动运动[72] | 体位改变改善通气血流比,减少长期卧床并发症发生,运动增强活动耐力,提高生活质量 | - | 每天2次+按需 | 不稳定的脊柱、长骨骨折;无法改变体位者 | 气道高反应性患者有诱发支气管痉挛风险,需严密监测 |
对近期胸部或上腹部手术患者进行呼吸指导有利于减少手术相关呼吸系统并发症,用力呼气技术对比咳嗽法能取得更好的排痰效果[80]。在非囊性纤维化支气管扩张和黏液高分泌的患者中,自体引流可改善通气的不均一性[81]。
胸部物理治疗(chest physical therapy,CPT)可能有助于降低呼吸机相关性肺炎与肺部感染发生率,但不能缩短机械通气时间与ICU住院时间[89,90]。机械振动排痰效果优于手动扣背,体位引流联合手动或机械振动排痰效果优于单一方案,高频胸壁振荡的排痰效果优于其他机械振动排痰。胸部物理治疗前给予雾化吸入可能增加痰液排出量。对于有人工气道的患者,气管镜联合振动排痰显著增加气道分泌物的清除量[87,88]。
呼气末正压(positive end pressure,PEP)/振动呼气末正压(oscillatory positive expiratory pressure,OPEP)可推荐用于慢性阻塞性肺疾病、支气管扩张、囊性纤维化患者的气道廓清,相对常规物理治疗疗效更明确,治疗效果取决于所选装置、设定阻力以及患者的依从性[82,83,84]。肺内叩击通气和高频胸壁振荡均能改善重度慢性阻塞性肺病患者的肺功能和生活质量[85,86]。与高频胸壁振荡相比,肺内叩击通气在改善小气道阻塞和呼吸肌力量相关的肺功能指标、健康状况评估量表评分以及减少痰中炎性细胞方面更有效;高频胸壁振荡的使用可能降低慢性阻塞性肺疾病患者住院率,增强排痰能力,是一种安全、高效且操作简便的辅助排痰方式。对于长期机械通气患者,高频胸壁振荡也可能是一种安全、舒适、有效的插管后气道廓清方式,但对脱机成功率无明显影响。
机械咳嗽辅助技术推荐用于呼气肌无力的患者[79],气道阻塞性疾病患者应谨慎使用[76]。罹患神经肌肉疾病或咳嗽峰流速小于160 L/min的患者若无明确禁忌,气道廓清首选机械咳嗽辅助设备(mechanical insufflator-exsufllator,MIE)[75];有人工气道的患者可直接连接MIE,无人工气道者人机界面首选面罩。
推荐意见4:对患者实施气道廓清治疗前均需进行呼吸功能和排痰障碍原因的评估,以制定个体化的气道廓清方案。
推荐意见5:PEP/OPEP可用于慢性阻塞性肺疾病、囊性纤维化、支气管扩张患者的气道廓清,相对常规物理治疗疗效更明确,治疗效果取决于所选装置、设定阻力以及患者的依从性。
推荐意见6:气道廓清联合治疗优于单一方案;对于有人工气道的患者,气管镜联合振动排痰显著增加气道分泌物的清除量。
推荐意见7:机械咳嗽辅助技术可用于呼气肌无力的患者,但对气道阻塞性疾病患者有加重阻塞的风险,应谨慎使用。
外伤、吸入损伤、感染、哮喘、支气管炎和慢性阻塞性肺疾病等都可因分泌物导致气流阻塞、空气滞留和通气/灌注不匹配,造成包括肺不张、肺炎、胸腔积液、急性呼吸窘迫综合征、现有肺部疾病恶化和呼吸衰竭等肺部并发症[89,90]。气道廓清技术可在一定程度上预防、改善或治疗这些并发症。评估气道廓清技术需求与疗效的方法很多,主要有以下3个方面:
