
肿瘤样钙盐沉着症是一种罕见的临床病理状况,其特征是在关节内或关节周围软组织中形成钙盐沉积,鲜见颞下颌关节区受累。本文报告2例颞下颌关节区肿瘤样钙盐沉着症患者的诊疗过程及随访结果,并结合文献对本病的诊断、治疗、发病机制进行综合分析。
版权归中华医学会所有。
未经授权,不得转载、摘编本刊文章,不得使用本刊的版式设计。
除非特别声明,本刊刊出的所有文章不代表中华医学会和本刊编委会的观点。
肿瘤样钙盐沉着症(tumoral calcinosis,TC)是一种罕见的病因尚未明确的非肿瘤性病变,其特征是在关节周围结缔组织中有多个界限清晰的肿瘤样钙化肿块,这些肿块主要由羟基磷灰石晶体和无定形磷酸钙组成[1]。TC最初由Duret[2]在1899年描述,1943年Inclan等[3]将其命名为TC。该疾病的病因与发病机制尚无定论,部分患者有家族史,部分患者血清钙和磷酸盐水平升高。临床上,TC表现为质地坚硬的皮下或结缔组织下方的钙化肿块,常与其下的筋膜、肌肉或肌腱紧密相连。病史一般长达数年,生长缓慢,少数病变在几个月内迅速扩大[4]。TC在初始阶段通常无症状,随着病变增大,可能导致局部疼痛、炎症和功能受限,甚至伴有皮瘘[5]。
TC好发于大关节附近,包括股骨、肘、肩和膝盖等,较少发生于颅骨和头颈部。迄今仅见6例发生于颞下颌关节区[5, 6, 7, 8, 9, 10],所有患者均表现为颞下颌关节区疼痛或不适伴有不同程度的张口受限。南京大学医学院附属口腔医院·南京市口腔医院近10年共收治颞下颌关节区TC病例2例,现对患者的临床表现、影像学特点及手术治疗方法进行分析,并对有关颞下颌关节区TC的文献报道进行回顾,以期对这一疾病的临床诊断和治疗提供帮助。
1.病例1:患者女性,72岁,2020年8月因“左耳前肿痛10天余”入院。10余天前患者出现左耳前肿胀并伴有剧烈疼痛,于外院抗炎治疗后自觉肿胀和疼痛稍缓解。既往有糖尿病、高血压病史20年,脑梗死病史8年。无颌面部创伤史。
(1)临床检查:患者颌面部不对称,左侧耳前区隆起,左侧耳屏前颞下颌关节区可扪及一大小2.5 cm×2.5 cm的肿物,质地偏硬,界限不清,无明显触压痛。左侧髁突动度较右侧弱,下颌稍右偏,轻度张口受限,开口度约3 cm。无面神经受损症状。
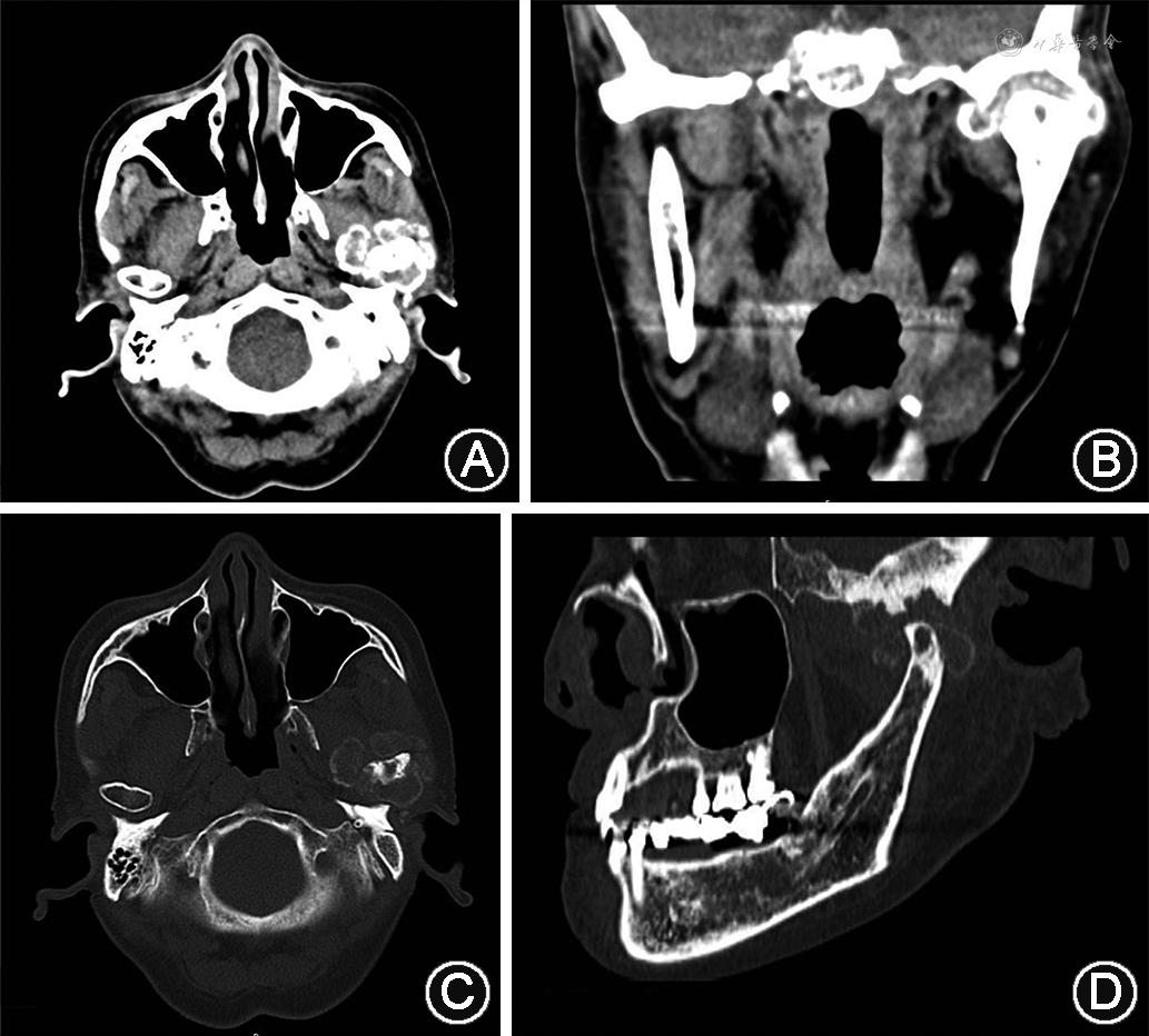
(2)影像学检查:见图1。螺旋CT提示左侧髁突膨大,骨质致密硬化,其内见不规则腔状吸收破坏,边缘不整。髁突周围团块状混杂密度影,周缘呈不规则环状、花边状高密度影。


(3)实验室检测:术前常规进行血常规、电解质、肝肾功能等检查,同时获知钙磷代谢情况。患者的钙磷水平、碱性磷酸酶、谷丙转氨酶、谷草转氨酶均处于正常范围。
(4)诊断及治疗计划:左侧颞下颌关节区病变待查,考虑TC或滑膜软骨瘤病。因病变累及左侧下颌骨髁突,拟行左侧颞下颌关节区病变切除术+左侧髁突切除术。
