
新型冠状病毒(COVID-19)肺炎疫情暴发以来,全国各地医务人员众志成城,打响了一场轰轰烈烈的疫情阻击战。作为非定点医院、非隔离病区的普通外科,如何在疫情期间既要做好防护工作、又要及时救治急危重患者的生命,是我们当前面临的一项艰巨任务。本文通过介绍一例72岁老人的急性梗阻性化脓性胆管炎的诊治过程,强化术前检查的针对性和特殊性,分析急诊手术的必要性和紧迫性,总结腹腔镜经胆囊管胆总管探查取石术(LTCBDE)的适应证和技术改进,同时探讨COVID-19疫情期间急诊手术的防护要点和注意事项,以期为疫情期间的普通外科手术决策提供借鉴。
版权所有,未经授权,不得转载、摘编本刊文章,不得使用本刊的版式设计。
除非特别申明,本刊刊出的所有文章不代表中华医学会和本刊编辑委员会的观点。
本刊为电子杂志,以网刊形式出版。本册应读者需求按需印刷。
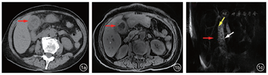
患者女性,72岁,因“突发右上腹疼痛7 d”于2020年1月28日急诊入院。入院前7 d突发右上腹疼痛,渐出现皮肤巩膜黄染、小便浓茶色,后出现寒战、发热,体温最高达39 ℃,无咳嗽、咳痰,就诊于我院发热门诊,胸部CT报告双肺支气管炎、下叶肺炎、双侧胸腔积液,结合无疫区、疫情接触史,初步排除新型冠状病毒肺炎(coronavirus disease 2019,COVID-19)后,转急诊外科,腹部CT显示胆囊结石、胆囊炎,经医院COVID-19疫情专家组批准,以“急性结石性胆囊炎”收住院,安排普外科单间隔离病房。入院查体:全身皮肤巩膜重度黄染,右上腹压痛,Murphy氏征阳性,肝区叩痛。入院后辅助检查:血常规白细胞10.6×109/L,中性粒细胞比例88.7%,血红蛋白70 g/L,血高敏C反应蛋白111.12 mg/L,肝功能总胆红素565.57 μmol/L,直接胆红素289.90 μmol/L,丙氨酸氨基转移酶79 U/L,血清糖类抗原19-9(CA19-9)8454 U/ml,腹部CT报告胆囊结石、胆囊炎、肝内胆管和胆总管扩张,磁共振胰胆管成像报告胆囊结石、胆囊炎、胆总管下段结石(图1)。初步诊断:急性梗阻性化脓性胆管炎、急性结石性胆囊炎,胆道恶性肿瘤待排。


经过积极术前准备,在患者签署“医院应对COVID-19疫情手术筛查表”、承诺非疫区接触,做好手术房间、用品、人员二级防护措施(防护服、外科口罩、护目镜、工作帽、鞋套),并保守治疗3 d不见好转的情况下,于2020年1月31日按指定防护路线转运至手术室,在特定的独立负压手术间行急诊腹腔镜探查,术中见胆囊积脓、胆总管内脓性胆汁,予以行腹腔镜胆囊切除、经胆囊管胆总管探查(laparoscopic transcystic common bile duct exploration,LTCBDE)、腹腔引流术[2],术中经胆道镜取出胆总管结石3枚(直径6~8 mm),取石后见胆囊管扩张(直径8 mm),予以置入一根12号硅胶引流管后间断缝合关闭胆囊管残端(图2a~e),术毕将病理标本、医疗废物按二级防护处置。术后带气管插管沿指定防护路线送回普外科原单间隔离病房,呼吸机辅助治疗16 h后顺利脱机[3],继续给予加强抗感染、保肝、抑酸、抑制消化液分泌、营养支持治疗。术后第1天肝功能总胆红素306.61 μmol/L,直接胆红素172.97 μmol/L,丙氨酸氨基转移酶67 U/L。术后第3天血常规白细胞9.4×109/L,中性粒细胞比例89.3%,血高敏C反应蛋白53.92 mg/L,肝功能总胆红素269.81 μmol/L,直接胆红素140.80 μmol/L,丙氨酸氨基转移酶48 U/L,血CA19-9 94.1 U/ml,开始流质饮食。术后7 d复查胸部CT显示:双肺支气管炎伴散在肺炎、双下肺局部肺组织膨胀不全,双侧胸腔积液,继续抗感染治疗。术后病理报告:胆囊壁慢性炎症急性发作(图2f)。术后14 d胸部CT、各项检验指标基本恢复正常,经胆囊管引流管造影显示胆总管下端通畅,肝内外胆管未见残余结石和扩张,解除隔离病房观察,带胆囊管引流管出院,备术后6周拔除引流管。