不同疾病痰液量有很大差异,国内常用如下方法衡量:轻度为<10 ml/d,中度为10~150 ml/d,重度为>150 ml/d。痰液黏稠度分度常规分为3度:1度为痰液如米汤或泡沫样,吸痰管内壁上无痰液滞留;2度为痰的外观较黏稠,吸痰后有少量痰液在内壁滞留,但容易被水冲净;3度为痰的外观明显黏稠,吸痰管内壁上常滞留大量痰液且不易被水冲净。这种分度往往比较主观。有研究[90]通过收集呼吸道分泌物样本并计算其密度来评价其黏稠度,但临床价值尚待进一步研究。
对于重症患者,特别是神经系统疾病和机械通气患者,咳嗽强度的评估有重要意义。目前评估咳嗽强度的方法主要有以下几种:
可以使用便携式肺活量计、呼气峰值流量计、呼吸机来评估PCF或PEF,其已证实在健康志愿者、神经系统疾病和机械通气患者中具有很好的评价效果[91,92,93]。若普通机械通气患者PCF<60 L/min,神经肌肉疾病的机械通气患者PCF<160 L/min,提示可能撤机失败[94]。不同的设备测量结果存在差异,临床需要注意测量的一致性和标准化。
以用力肺活量(forced vital capacity,FVC)、肺活量(vital capacity,VC)、FEV1/FVC等肺功能指标的变化来评价治疗前后的变化,FVC小于1/3的预计肺活量预示着患者肺膨胀受限,可为预示患者气道阔清能力的下降提供参考[93,94]。
有研究发现最大吸气压(maximum inspiratory pressure,MIP)临界值为47 cmH2O,最大呼气压(maximum expiratory pressure,MEP)临界值为40 cmH2O可作为气道廓清障碍的指标[94],但具有相当大的个体差异。
插管患者利用咳嗽强度评分(0~5分)评估咳嗽能力和预测患者再插管风险[95]。0分为指令不咳嗽,1分为指令下听到气管插管内空气运动,但不可闻咳嗽,2分为弱(勉强)可闻咳嗽,3分为可闻咳嗽,4分为可闻强咳嗽,5分为多次连续强咳嗽。
利用肌电图(electromyograph,EMG),尤其腹壁肌电图,肌电的峰值和斜率、咳嗽强度评价气道廓清能力。或者通过测量食道压力、胃内压、中心静脉压、膀胱压和直肠压动态评估咳嗽强度。还可用光电体描记法测量胸壁和上腹壁运动、超声评估横膈肌运动。另外还有通过咳嗽声功率和能量的评价方法,这可能是一个有用的、替代PCF的方法,适用于日常临床使用和长期监测。遗憾的是对于不同患者,所有这些指标都缺乏特定的阳性数值,需要进一步探索。
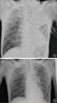
有研究试图确定使用这些气道廓清技术是否可以改善患者氧合、呼吸力学、肺功能,并减少机械通气时间、ICU住院时间、再入院或急诊次数、感染频率,提高生活质量等。一项儿科受试者的回顾性队列研究[96]评估了烧伤患者采用机械通气治疗时肝素和NAC的使用效果,结果表明,5000 U雾化肝素与3 ml 20% NAC交替使用,在最初的7 d内可减少小儿烧伤患者再次插管、呼吸机使用时间和死亡率。通过影像学变化也可判断治疗的效果,如气管镜吸痰治疗前后肺不张的改善情况(图1)。电阻抗断层成像(electrical impedance tomography,EIT)是以生物电阻为基础的功能成像技术,胸EIT借助微电压在胸内气体产生微电流,积分测算肺内气体随呼吸电阻值变化动态、立体成像,可以在气道廓清治疗过程中及前后比较治疗效果(图2)。