(5)治疗过程:见图2。术中做耳屏前及颞部切口,切开皮肤、皮下组织,依次分离帽状腱膜、颞浅筋膜、腮腺咬肌筋膜、颞深筋膜浅层,沿颧弓表面向下分离暴露肿物,见肿物包膜完整,因病灶累及髁突骨质,在计算机导航辅助下,于髁突颈部截断髁突,沿包膜外完整切除肿物及髁突。无菌生理盐水充分冲洗,以清除关节和周围组织的钙化碎片。充分止血冲洗后关闭术创。病理诊断为:左颞下颌关节区TC(图3A)。制动10 d后嘱患者进行张口练习。




(6)术后随访:术后随访7个月,患者恢复良好,左侧耳前区无疼痛、肿胀等不适症状,张口度恢复正常,开口偏左,咬合正常。无面神经损伤症状,无复发。CT检查示:左侧髁突呈术后缺损,截骨缘光整,周围软组织界面尚清晰(图3B)。
2.病例2:患者女性,59岁,2017年12月因“右耳前逐渐增大无痛性肿块近2年”入院。患者近2年前无意中发现右耳前无痛性肿物,近2年来肿物逐渐增大。既往有心悸胸闷史30余年,偏头痛病史40余年,高血脂病史10余年。无颌面部创伤史。
(1)临床检查:右侧耳屏前髁突外侧相当于耳垂处有一大小2.0 cm×3.0 cm的肿块(图4A),扪诊质地中等偏硬,活动度差。双侧颞下颌关节区有张口弹响,开口度、开口型正常。无面神经受损症状。


(2)影像学检查:螺旋CT示右颞下颌关节外侧,右侧咬肌中后部至腮腺见不规则团状软组织块影,界限不清,边缘不规整,其内见大小不等斑片状絮状高密度影及钙化影,边缘毛躁。右下颌支和右颞下颌关节髁突未见明显异常骨质吸收或增生现象,骨皮质边缘光滑连续(图4B~D)。
(3)实验室检测:钙磷水平、碱性磷酸酶、谷丙转氨酶、谷草转氨酶水平均处于正常范围。
(4)诊断及治疗计划:右颞下颌关节区病变待查,考虑TC或滑膜软骨瘤病。拟行右侧颞下颌关节区病变切除术。
(5)治疗过程:术中做耳前S形切口,将咬肌和腮腺一并向上翻起,在其深面暴露出肿物,包膜完整,质地中等偏硬,有一蒂与髁突关节囊相连。将肿物、蒂部和部分关节囊一并切除(图4E)。充分止血冲洗后关闭术创(图4F)。病理诊断为:右颞下颌关节区TC(图4G)。患者术后1周出院时术创皮肤对位良好,无明显红肿及渗出,咬合关系正常,轻度张口受限,右眼轻度闭合不全,右额纹变浅,右侧嘴角稍向左偏斜。
(6)术后随访:术后随访3个月,患者恢复良好,开口度和开口型正常,咬合关系良好。右眼轻度闭眼不全,其余面神经损伤症状已消失。术后6个月闭眼功能恢复。术后CT检查示:右侧颞下颌关节区不规则团块状软组织肿块已去除,术区呈腔状低密度改变,边界稍显模糊。
3.讨论:TC是一种比较少见的疾病,发生在颞下颌关节区的则更为罕见。该病表现为关节内或关节旁的钙化结节,关节内TC通常导致张口受限,如病例1病变累及左下颌骨髁突,患者开口度为3 cm,轻度受限。关节旁TC不影响关节运动,所以一般不导致张口受限,如病例2。多数TC病例表现为钙化病变无症状的渐进性增大,开始仅为皮下的结节,大小不一,随后与皮肤粘连,可有触痛,部分病例还可能导致局部疼痛或神经压迫,长期病变可引起皮肤破溃、窦道、继发性淀粉样变等慢性感染[5,11]。