2019年12月下旬以来,湖北省武汉市陆续发现新型冠状病毒(2019-nCoV)肺炎病例,且逐渐增多。2020年1月20日,国家卫生健康委员会发布公告,将2019-nCoV 肺炎纳入国家乙类传染病,按照甲类传染病防控。2020年2月11日,世界卫生组织将新型冠状病毒肺炎命名为“COVID-19”。COVID-19具有传染性强、人群易感性高、潜伏期长、临床表现多样化等特点[1],不仅对人民群众的身体健康和生命安全造成了重大伤害,而且对人民群众的日常生活和工作产生了严重影响。全国各地医务人员迅速响应国家号召,众志成城,打响了一场轰轰烈烈的COVID-19疫情阻击战。然而,在严格防控COVID-19疫情的同时,如何开展威胁患者生命安全的急性非传染性疾病救治,尤其是需要急症手术救治的危急重症,是摆在我们面前的一大难题。中国医师协会常务副会长董家鸿院士呼吁,COVID-19疫情期间,非传染性疾病对民众健康的威胁不容忽视,特别是一些急性疾病,如果延误诊治,同样会对患者生命安全造成威胁,甚至会增加疫情流行期非传染病患者的病死率[3]。
1. 术前严格筛查:在当前疫情防控形势下,所有门诊就诊患者及家属进入医院院区时,首先进行第一次体温检查,发热患者直接到发热门诊初筛,无发热患者进入医疗诊区时,在分诊台进行第二次体温检查,并填写“门急诊COVID-19患者初筛表”,初步排除高风险人群后,再到相应科室就诊。医生接诊后,在正常医疗行为基础上,还应详细询问患者居住地、疫区疫情接触史、个人防护措施等,并常规行血常规、血高敏C反应蛋白、胸部CT检查。只有排除COVID-19肺炎确诊、疑似病例后,方可收住需要住院的患者。
2. 术中严格防护:在患者签署“医院应对COVID-19疫情手术筛查表”、承诺非疫区接触后,经医院COVID-19疫情专家组再次认真审核、批准后方可手术。手术应在指定专用手术室进行,有条件医院可在负压手术室进行。术前严格做好个人防护隔离措施,术中严格避免锐器伤及患者血液、体液污染。根据北京市卫生健康委员会发布的COVID-19肺炎医务人员防护指南建议,手术人员应穿防液体渗漏的手术衣,急诊手术可根据手术风险加戴医用防护口罩(N95及以上)、防护面屏、护目镜等。术毕将所有医疗用品放入双层医疗废物袋密闭封装,按感染性医疗废物处置。
3. 术后严格隔离:术后患者回过渡隔离病房,医护人员做好二级防护,在接触患者体液时必须佩戴护目镜,同时做好患者家属及陪护人员宣教,固定陪护人员,减少探视。
急性梗阻化脓性胆管炎(acute obstructive suppurative cholangitis,AOSC)具有起病急、病情变化快、休克发生早、病死率高等特点,尤其是老年患者病情加剧更快[4]。因此,一旦诊断明确,尽早手术或经内镜解除胆道梗阻、通畅胆道引流是抢救患者生命的关键。但在当前COVID-19疫情形势下,应在充分进行疫情排查基础上,严格做好手术过程的标准预防,既要避免疫情传播和扩散,又要及时实施抢救患者生命的急症手术,同时做好围术期的隔离防护措施。
该患者术前高热(体温最高达39 ℃)、严重黄疸(总胆红素高达565.57 μmol/L)、CA19-9很高(8454 U/mL)、胸部CT(双肺支气管炎、下叶肺炎、双侧胸腔积液),既要与COVID-19严格鉴别,又要明确胆总管梗阻原因。患者入院后的MRCP检查,在胆道良恶性梗阻鉴别上起到了关键作用。
该患者采用LTCBDE,不仅拓展了其在AOSC危急重症患者的手术适应证[5],而且对胆囊管引流方式进行了改进:为了避免AOSC患者术后因Oddi括约肌炎性痉挛,引起胆总管下端短时间排泄障碍,导致术后胆漏概率增加,我们采取术中经胆囊管置入胆总管引流管,间断缝合关闭胆囊管残端,这一方面可以避免常规T管的置放困难,另一方面可以通畅术后胆总管引流、有效避免胆漏。
总之,该患者术前排除COVID-19疫区、疫情接触史,入院后给予单间隔离病房治疗,手术房间、用品、人员、操作防护措施到位,转运过程按指定防护路线接送,术后继续隔离观察治疗,有效避免了患者潜在的COVID-19疫情传播和扩散,为疫情期间的普通外科手术决策提供了良好借鉴。
