许多关于气道廓清技术的研究质量较差,需要关注并解决常见的不良反应。如研究发现[97]单次使用高渗盐水治疗肺囊性纤维化(多数研究使用3%)可诱发支气管痉挛,显著减少FEV1(>20%)和脉搏血氧饱和度,增加正常肺组织和肺部疾病患者的血管通透性、中性粒细胞黏附和腺体分泌(神经性炎症)。需要严密评估患者在治疗过程中是否出现恶心、呕吐、发烧、嗜睡、胸闷以及支气管痉挛等不良反应,并及时终止治疗。
推荐意见8:机械通气患者PCF<60 L/min,神经肌肉疾病的机械通气患者PCF<160 L/min,提示患者咳嗽能力下降,预示可能撤机失败;FVC下降至1/3预计肺活量以下能敏感地提示咳嗽流速的下降;最大吸气压临界值为47 cmH2O,最大呼气压临界值为40 cmH2O可作为气道廓清障碍的指标,但需注意其个体差异很大。
气道廓清主要包括患者评估、方案制定、方案执行和监测、回顾、记录4个步骤,每日应当对患者重新评估,以不断优化气道廓清方案(图3、图4)。患者评估需要包括患者基本病史、一般情况、功能评定(肺通气功能、咳嗽相关肌肉功能等)、需求评估(痰液黏度和量)和禁忌证评估等,机械通气患者还应当考虑患者呼吸支持水平、氧合情况、氧储备功能等。方案制定必须基于患者评估,同时建议包含痰液松动技术和咳嗽及相关技术以达到更好的痰液廓清效果,若痰液黏度较高,建议加强痰液水合或使用祛痰药物以促进痰液清除。


注:FEV1为第1秒用力呼气容积;FVC为用力肺活量;MEP为最大呼气压;PEF为呼气峰流速;IPV为肺内叩击通气;PDPV为体位引流、叩击、振动技术的总称;PAP为气道正压附属物,包括呼气正压、持续气道正压和flutter三种;HFCW为高频胸壁震荡;AD为自体引流;ACBT为主动循环呼吸技术;FET为用力呼气技术;ICP为颅内压;FEF为用力呼气流量;DC为指导咳嗽


注:MV为机械通气
若患者气道廓清障碍合并肺不张,推荐有效气道廓清后给予肺扩张治疗(如激励性肺量计治疗法、间歇气道正压等)。重症患者若可以进行早期活动,推荐将气道廓清方案和早期活动结合以促进患者肺功能和呼吸肌肉功能恢复。
个别患者既往可能接受过有效的气道廓清治疗,推荐操作者在制定方案时优先考虑。
总之,气道廓清技术包含种类繁多的评估和操作技术,临床上宜根据对患者的精准评估和判断,结合对具体技术的掌握情况,合适选择、规范应用。目前我国临床上,对危重症患者气道廓清能力评估、适宜技术选择和规范应用方面仍有欠缺,高质量的临床研究少,异质性大,使得在这一领域难以形成比较统一的共识或临床应用指南,也给其推广增加了难度。国内同行也应加强协作,开展更多的假设科学、设计合理、实施规范、结论可靠的高质量临床研究,增加技术认识、推广技术应用,最终使患者受益。
执笔者为中国病理生理危重症学会呼吸治疗学组:葛慧青(浙江大学医学院附属邵逸夫医院),孙兵(北京朝阳医院),王波(四川大学华西医院),徐培峰(浙江大学医学院附属邵逸夫医院),何国军(浙江大学医学院附属第一医院),梁国鹏(四川大学华西医院),段开亮(浙江大学医学院附属邵逸夫医院),王吉梅(浙江大学医学院附属邵逸夫医院),丁洁(浙江大学医学院附属邵逸夫医院),储慧文、李海超、赵宇、袁雪(北京朝阳医院),周永方(四川大学华西医院),倪忠(四川大学华西医院),刘婷婷(四川大学华西医院),王振(四川大学华西医院),韩一骄(浙江大学医学院附属第一医院),韦碧琳(中山大学附属第一医院),刘凯(复旦大学附属中山医院)。
