TC的临床诊断主要依靠影像学,尤其是CT检查。CT可提供精确的位置、大小、与周围组织关系的信息,普通X线片通常只显示出与髁突相邻的大小不一的结节集聚而成的团块状钙化。在CT上,TC表现为关节旁或骨质邻近的软组织内菜花状、斑片状或结节状大小不等的圆形、长圆形或不规则的致密影,病灶内部及与周围组织间可有透明带分隔,可与骨组织相连,也可有邻近骨质受压吸收,病灶周围软组织受压改变[12]。与CT相比,MRI不常用,MRI通常在T2加权序列上显示非均匀的高信号强度,在T1加权序列上显示非均匀的低信号强度。另外,有研究报道,使用放射性标记的膦酸盐化合物锝[99TC]亚甲基二膦酸盐进行放射性核素扫描可用于诊断多发性病变、新形成的病变和监测病变活动[13]。
组织学检查是诊断TC的金标准。大体标本通常为致密或不规则破碎的纤维囊壁包裹的肿物,质地橡皮样,切面见致密的纤维组织网,内含灰黄色钙质和白色糊状、石灰状液体,触之有沙粒感。镜下TC的组织学表现分为活动期和非活动期,两者也可同时存在,其中活动期更常见,也更易识别。它的特点是中央有一个大的钙化颗粒状区域,周围是炎症浸润,主要是上皮样组织细胞,混合有淋巴细胞、分散的单核或多核巨噬细胞。非活动期只观察到钙化沉积物和致密的胶原组织,无炎症细胞浸润[14, 15]。
颞下颌关节区TC的常见鉴别诊断包括滑膜软骨瘤、骨软骨瘤、滑膜软骨肉瘤和焦磷酸钙结晶沉积症。滑膜软骨瘤是一种以滑膜增生和化生为特征的良性疾病,通常与创伤有关。临床症状与TC相似,但是它绝大多数局限于关节间隙内,当发生在关节周围时可通过影像学检查与TC鉴别。在CT上,滑膜软骨瘤单个病变表现为多发性钙化,呈环状和弧形形态,晚期病变中可见大量颗粒状钙化影即游离体。当游离体钙化不明显时,通过关节造影协助诊断可发现关节内的充盈缺损表现,这是游离体存在的典型特征。骨软骨瘤是一种生长缓慢的良性肿瘤,随着时间的推移可导致下颌骨髁突增大。在平片上骨软骨瘤与TC有类似的表现,但骨软骨瘤表现出特征性的软骨覆盖,瘤体包含髓腔并于基底骨的髓腔相延续。滑膜软骨肉瘤是一种伴有软骨分化的恶性肿瘤,其重要特征是软骨形成。病变以滑膜受累为主,可累及关节组成骨,形成溶骨性破坏。滑膜软骨肉瘤累及颞下颌关节较罕见[16]。焦磷酸钙结晶沉积症是焦磷酸钙盐晶体沉积在关节软骨、滑膜、韧带及其周围组织的代谢性关节病。好发于中老年人群,罕见于55岁以下人群,且发病率随年龄增大而逐渐升高,而TC多发于儿童和青少年[17]。焦磷酸钙结晶沉积症影像学表现为关节内纤维软骨和透明软骨的点状钙化影或平行于骨性关节面的弧形细线状钙化影。利用X线衍射法在受累关节中观察到呈菱形、杆状或平行六边形的晶体,即焦磷酸钙盐晶体是诊断焦磷酸钙结晶沉积症的金标准[18]。
TC的确切发病机制尚未证实,Smack等[19]根据可能的发病机制提出了一种目前公认的分类:①原发性正常磷血症型TC,此类患者血钙血磷均正常,病灶以孤立的钙化灶为特征。最近研究表明此类TC是由涉及编码SAMD9蛋白的基因突变引起的[13]。SAMD9是一种干扰素-γ反应蛋白,后者与RGL2基因相互作用减少早期生长反应因子1的表达,从而导致异位钙化。因此具有一定的家族遗传性。②原发性高磷血症型TC,高磷血症和正常血钙是此类TC的标志,Gal NAc转移酶3(编码一种称为ppGALNacT3的糖基转移酶)、成纤维细胞生长因子23(fibroblast growth factor 23,FGF23)(编码一种有效的磷脂蛋白)、克洛索蛋白KLOTHO(FGF23的辅助受体)的隐性突变导致了肾小管对磷酸盐的再吸收增加,从而使血清磷酸盐浓度升高,皮肤、皮下组织甚至内脏中出现钙化物的异位沉积。此类TC具有高度的遗传易感性。③继发性TC,继发于甲状旁腺功能亢进、多发性骨髓瘤、肾功能衰竭和透析治疗后的钙、磷代谢障碍等,持续性的血清磷酸钙产物升高是导致TC发生的主要因素。另外,在先天性钙代谢障碍的患者中,反复轻微创伤可能成为触发机制。随后发生一系列的事件,从水肿和胶原形成到胶原溶解和大量钙化[14,20]。本文报告的2例颞下颌关节受累的病例中,患者的血清钙和磷酸盐水平均正常。根据病史、临床表现和血清电解质检查,得出这2例患者属于原发性正常磷血症型TC亚型的结论。患者均表现为孤立性TC,这也与在原发性正常磷血症型TC亚型中孤立性钙化占主导地位的表现一致。
TC的治疗很大程度上取决于其分类,同时需要根据病变的部位、大小和患者的全身状态进行调整。当原发性TC出现疼痛、感染和颞下颌关节功能障碍时,一般考虑行手术治疗[21]。考虑到该病具有复发性,可能需要进行多次手术。其中正常磷血症型TC比高磷血症型TC的术后复发率低,这与两者全身的血清磷水平不同有关。因此高磷血症型TC还可以考虑限制钙磷饮食,口服氢氧化铝以减少机体磷酸盐的产生,在用餐时同时服用磷酸盐结合剂等治疗方法[22]。病例1因为病变位置累及髁突,因此采用了将病变组织和髁突同时切除的较为彻底的手术方法,但该部位紧邻颅底等重要解剖结构,且周围血管、神经丰富,采用计算机导航技术可为术者的手术操作提供更好的视野和更精确的定位,降低了损伤髁突周围和颅底重要结构的风险。
继发性TC患者不建议首选手术治疗,因为存在多种合并症且有感染的风险。适当调节饮食和药物治疗,如磷酸盐结合剂、硫代硫酸钠、双膦酸盐、长春西汀等已被证明可以不同程度地减小TC病变的大小[23, 24]。此类患者大多存在潜在的二级或三级甲状旁腺功能亢进,因此若治疗效果不理想,应行甲状旁腺次全或全切除术[25]。
综上所述,颞下颌关节区TC是一种罕见疾病。正确的临床诊断需要详细的病史采集、临床检查、放射学检查和实验室检查。手术切除通常是原发性正常磷血症型TC和原发性高磷血症型TC的首选治疗方法。磷酸盐结合剂、降钙素等药物治疗可在继发性TC的管理中发挥作用。由于血清电解质钙磷含量的升高在此类疾病的复发中起着非常重要的作用,因此建议将原发性高磷酸盐血症型TC或继发性TC患者转诊至相关科室,以评估血清钙磷升高的根本原因并进行治疗。
田美, 张双双, 孙国文. 颞下颌关节区肿瘤样钙盐沉着症2例[J]. 中华口腔医学杂志, 2023, 58(2): 180-184. DOI: 10.3760/cma.j.cn112144-20220523-00272.
所有作者声明不存在利益冲突





















